购物车
  • TargetMol
    您的购物车当前为空

Anti-Acetyl-p53 (Lys382) Antibody (4U203)

Synonyms: p53K382-acetylated, p53K382ac, Ac-p53K382, Ac-p53 (Lys382), Ac-p53 (K382), Acetyl-p53 (K382)
货号 TMAC-02972 一键复制产品信息
Rating icon 还可以

Anti-Acetyl-p53 (Lys382) Antibody (4U203) 是一种 Rabbit 抗体,靶向 Acetyl-p53 (Lys382)。Anti-Acetyl-p53 (Lys382) Antibody (4U203) 可用于 WB,ICC,IHC。

Anti-Acetyl-p53 (Lys382) Antibody (4U203)

一键复制产品信息
Rating icon 还可以
货号 TMAC-02972

别名 p53K382-acetylated, p53K382ac, Ac-p53K382, Ac-p53 (Lys382), Ac-p53 (K382), Acetyl-p53 (K382)

Anti-Acetyl-p53 (Lys382) Antibody (4U203) 是一种 Rabbit 抗体,靶向 Acetyl-p53 (Lys382)。Anti-Acetyl-p53 (Lys382) Antibody (4U203) 可用于 WB,ICC,IHC。

Anti-Acetyl-p53 (Lys382) Antibody (4U203)
规格价格库存数量
50 μL
¥ 1,480
5日内发货
100 μL
¥ 2,485
5日内发货
库存状态实时更新,以官网显示为准,现货产品可直接加购物车下单
大包装 & 定制
加入购物车

TargetMol的所有产品仅用作科学研究或药证申报,不能被用于人体,我们不向个人提供产品和服务。请您遵守承诺用途,不得违反法律法规规定用于任何其他用途。

实验操作小课堂
常见问题解答
查看更多

资源下载:产品操作手册

产品介绍


生物活性
产品描述
Anti-Acetyl-p53 (Lys382) Antibody (4U203) is a Rabbit antibody targeting Acetyl-p53 (Lys382). Anti-Acetyl-p53 (Lys382) Antibody (4U203) can be used in ICC,IHC,WB.
别名
p53K382-acetylated, p53K382ac, Ac-p53K382, Ac-p53 (Lys382), Ac-p53 (K382), Acetyl-p53 (K382)
Ig Type
IgG
克隆号
4U203
反应种属
Human
验证活性
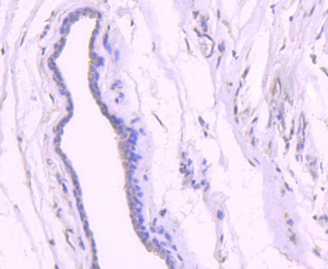
1. Immunohistochemical analysis of paraffin-embedded human breast carcinoma tissue using anti-p53 (acetyl K382) antibody. Counter stained with hematoxylin.
2. ICC staining p53 (acetyl K382) in A549 cells (green). The nuclear counter stain is DAPI (blue). Cells were fixed in paraformaldehyde, permeabilised with 0.25% Triton X100/PBS.
3. ICC staining p53 (acetyl K382) in HepG2 cells (green). The nuclear counter stain is DAPI (blue). Cells were fixed in paraformaldehyde, permeabilised with 0.25% Triton X100/PBS.
verifiedActivityverifiedActivityverifiedActivity
应用ICCIHCWB
推荐剂量
WB: 1:500; IHC: 1:50-100; ICC: 1:50-100
抗体种类
Monoclonal
宿主来源Rabbit
构建方式Recombinant Antibody
纯化方式ProA affinity purified
性状Liquid
缓冲液1*TBS (pH7.4), 1%BSA, 40%Glycerol. Preservative: 0.05% Sodium Azide.
研究背景Antigen NY-CO-13 antibody BCC7 antibody Cellular tumor antigen p53 antibody FLJ92943 antibody LFS1 antibody Mutant tumor protein 53 antibody p53 antibody p53 tumor suppressor antibody P53_HUMAN antibody Phosphoprotein p53 antibody Tp53 antibody Transformation related protein 53 antibody TRP53 antibody Tumor protein 53 antibody Tumor protein p53 antibody Tumor suppressor p53 antibody
偶联与修饰
偶联
Unconjugated
其他可选修饰符
Methylated/Acetylated
抗原信息
免疫原
Recombinant Protein
Uniprot ID
化学信息
分子量Theoretical: 53 kDa.
储存&溶解度
储存方式Store at -20°C or -80°C for 12 months. Avoid repeated freeze-thaw cycles.
运输方式Shipping with blue ice.

计算器

  • 稀释 计算器
  • 配液 计算器
Related Tags: buy Anti-Acetyl-p53 (Lys382) Antibody (4U203) | purchase Anti-Acetyl-p53 (Lys382) Antibody (4U203) | Anti-Acetyl-p53 (Lys382) Antibody (4U203) cost | order Anti-Acetyl-p53 (Lys382) Antibody (4U203) | Anti-Acetyl-p53 (Lys382) Antibody (4U203) molecular weight