购物车
  • TargetMol
    您的购物车当前为空

Anti-RRM1 Antibody (6Z102)

Synonyms: RR1, RIR1, ribonucleotide reductase M1, R1
货号 TMAC-03642 一键复制产品信息
Rating icon 还可以

Anti-RRM1 Antibody (6Z102) 是一种 Rabbit 抗体,靶向 RRM1。Anti-RRM1 Antibody (6Z102) 可用于 FCM,IHC,IP,WB。

Anti-RRM1 Antibody (6Z102)

一键复制产品信息
Rating icon 还可以
货号 TMAC-03642

别名 RR1, RIR1, ribonucleotide reductase M1, R1

Anti-RRM1 Antibody (6Z102) 是一种 Rabbit 抗体,靶向 RRM1。Anti-RRM1 Antibody (6Z102) 可用于 FCM,IHC,IP,WB。

Anti-RRM1 Antibody (6Z102)
规格价格库存数量
50 μL
¥ 1,490
5日内发货
100 μL
¥ 2,495
5日内发货
库存状态实时更新,以官网显示为准,现货产品可直接加购物车下单
大包装 & 定制
加入购物车

TargetMol的所有产品仅用作科学研究或药证申报,不能被用于人体,我们不向个人提供产品和服务。请您遵守承诺用途,不得违反法律法规规定用于任何其他用途。

实验操作小课堂
常见问题解答
查看更多

资源下载:产品操作手册

产品介绍


生物活性
产品描述
Anti-RRM1 Antibody (6Z102) is a Rabbit antibody targeting RRM1. Anti-RRM1 Antibody (6Z102) can be used in FCM,IHC,IP,WB.
别名
RR1, RIR1, ribonucleotide reductase M1, R1
Ig Type
IgG
克隆号
6Z102
反应种属
Human,Mouse
验证活性
1. Western blot analysis of RRM1 on mouse thymus tissue (1) and A431 cell (2) lysate using anti-RRM1 antibody at 1/500 dilution.
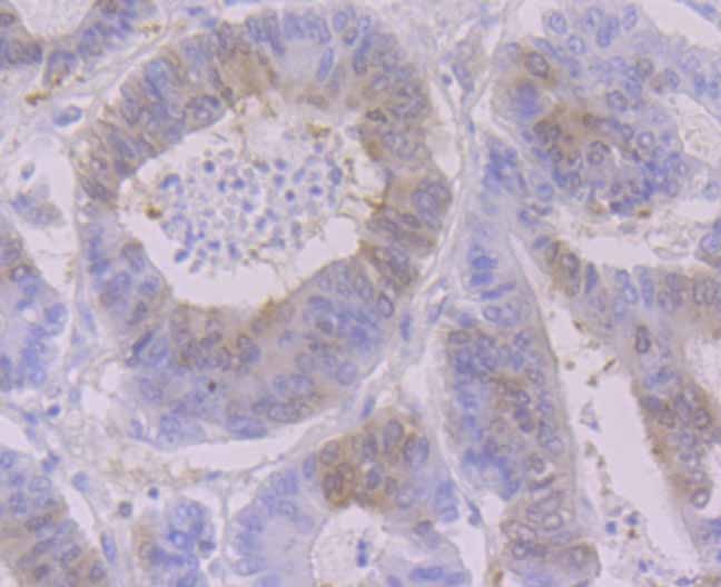
2. Immunohistochemical analysis of paraffin-embedded human colon tissue tissue using anti-RRM1 antibody. Counter stained with hematoxylin.
3. Flow cytometric analysis of A431 cells with RRM1 antibody at 1/50 dilution (blue) compared with an unlabelled control (cells without incubation with primary antibody; red). Alexa Fluor 488-conjugated goat anti-rabbit IgG was used as the secondary antibody.
verifiedActivityverifiedActivityverifiedActivity
应用FCMIHCIPWB
推荐剂量
WB: 1:500-2000; IHC: 1:50-100; IP: 1:10-50; FCM: 1:50-100
抗体种类
Monoclonal
宿主来源Rabbit
构建方式Recombinant Antibody
纯化方式ProA affinity purified
性状Liquid
缓冲液1*TBS (pH7.4), 1%BSA, 40%Glycerol. Preservative: 0.05% Sodium Azide.
研究背景Provides the precursors necessary for DNA synthesis. Catalyzes the biosynthesis of deoxyribonucleotides from the corresponding ribonucleotides. Belongs to the ribonucleoside diphosphate reductase large chain family. Contains 1 ATP-cone domain.
偶联与修饰
偶联
Unconjugated
抗原信息
免疫原
Recombinant Protein
Uniprot ID
化学信息
分子量Theoretical: 90 kDa.
储存&溶解度
储存方式Store at -20°C or -80°C for 12 months. Avoid repeated freeze-thaw cycles.
运输方式Shipping with blue ice.

计算器

  • 稀释 计算器
  • 配液 计算器
Related Tags: buy Anti-RRM1 Antibody (6Z102) | purchase Anti-RRM1 Antibody (6Z102) | Anti-RRM1 Antibody (6Z102) cost | order Anti-RRM1 Antibody (6Z102) | Anti-RRM1 Antibody (6Z102) molecular weight