购物车
  • 全部删除
  • TargetMol
    您的购物车当前为空

Anti-AKT1 Antibody (9U632)

一键复制产品信息
Rating icon 还可以
产品编号 TMAC-00112
别名 v-akt murine thymoma viral oncogene homolog 1, RAC-α, RAC-ALPHA, RAC, PRKBA, PKB-α, PKB-ALPHA, PKB, CWS6, AKT

Anti-AKT1 Antibody (9U632) 是一种 Mouse 抗体,靶向 AKT1。Anti-AKT1 Antibody (9U632) 可用于 IHC,WB。

Anti-AKT1 Antibody (9U632)

Anti-AKT1 Antibody (9U632)

一键复制产品信息
Rating icon 还可以
产品编号 TMAC-00112 别名 v-akt murine thymoma viral oncogene homolog 1, RAC-α, RAC-ALPHA, RAC, PRKBA, PKB-α, PKB-ALPHA, PKB, CWS6, AKT

Anti-AKT1 Antibody (9U632) 是一种 Mouse 抗体,靶向 AKT1。Anti-AKT1 Antibody (9U632) 可用于 IHC,WB。

规格价格库存数量
50 μL
¥ 1,340
5日内发货
100 μL
¥ 2,180
5日内发货
大包装 & 定制
加入购物车
TargetMol 的所有产品仅用作科学研究或药证申报,不能被用于人体,我们不向个人提供产品和服务。请您遵守承诺用途,不得违反法律法规规定用于任何其他用途。
实验操作小课堂
常见问题解答
查看更多
联系我们获取更多批次信息
资源下载

产品介绍

生物活性
产品描述
Anti-AKT1 Antibody (9U632) is a Mouse antibody targeting AKT1. Anti-AKT1 Antibody (9U632) can be used in IHC,WB.
别名v-akt murine thymoma viral oncogene homolog 1, RAC-α, RAC-ALPHA, RAC, PRKBA, PKB-α, PKB-ALPHA, PKB, CWS6, AKT
Ig Type
IgG1
克隆号
9U632
交叉反应
Human
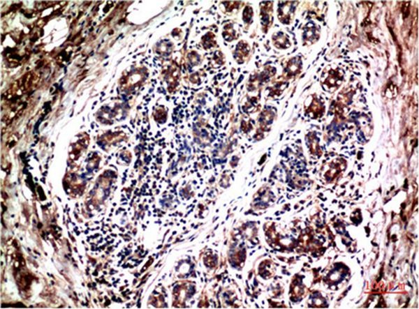
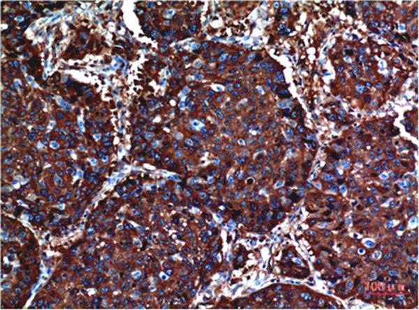
验证活性
1. Western blot analysis of PC3 Cell Lysate using Akt Mouse mAb diluted at 1:2000.
2. Immunohistochemical analysis of paraffin-embedded Human Lung Carcinoma Tissue using Akt Mouse mAb diluted at 1:200.
3. Immunohistochemical analysis of paraffin-embedded Human Breast Carcinoma Tissue using Akt Mouse mAb diluted at 1:200.
verifiedActivityverifiedActivityverifiedActivity
应用IHCWB
推荐剂量
WB: 1:1000-2000; IHC: 1:100-200;
抗体种类
Monoclonal
宿主来源Mouse
构建方式Hybridoma Monoclonal Antibody
性状Liquid
缓冲液Liquid in PBS containing 50% glycerol, 0.5% BSA and 0.02% sodium azide.
偶联与修饰
偶联
Unconjugated
抗原信息
免疫原
A synthesized peptide
Uniprot ID
化学信息
分子量Theoretical: 60 kDa.
存储&运输
储存方式Store at -20°C or -80°C for 12 months. Avoid repeated freeze-thaw cycles.
运输方式Shipping with blue ice.

计算器

  • 稀释 计算器

关键词

评论列表

4个月前
5.0
Rating icon 很棒

评论内容

Related Tags: buy Anti-AKT1 Antibody (9U632) | purchase Anti-AKT1 Antibody (9U632) | Anti-AKT1 Antibody (9U632) cost | order Anti-AKT1 Antibody (9U632) | Anti-AKT1 Antibody (9U632) molecular weight