购物车
  • TargetMol
    您的购物车当前为空

Anti-14-3-3 sigma Antibody (2I538)

Synonyms: YWHAS, stratifin, 14-3-3 σ
货号 TMAC-00007 一键复制产品信息
Rating icon 还可以

Anti-14-3-3 sigma Antibody (2I538) 是一种 Rabbit 抗体,靶向 14-3-3 sigma。Anti-14-3-3 sigma Antibody (2I538) 可用于 IHC,WB。

Anti-14-3-3 sigma Antibody (2I538)

一键复制产品信息
Rating icon 还可以
货号 TMAC-00007

别名 YWHAS, stratifin, 14-3-3 σ

Anti-14-3-3 sigma Antibody (2I538) 是一种 Rabbit 抗体,靶向 14-3-3 sigma。Anti-14-3-3 sigma Antibody (2I538) 可用于 IHC,WB。

Anti-14-3-3 sigma Antibody (2I538)
规格价格库存数量
50 μL
¥ 1,490
5日内发货
100 μL
¥ 2,495
5日内发货
库存状态实时更新,以官网显示为准,现货产品可直接加购物车下单
大包装 & 定制
加入购物车

TargetMol的所有产品仅用作科学研究或药证申报,不能被用于人体,我们不向个人提供产品和服务。请您遵守承诺用途,不得违反法律法规规定用于任何其他用途。

实验操作小课堂
常见问题解答
查看更多

资源下载:产品操作手册

产品介绍


生物活性
产品描述
Anti-14-3-3 sigma Antibody (2I538) is a Rabbit antibody targeting 14-3-3 sigma. Anti-14-3-3 sigma Antibody (2I538) can be used in IHC,WB.
别名
YWHAS, stratifin, 14-3-3 σ
Ig Type
IgG
克隆号
2I538
反应种属
Human,Rat
验证活性
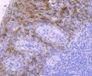
1. Immunohistochemical analysis of paraffin-embedded human tonsil tissue using anti-14-3-3 sigma antibody. Counter stained with hematoxylin.
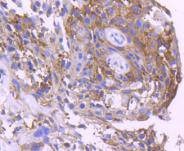
2. Immunohistochemical analysis of paraffin-embedded human breast carcinoma tissue using anti-14-3-3 sigma antibody. Counter stained with hematoxylin.
verifiedActivityverifiedActivity
应用IHCWB
推荐剂量
WB: 1:1000; IHC: 1:50-200
抗体种类
Monoclonal
宿主来源Rabbit
构建方式Recombinant Antibody
纯化方式ProA affinity purified
性状Liquid
缓冲液1*TBS (pH7.4), 1%BSA, 40%Glycerol. Preservative: 0.05% Sodium Azide.
研究背景14-3-3 proteins regulate many cellular processes relevant to cancer biology, notably apoptosis, mitogenic signaling and cell-cycle checkpoints. Seven isoforms, denoted 14-3-3 b, g, e, z, h, q and s, comprise this family of signaling intermediates. 14-3-3 s, also known as SFN, stratifin, HME1 or YWHAS, is a secreted adaptor protein that is involved in regulating both general and specific signaling pathways. Expressed predominately in stratified squamous keratinising epithelium, 14-3-3 s is able to bind and modify the activity of a large number of proteins, such as KRT17 (Keratin 17), through recognition of a phosphothreonine or phosphoserine motif. When bound to Keratin 17, for example, 14-3-3 s acts to stimulate the Akt/mTOR signaling pathway by upregulating protein synthesis and cell growth. 14-3-3 s also functions to positively mediate IGF-I-induced cell cycle progression and can bind to a variety of translation initiation factors, thus controlling mitotic translation. In response to tumor growth, 14-3-3 s positively regulates the tumor suppressor p53 and increases the rate of p53-regulated inhibition of G2/M cell cycle progression. Multiple isoforms of 14-3-3 s exist due to alternative splicing events.
偶联与修饰
偶联
Unconjugated
抗原信息
免疫原
Recombinant Protein
Uniprot ID
化学信息
分子量Theoretical: 28 kDa.
储存&溶解度
储存方式Store at -20°C or -80°C for 12 months. Avoid repeated freeze-thaw cycles.
运输方式Shipping with blue ice.

计算器

  • 稀释 计算器
  • 配液 计算器
Related Tags: buy Anti-14-3-3 sigma Antibody (2I538) | purchase Anti-14-3-3 sigma Antibody (2I538) | Anti-14-3-3 sigma Antibody (2I538) cost | order Anti-14-3-3 sigma Antibody (2I538) | Anti-14-3-3 sigma Antibody (2I538) molecular weight