购物车
  • TargetMol
    您的购物车当前为空

Anti-Protein Kinase D2/PRKD2 Antibody (5O381)

Synonyms: protein kinase D2, PKD2, nPKC-D2, HSPC187
货号 TMAC-03445 一键复制产品信息
Rating icon 还可以

Anti-Protein Kinase D2/PRKD2 Antibody (5O381) 是一种 Rabbit 抗体,靶向 Protein Kinase D2/PRKD2。Anti-Protein Kinase D2/PRKD2 Antibody (5O381) 可用于 FCM,ICC,IF,IHC,WB。

Anti-Protein Kinase D2/PRKD2 Antibody (5O381)

一键复制产品信息
Rating icon 还可以
货号 TMAC-03445

别名 protein kinase D2, PKD2, nPKC-D2, HSPC187

Anti-Protein Kinase D2/PRKD2 Antibody (5O381) 是一种 Rabbit 抗体,靶向 Protein Kinase D2/PRKD2。Anti-Protein Kinase D2/PRKD2 Antibody (5O381) 可用于 FCM,ICC,IF,IHC,WB。

Anti-Protein Kinase D2/PRKD2 Antibody (5O381)
规格价格库存数量
50 μL
¥ 1,495
5日内发货
100 μL
¥ 2,490
5日内发货
库存状态实时更新,以官网显示为准,现货产品可直接加购物车下单
大包装 & 定制
加入购物车

TargetMol的所有产品仅用作科学研究或药证申报,不能被用于人体,我们不向个人提供产品和服务。请您遵守承诺用途,不得违反法律法规规定用于任何其他用途。

实验操作小课堂
常见问题解答
查看更多

资源下载:产品操作手册

产品介绍


生物活性
产品描述
Anti-Protein Kinase D2/PRKD2 Antibody (5O381) is a Rabbit antibody targeting Protein Kinase D2/PRKD2. Anti-Protein Kinase D2/PRKD2 Antibody (5O381) can be used in FCM,ICC,IF,IHC,WB.
别名
protein kinase D2, PKD2, nPKC-D2, HSPC187
Ig Type
IgG
克隆号
5O381
反应种属
Human,Mouse
验证活性
1. Western blot analysis of Protein Kinase D2 on A549 cell using anti-Protein Kinase D2 antibody at 1/500 dilution.
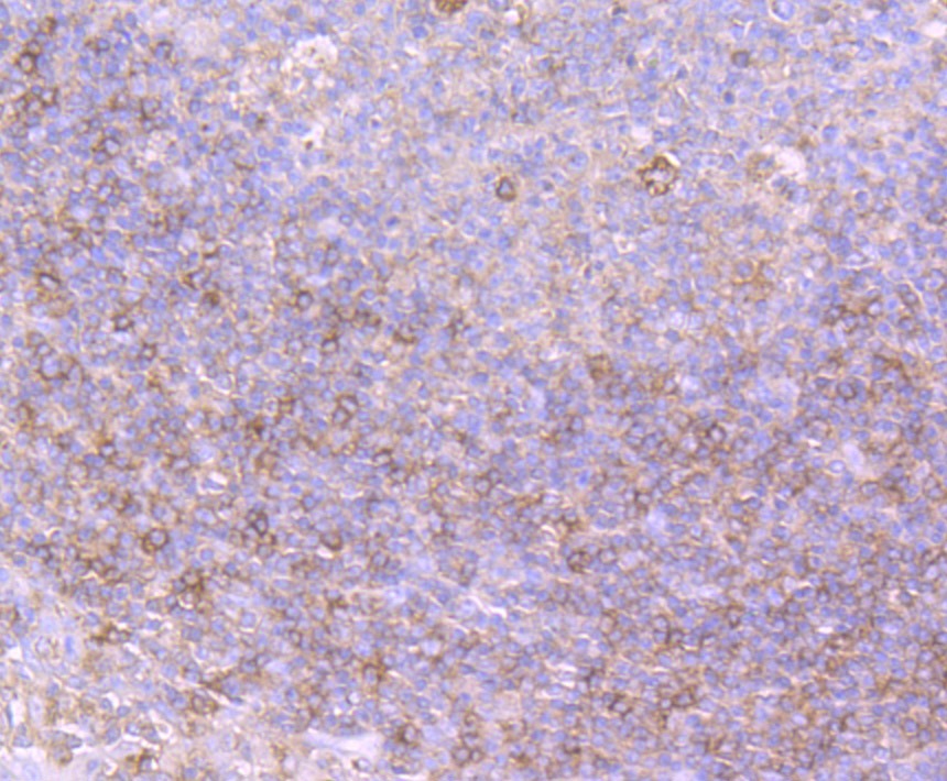
2. Immunohistochemical analysis of paraffin-embedded human tonsil tissue using anti-Protein Kinase D2 antibody. Counter stained with hematoxylin.
3. ICC staining Protein Kinase D2 in SH-SY-5Y cells (green). The nuclear counter stain is DAPI (blue). Cells were fixed in paraformaldehyde, permeabilised with 0.25% Triton X100/PBS.
4. ICC staining Protein Kinase D2 in A549 cells (green). The nuclear counter stain is DAPI (blue). Cells were fixed in paraformaldehyde, permeabilised with 0.25% Triton X100/PBS.
5. Flow cytometric analysis of SH-SY-5Y cells with Protein Kinase D2 antibody at 1/50 dilution (red) compared with an unlabelled control (cells without incubation with primary antibody; black). Alexa Fluor 488-conjugated goat anti rabbit IgG was used as the secondary antibody.
verifiedActivityverifiedActivityverifiedActivityverifiedActivityverifiedActivity
应用FCMICCIFIHCWB
推荐剂量
WB: 1:1000-5000; IHC: 1:50-200; ICC: 1:50-100; FCM: 1:50-100
抗体种类
Monoclonal
宿主来源Rabbit
构建方式Recombinant Antibody
纯化方式ProA affinity purified
性状Liquid
缓冲液1*TBS (pH7.4), 1%BSA, 40%Glycerol. Preservative: 0.05% Sodium Azide.
偶联与修饰
偶联
Unconjugated
抗原信息
免疫原
Recombinant Protein
Uniprot ID
化学信息
分子量Theoretical: 97 kDa.
储存&溶解度
储存方式Store at -20°C or -80°C for 12 months. Avoid repeated freeze-thaw cycles.
运输方式Shipping with blue ice.

计算器

  • 稀释 计算器
  • 配液 计算器
Related Tags: buy Anti-Protein Kinase D2/PRKD2 Antibody (5O381) | purchase Anti-Protein Kinase D2/PRKD2 Antibody (5O381) | Anti-Protein Kinase D2/PRKD2 Antibody (5O381) cost | order Anti-Protein Kinase D2/PRKD2 Antibody (5O381) | Anti-Protein Kinase D2/PRKD2 Antibody (5O381) molecular weight