购物车
  • 全部删除
  • TargetMol
    您的购物车当前为空

Anti-YAP1 Antibody (7R366)

Rating icon 还可以
产品编号 TMAC-04308

Anti-YAP1 Antibody (7R366) 是一种 Rabbit 抗体,靶向 YAP1。Anti-YAP1 Antibody (7R366) 可用于 FCM,ICC/IF,IHC,IP,WB。

Anti-YAP1 Antibody (7R366)

Anti-YAP1 Antibody (7R366)

一键复制产品信息
Rating icon 还可以
产品编号 TMAC-04308

Anti-YAP1 Antibody (7R366) 是一种 Rabbit 抗体,靶向 YAP1。Anti-YAP1 Antibody (7R366) 可用于 FCM,ICC/IF,IHC,IP,WB。

规格价格库存数量
50 μL
¥ 1,485
5日内发货
100 μL
¥ 2,485
5日内发货
大包装 & 定制
加入购物车
TargetMol 的所有产品仅用作科学研究或药证申报,不能被用于人体,我们不向个人提供产品和服务。请您遵守承诺用途,不得违反法律法规规定用于任何其他用途。
实验操作小课堂
常见问题解答
查看更多
联系我们获取更多批次信息
资源下载

产品介绍

生物活性
产品描述
Anti-YAP1 Antibody (7R366) is a Rabbit antibody targeting YAP1. Anti-YAP1 Antibody (7R366) can be used in FCM,ICC/IF,IHC,IP,WB.
Ig Type
IgG
克隆号
7R366
交叉反应
Human
验证活性
1. Western blot analysis of YAP1 on HepG2 cell lysates using anti-YAP1 antibody at 1/1,000 dilution.
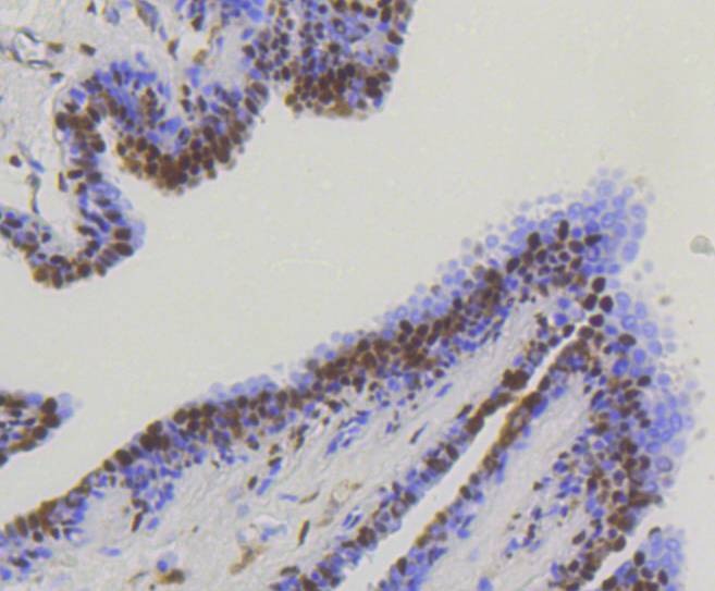
2. Immunohistochemical analysis of paraffin-embedded human colon cancer tissue using anti-YAP1 antibody. Counter stained with hematoxylin.
3. Immunohistochemical analysis of paraffin-embedded human breast carcinoma tissue using anti-YAP1 antibody. Counter stained with hematoxylin.
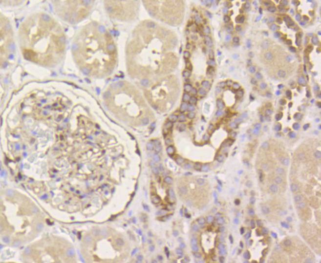
4. Immunohistochemical analysis of paraffin-embedded human kidney tissue using anti-YAP1 antibody. Counter stained with hematoxylin.
5. ICC staining YAP1 in Hela cells (green). The nuclear counter stain is DAPI (blue). Cells were fixed in paraformaldehyde, permeabilised with 0.25% Triton X100/PBS.
6. ICC staining YAP1 in HepG2 cells (green). The nuclear counter stain is DAPI (blue). Cells were fixed in paraformaldehyde, permeabilised with 0.25% Triton X100/PBS.
7. Flow cytometric analysis of NIH/3T3 cells with YAP1 antibody at 1/50 dilution (blue) compared with an unlabelled control (cells without incubation with primary antibody; red). Alexa Fluor 488-conjugated goat anti rabbit IgG was used as the secondary antibody.
verifiedActivityverifiedActivityverifiedActivityverifiedActivityverifiedActivityverifiedActivityverifiedActivity
应用FCMICC/IFIHCIPWB
推荐剂量
WB: 1:1000-2000; IHC: 1:50-200; ICC/IF: 1:50-200; FCM: 1:50-100
抗体种类
Monoclonal
宿主来源Rabbit
构建方式Recombinant Antibody
纯化方式ProA affinity purified
性状Liquid
缓冲液1*TBS (pH7.4), 1%BSA, 40%Glycerol. Preservative: 0.05% Sodium Azide.
研究背景Commitment to cell division occurs at a point late in the G1 phase of the cell cycle, termed Start. Passage through Start requires the activation of the Cdc28 protein kinase by the cell cycle-regulated G1 cyclins. Maximal expression of these G1 cyclins is induced by the heterodimeric transcription factor complex composed of Swi4 (also designated Art1) and Swi6. Swi4 is the DNA-binding subunit of this complex. In addition to binding Swi4, Swi6 forms a complex with Mbp1. This complex activates S-phase cyclins and genes involved in DNA synthesis Rpb1 is the largest subunit of the yeast RNA polymerase II. Srb4 is a basal transcription factor that is essential for the establishment of the transcription initiation apparatus. Stress factors induce transcription through the induction of various transcription factors. Yap1 activates expression in response to oxidative stress, while Msn2 and Msn4 mediate transcription via the stress response element (STRE).
偶联与修饰
偶联
Unconjugated
抗原信息
免疫原
Recombinant Protein
Uniprot ID
化学信息
分子量Theoretical: 65 kDa.
存储&运输
储存方式Store at -20°C or -80°C for 12 months. Avoid repeated freeze-thaw cycles.
运输方式Shipping with blue ice.

计算器

  • 稀释 计算器

关键词

评论列表

4个月前
5.0
Rating icon 很棒

评论内容

Related Tags: buy Anti-YAP1 Antibody (7R366) | purchase Anti-YAP1 Antibody (7R366) | Anti-YAP1 Antibody (7R366) cost | order Anti-YAP1 Antibody (7R366) | Anti-YAP1 Antibody (7R366) molecular weight