购物车
  • 全部删除
  • TargetMol
    您的购物车当前为空

Anti-Transthyretin Antibody (5H602)

Rating icon 还可以
产品编号 TMAC-04151

Anti-Transthyretin Antibody (5H602) 是一种 Rabbit 抗体,靶向 Transthyretin。Anti-Transthyretin Antibody (5H602) 可用于 FCM,ICC/IF,IHC,IP,WB。

Anti-Transthyretin Antibody (5H602)

Anti-Transthyretin Antibody (5H602)

一键复制产品信息
Rating icon 还可以
产品编号 TMAC-04151

Anti-Transthyretin Antibody (5H602) 是一种 Rabbit 抗体,靶向 Transthyretin。Anti-Transthyretin Antibody (5H602) 可用于 FCM,ICC/IF,IHC,IP,WB。

规格价格库存数量
50 μL
¥ 1,495
5日内发货
100 μL
¥ 2,485
5日内发货
大包装 & 定制
加入购物车
TargetMol 的所有产品仅用作科学研究或药证申报,不能被用于人体,我们不向个人提供产品和服务。请您遵守承诺用途,不得违反法律法规规定用于任何其他用途。
实验操作小课堂
常见问题解答
查看更多
联系我们获取更多批次信息
资源下载

产品介绍

生物活性
产品描述
Anti-Transthyretin Antibody (5H602) is a Rabbit antibody targeting Transthyretin. Anti-Transthyretin Antibody (5H602) can be used in FCM,ICC/IF,IHC,IP,WB.
Ig Type
IgG
克隆号
5H602
交叉反应
Human
验证活性
1. Western blot analysis of TTR on different cells lysates using anti-TTR antibody at 1/500 dilution. Positive control: Line 1: Human brain, Line 2:Human lung.
2. Immunohistochemical analysis of paraffin-embedded human liver cancer tissue using anti-TTR antibody. Counter stained with hematoxylin.
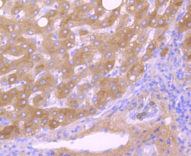
3. Immunohistochemical analysis of paraffin-embedded human liver tissue using anti- TTR antibody. Counter stained with hematoxylin.
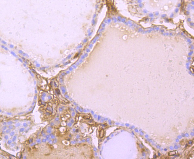
4. Immunohistochemical analysis of paraffin-embedded human thyroid tissue using anti-TTR antibody. Counter stained with hematoxylin.
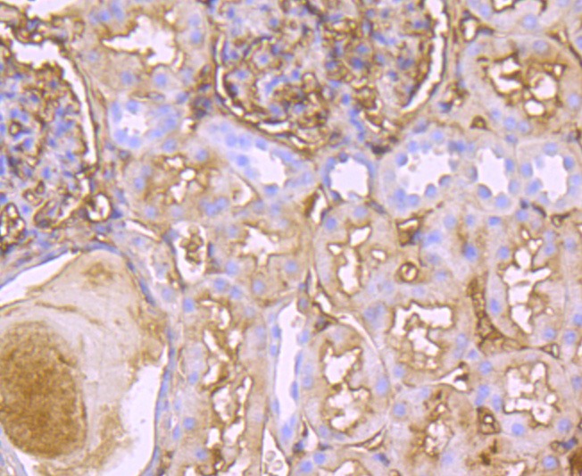
5. Immunohistochemical analysis of paraffin-embedded human kidney tissue using anti-TTR antibody. Counter stained with hematoxylin.
6. Immunohistochemical analysis of paraffin-embedded human pancreas tissue using anti-TTR antibody. Counter stained with hematoxylin.
7. ICC staining TTR in A549 cells (red). The nuclear counter stain is DAPI (blue). Cells were fixed in paraformaldehyde, permeabilised with 0.25% Triton X100/PBS.
8. ICC staining TTR in MCF-7 cells (red). The nuclear counter stain is DAPI (blue). Cells were fixed in paraformaldehyde, permeabilised with 0.25% Triton X100/PBS.
9. Flow cytometric analysis of MCF-7 cells with TTR antibody at 1/50 dilution (red) compared with an unlabelled control (cells without incubation with primary antibody; black). Alexa Fluor 488-conjugated goat anti rabbit IgG was used as the secondary antibody.
verifiedActivityverifiedActivityverifiedActivityverifiedActivityverifiedActivityverifiedActivityverifiedActivityverifiedActivityverifiedActivity
应用FCMICC/IFIHCIPWB
推荐剂量
WB: 1:500-2000; IHC: 1:50-200; ICC/IF: 1:50-200; FCM: 1:50-100
抗体种类
Monoclonal
宿主来源Rabbit
构建方式Recombinant Antibody
纯化方式ProA affinity purified
性状Liquid
缓冲液1*TBS (pH7.4), 1%BSA, 40%Glycerol. Preservative: 0.05% Sodium Azide.
研究背景Prealbumin, also designated transthyretin, is a major thyroid-hormone binding protein involved in transporting thyroxine from the bloodstream to the brain. Prealbumin is located in the cytoplasm and in the vesicles of developing rat brain cells, and is thought to be transported there from the cerebrospinal fluid via endocytosis. Sequence variants of this protein have been identified in amyloid fibrils from patients with familial amyloidotic polyneuropathy (FAP), the most common form of hereditary systemic amyloidosis. Although the biologically active form of Prealbumin is a tetramer, the amyloidogenic intermed-iate is thought to be a monomeric species. Prealbumin also binds to the retinol carrier protein RBP (retinol-binding protein). The gene encoding Prealbumin maps to human chromosome 18q12.1.
偶联与修饰
偶联
Unconjugated
抗原信息
免疫原
Recombinant Protein
Uniprot ID
化学信息
分子量Theoretical: 16 kDa.
存储&运输
储存方式Store at -20°C or -80°C for 12 months. Avoid repeated freeze-thaw cycles.
运输方式Shipping with blue ice.

计算器

  • 稀释 计算器

关键词

评论列表

4个月前
5.0
Rating icon 很棒

评论内容

Related Tags: buy Anti-Transthyretin Antibody (5H602) | purchase Anti-Transthyretin Antibody (5H602) | Anti-Transthyretin Antibody (5H602) cost | order Anti-Transthyretin Antibody (5H602) | Anti-Transthyretin Antibody (5H602) molecular weight