购物车
  • TargetMol
    您的购物车当前为空

Anti-AGTR1 Polyclonal Antibody

Synonyms: Type-1 angiotensin II receptor, AT2R1B, AT2R1, AT1BR, AT1AR, Angiotensin II type-1 receptor (AT1 receptor), AGTR1B, AGTR1A, AGTR1
货号 TMAB-00078 一键复制产品信息
Rating icon 还可以

Anti-AGTR1 Polyclonal Antibody 是一种 Rabbit 抗体,靶向 AGTR1。Anti-AGTR1 Polyclonal Antibody 可用于 IF,IHC-Fr,IHC-P,WB。

Anti-AGTR1 Polyclonal Antibody

一键复制产品信息
Rating icon 还可以
货号 TMAB-00078

别名 Type-1 angiotensin II receptor, AT2R1B, AT2R1, AT1BR, AT1AR, Angiotensin II type-1 receptor (AT1 receptor), AGTR1B, AGTR1A, AGTR1

Anti-AGTR1 Polyclonal Antibody 是一种 Rabbit 抗体,靶向 AGTR1。Anti-AGTR1 Polyclonal Antibody 可用于 IF,IHC-Fr,IHC-P,WB。

Anti-AGTR1 Polyclonal Antibody
规格价格库存数量
50 μL
¥ 1,165
5日内发货
100 μL
¥ 1,975
5日内发货
200 μL
¥ 2,785
5日内发货
库存状态实时更新,以官网显示为准,现货产品可直接加购物车下单
大包装 & 定制
加入购物车

TargetMol的所有产品仅用作科学研究或药证申报,不能被用于人体,我们不向个人提供产品和服务。请您遵守承诺用途,不得违反法律法规规定用于任何其他用途。

实验操作小课堂
常见问题解答
查看更多

资源下载:产品操作手册

产品介绍


生物活性
产品描述
Anti-AGTR1 Polyclonal Antibody is a Rabbit antibody targeting AGTR1. Anti-AGTR1 Polyclonal Antibody can be used in IF,IHC-Fr,IHC-P,WB.
别名
Type-1 angiotensin II receptor, AT2R1B, AT2R1, AT1BR, AT1AR, Angiotensin II type-1 receptor (AT1 receptor), AGTR1B, AGTR1A, AGTR1
Ig Type
IgG
反应种属
Human,Mouse,Rat
验证活性
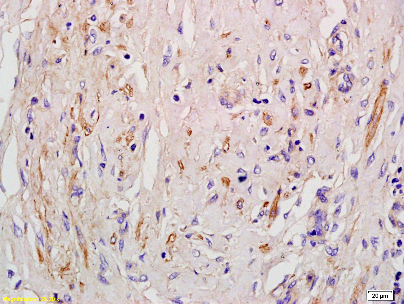
1. Tissue/cell: human pneumonia tissue; 4% Paraformaldehyde-fixed and paraffin-embedded;
Antigen retrieval: citrate buffer (0.01M, pH6.0), Boiling bathing for 15 min; Block endogenous peroxidase by 3% Hydrogen peroxide for 30 min; Blocking buffer (normal goat serum) at 37°C for 20 min;
Incubation: Anti-AT1R/AGTR1 Polyclonal Antibody, Unconjugated (TMAB-00078) 1:200, overnight at 4°C, followed by conjugation to the secondary antibody and DAb staining.
2. Sample: Liver (mouse) Lysate at 40 μg
Primary: Anti-Angiotensin II Type 1 Receptor (TMAB-00078) at 1/300 dilution
Secondary: IRDye800CW Goat Anti-Rabbit IgG at 1/20000 dilution
Predicted band size: 39 kDa
Observed band size: 36 kDa
3. Sample: HepG2 (human) cell Lysate at 40 μg
Primary: Anti-Angiotensin II Type 1 Receptor (TMAB-00078) at 1/300 dilution
Secondary: IRDye800CW Goat Anti-Rabbit IgG at 1/20000 dilution
Predicted band size: 39 kDa
Observed band size: 49 kDa
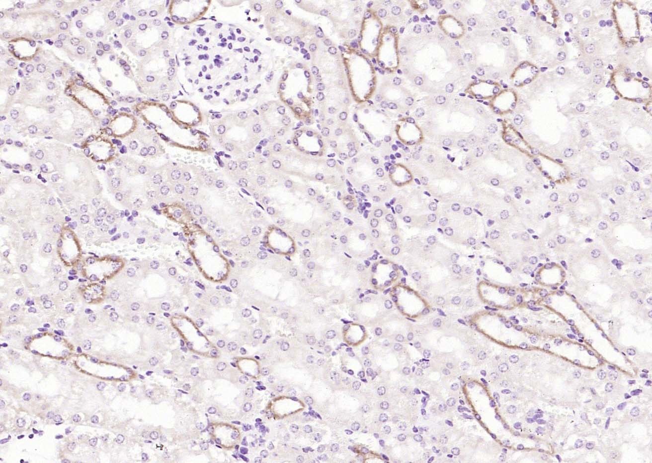
4. Paraformaldehyde-fixed, paraffin embedded (rat kidney); Antigen retrieval by boiling in sodium citrate buffer (pH6.0) for 15 min; Block endogenous peroxidase by 3% hydrogen peroxide for 20 min; Blocking buffer (normal goat serum) at 37°C for 30 min; Antibody incubation with (Angiotensin II Type 1 Receptor) Polyclonal Antibody, Unconjugated (TMAB-00078) at 1:200 overnight at 4°C, followed by operating according to SP Kit (Rabbit) instructionsand DAB staining.
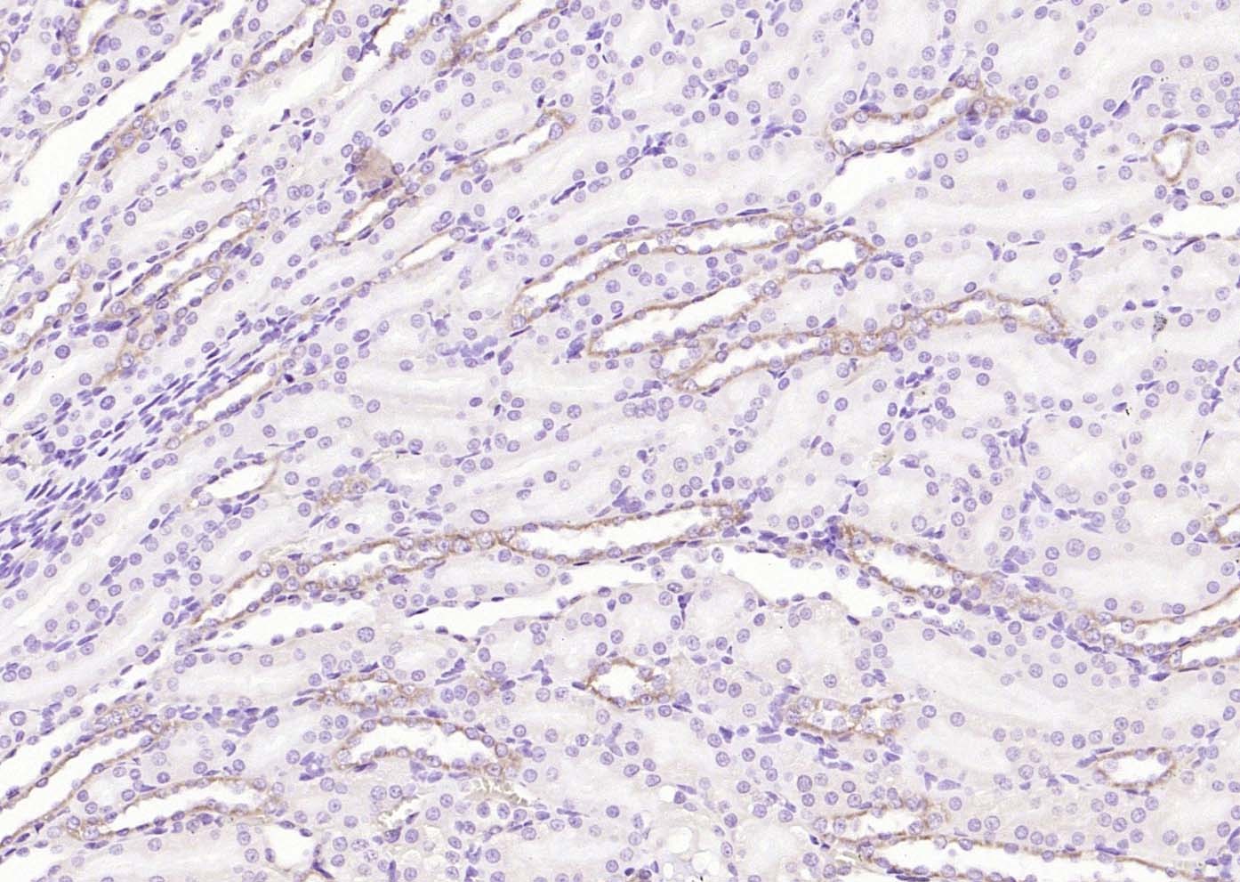
5. Paraformaldehyde-fixed, paraffin embedded (mouse kidney); Antigen retrieval by boiling in sodium citrate buffer (pH6.0) for 15 min; Block endogenous peroxidase by 3% hydrogen peroxide for 20 min; Blocking buffer (normal goat serum) at 37°C for 30 min; Antibody incubation with (Angiotensin II Type 1 Receptor) Polyclonal Antibody, Unconjugated (TMAB-00078) at 1:200 overnight at 4°C, followed by operating according to SP Kit (Rabbit) instructionsand DAB staining.
verifiedActivityverifiedActivityverifiedActivityverifiedActivityverifiedActivity
应用IFIHC-FrIHC-PWB
推荐剂量
WB: 1:500-2000; IHC-P: 1:100-500; IHC-Fr: 1:100-500; IF: 1:100-500
抗体种类
Polyclonal
宿主来源Rabbit
亚细胞定位Cell membrane; Multi-pass membrane protein.
组织特异性Liver, lung, adrenal and adrenocortical adenomas.
构建方式Polyclonal Antibody
纯化方式Protein A purified
性状Liquid
缓冲液0.01M TBS (pH7.4) with 1% BSA, 0.02% Proclin300 and 50% Glycerol.
浓度1 mg/mL
研究背景Angiotensin II is a potent vasopressor hormone and a primary regulator of aldosterone secretion. It is an important effector controlling blood pressure and volume in the cardiovascular system. It acts through at least two types of receptors. This gene encodes the type 1 receptor which is thought to mediate the major cardiovascular effects of angiotensin II. This gene may play a role in the generation of reperfusion arrhythmias following restoration of blood flow to ischemic or infarcted myocardium. It was previously thought that a related gene, denoted as AGTR1B, existed; however, it is now believed that there is only one type 1 receptor gene in humans. At least five transcript variants have been described for this gene. Additional variants have been described but their full-length nature has not been determined. The entire coding sequence is contained in the terminal exon and is present in all transcript variants. [provided by RefSeq].
抗原信息
免疫原
KLH conjugated synthetic peptide: human AT1R
抗原种属
Human
基因名称
AGTR1
基因ID
蛋白名称
Type-1 angiotensin II receptor
Uniprot ID
研究领域
Cellular metabolic process,Angiogenic growth factors,Blood Pressure regulation,Cancer
功能
Receptor for angiotensin II. Mediates its action by association with G proteins that activate a phosphatidylinositol-calcium second messenger system.
化学信息
分子量Theoretical: 39 kDa. Actual: 49 kDa.
储存&溶解度
储存方式Store at -20°C or -80°C for 12 months. Avoid repeated freeze-thaw cycles.
运输方式Shipping with blue ice.

计算器

  • 稀释 计算器
  • 配液 计算器
Related Tags: buy Anti-AGTR1 Polyclonal Antibody | purchase Anti-AGTR1 Polyclonal Antibody | Anti-AGTR1 Polyclonal Antibody cost | order Anti-AGTR1 Polyclonal Antibody | Anti-AGTR1 Polyclonal Antibody molecular weight