购物车
  • TargetMol
    您的购物车当前为空

Anti-ADRB2 Antibody (3B949)

Synonyms: Beta-2 adrenoreceptor, Beta-2 adrenoceptor, Beta-2 adrenergic receptor, B2AR, ADRB2R, ADRB 2
货号 TMAC-00420 一键复制产品信息
Rating icon 还可以

Anti-ADRB2 Antibody (3B949) 是一种 Rabbit 抗体,靶向 ADRB2。Anti-ADRB2 Antibody (3B949) 可用于 IHC,IP,WB。

Anti-ADRB2 Antibody (3B949)

一键复制产品信息
Rating icon 还可以
货号 TMAC-00420

别名 Beta-2 adrenoreceptor, Beta-2 adrenoceptor, Beta-2 adrenergic receptor, B2AR, ADRB2R, ADRB 2

Anti-ADRB2 Antibody (3B949) 是一种 Rabbit 抗体,靶向 ADRB2。Anti-ADRB2 Antibody (3B949) 可用于 IHC,IP,WB。

Anti-ADRB2 Antibody (3B949)
规格价格库存数量
50 μL
¥ 1,480
5日内发货
100 μL
¥ 2,485
5日内发货
库存状态实时更新,以官网显示为准,现货产品可直接加购物车下单
大包装 & 定制
加入购物车

TargetMol的所有产品仅用作科学研究或药证申报,不能被用于人体,我们不向个人提供产品和服务。请您遵守承诺用途,不得违反法律法规规定用于任何其他用途。

实验操作小课堂
常见问题解答
查看更多

资源下载:产品操作手册

产品介绍


生物活性
产品描述
Anti-ADRB2 Antibody (3B949) is a Rabbit antibody targeting ADRB2. Anti-ADRB2 Antibody (3B949) can be used in IHC,IP,WB.
别名
Beta-2 adrenoreceptor, Beta-2 adrenoceptor, Beta-2 adrenergic receptor, B2AR, ADRB2R, ADRB 2
Ig Type
IgG
克隆号
3B949
反应种属
Human,Mouse,Rat,zebrafish
验证活性
1. Western blot analysis of ADRB2 on zebrafish lysates using anti-ADRB2 antibody at 1/1,000 dilution.
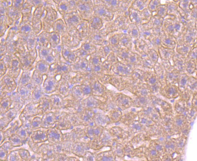
2. Immunohistochemical analysis of paraffin-embedded mouse liver tissue using anti-ADRB2 antibody. Counter stained with hematoxylin.
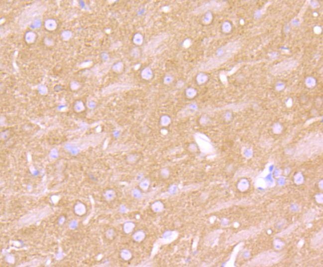
3. Immunohistochemical analysis of paraffin-embedded mouse brain tissue using anti-ADRB2 antibody. Counter stained with hematoxylin.
verifiedActivityverifiedActivityverifiedActivity
应用IHCIPWB
推荐剂量
WB: 1:1000-5000; IHC: 1:50-200
抗体种类
Monoclonal
宿主来源Rabbit
构建方式Recombinant Antibody
纯化方式ProA affinity purified
性状Liquid
缓冲液1*TBS (pH7.4), 1%BSA, 40%Glycerol. Preservative: 0.05% Sodium Azide.
研究背景Adrenergic receptors (ARs) (the term "adrenergic" reflects the alternative name for epinephrine, adrenaline) include four general types (a1, a2, b1 and b2) which are found in different target tissues and differ in their affinities and responses to various agonists and antagonists. cDNA clones have been isolated for all of the major AR subtypes and a number of closely related receptors have been identified by this approach. Each of the receptors have been shown to consist of single polypeptide chains which transverse the plasma membrane seven times, presumably forming a bundle of helices within the membrane. These transmembrane regions are hydrophobic and are interconnected by extracellular and intracellular hydrophilic loops. The coupling of ARs to specific intracellular effectors is mediated through diverse heterotrimeric G proteins and is regulated by G protein-coupled receptor kinases (GRKs), cAMP-dependent protein kinase A and protein kinase C directed phosphorylation. b2-adrenergic receptors bind cathecholamines (epinephrine, norepinephrine) and influence development, behavior, cardiac function, smooth muscle tone, and metabolism. b2-AR signaling complexes can contain C L-type calcium channel Ca(V)1.2, G protein, adenylyl cyclase, cAMP-dependent kinase, and PP2A phosphatase.
偶联与修饰
偶联
Unconjugated
抗原信息
免疫原
Recombinant Protein
Uniprot ID
化学信息
分子量Theoretical: 60 kDa.
储存&溶解度
储存方式Store at -20°C or -80°C for 12 months. Avoid repeated freeze-thaw cycles.
运输方式Shipping with blue ice.

计算器

  • 稀释 计算器
  • 配液 计算器
Related Tags: buy Anti-ADRB2 Antibody (3B949) | purchase Anti-ADRB2 Antibody (3B949) | Anti-ADRB2 Antibody (3B949) cost | order Anti-ADRB2 Antibody (3B949) | Anti-ADRB2 Antibody (3B949) molecular weight