购物车
  • TargetMol
    您的购物车当前为空

Anti-PPP1R1A Antibody (4O879)

Synonyms: Protein Phosphatase Inhibitor 1, Protein Phosphatase 1 Regulatory Subunit 1A, PPP1R1A, IPP-1, IPP1, I-1
货号 TMAC-03403 一键复制产品信息
Rating icon 还可以

Anti-PPP1R1A Antibody (4O879) 是一种 Rabbit 抗体,靶向 PPP1R1A。Anti-PPP1R1A Antibody (4O879) 可用于 FCM,ICC/IF,IHC,IP,WB。

Anti-PPP1R1A Antibody (4O879)

一键复制产品信息
Rating icon 还可以
货号 TMAC-03403

别名 Protein Phosphatase Inhibitor 1, Protein Phosphatase 1 Regulatory Subunit 1A, PPP1R1A, IPP-1, IPP1, I-1

Anti-PPP1R1A Antibody (4O879) 是一种 Rabbit 抗体,靶向 PPP1R1A。Anti-PPP1R1A Antibody (4O879) 可用于 FCM,ICC/IF,IHC,IP,WB。

Anti-PPP1R1A Antibody (4O879)
规格价格库存数量
50 μL
¥ 1,480
5日内发货
100 μL
¥ 2,490
5日内发货
库存状态实时更新,以官网显示为准,现货产品可直接加购物车下单
大包装 & 定制
加入购物车
TargetMol的所有产品仅用作科学研究或药证申报,不能被用于人体,我们不向个人提供产品和服务。请您遵守承诺用途,不得违反法律法规规定用于任何其他用途。
实验操作小课堂
常见问题解答
查看更多

资源下载:产品操作手册

产品介绍


生物活性
产品描述
Anti-PPP1R1A Antibody (4O879) is a Rabbit antibody targeting PPP1R1A. Anti-PPP1R1A Antibody (4O879) can be used in FCM,ICC/IF,IHC,IP,WB.
别名Protein Phosphatase Inhibitor 1, Protein Phosphatase 1 Regulatory Subunit 1A, PPP1R1A, IPP-1, IPP1, I-1
Ig Type
IgG
克隆号
4O879
反应种属
Human,Mouse,Rat
验证活性
1. Western blot analysis of PPP1R1A on Rat brain lysates using anti-PPP1R1A antibody at 1/1,000 dilution.
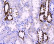
2. Immunohistochemical analysis of paraffin-embedded human kidney tissue using anti-PPP1R1A antibody. Counter stained with hematoxylin.
3. Immunohistochemical analysis of paraffin-embedded mouse brain tissue using anti-PPP1R1A antibody. Counter stained with hematoxylin.
4. Immunohistochemical analysis of paraffin-embedded mouse kidney tissue using anti-PPP1R1A antibody. Counter stained with hematoxylin.
5. ICC staining PPP1R1A in N2A cells (green). The nuclear counter stain is DAPI (blue). Cells were fixed in paraformaldehyde, permeabilised with 0.25% Triton X100/PBS.
6. ICC staining PPP1R1A in SH-SY5Y cells (green). The nuclear counter stain is DAPI (blue). Cells were fixed in paraformaldehyde, permeabilised with 0.25% Triton X100/PBS.
7. ICC staining PPP1R1A in SHG-44 cells (green). The nuclear counter stain is DAPI (blue). Cells were fixed in paraformaldehyde, permeabilised with 0.25% Triton X100/PBS.
8. Flow cytometric analysis of SH-SY5Y cells with PPP1R1A antibody at 1/50 dilution (red) compared with an unlabelled control (cells without incubation with primary antibody; black). Alexa Fluor 488-conjugated goat anti rabbit IgG was used as the secondary antibody.
verifiedActivityverifiedActivityverifiedActivityverifiedActivityverifiedActivityverifiedActivityverifiedActivityverifiedActivity
应用FCMICC/IFIHCIPWB
推荐剂量
WB: 1:1000; IHC: 1:100-500; ICC/IF: 1:50-200; FCM: 1:50-100
抗体种类
Monoclonal
宿主来源Rabbit
构建方式Recombinant Antibody
纯化方式ProA affinity purified
性状Liquid
缓冲液1*TBS (pH7.4), 1%BSA, 40%Glycerol. Preservative: 0.05% Sodium Azide.
研究背景The inhibitor of protein phosphatase 1 (IPP-1, I-1) plays a role in regulating the phosphorylation of other proteins, and is itself phosphorylated by a cyclic AMP-dependent protein kinase. IPP-1 is present in skeletal muscles and in distinct neuronal systems of the brain. The localization and expression of IPP-1 suggests that it may play discrete roles in certain regions and developing stages of the brain, independent of the regulation of protein phosphatase type 1 (PP-1). PP-1 binds to both phosphorylated and dephosphorylated IPP-1. Conversion of PP-1 to an Mn2+-dependent state appears to play a role in its regulation by IPP-1. IPP-1 attenuates the activity of glycogen phosphorylase and is thought to play an important role in the hormonal control of glycogen metabolism.
偶联与修饰
偶联
Unconjugated
抗原信息
免疫原
Recombinant Protein
Uniprot ID
化学信息
分子量Theoretical: 27 kDa.
储存&溶解度
储存方式Store at -20°C or -80°C for 12 months. Avoid repeated freeze-thaw cycles.
运输方式Shipping with blue ice.

计算器

  • 稀释 计算器
  • 配液 计算器

关键词

Related Tags: buy Anti-PPP1R1A Antibody (4O879) | purchase Anti-PPP1R1A Antibody (4O879) | Anti-PPP1R1A Antibody (4O879) cost | order Anti-PPP1R1A Antibody (4O879) | Anti-PPP1R1A Antibody (4O879) molecular weight