购物车
  • 全部删除
  • TargetMol
    您的购物车当前为空

Anti-Phospho-YAP1 (Ser127) Polyclonal Antibody 2

Rating icon 还可以
产品编号 TMAC-04305
别名 YAP1 (p-Ser127), YAP1 (p-S127), p-YAP1 (Ser127), p-YAP1 (S127), Phospho-YAP1 (S127)

Anti-Phospho-YAP1 (Ser127) Polyclonal Antibody 是一种 Rabbit 抗体,靶向 Phospho-YAP1 (Ser127)。Anti-Phospho-YAP1 (Ser127) Polyclonal Antibody 可用于 IF,IHC,WB。

Anti-Phospho-YAP1 (Ser127) Polyclonal Antibody 2

Anti-Phospho-YAP1 (Ser127) Polyclonal Antibody 2

一键复制产品信息
Rating icon 还可以
产品编号 TMAC-04305 别名 YAP1 (p-Ser127), YAP1 (p-S127), p-YAP1 (Ser127), p-YAP1 (S127), Phospho-YAP1 (S127)

Anti-Phospho-YAP1 (Ser127) Polyclonal Antibody 是一种 Rabbit 抗体,靶向 Phospho-YAP1 (Ser127)。Anti-Phospho-YAP1 (Ser127) Polyclonal Antibody 可用于 IF,IHC,WB。

规格价格库存数量
50 μL
¥ 1,485
5日内发货
100 μL
¥ 2,235
5日内发货
大包装 & 定制
加入购物车
TargetMol 的所有产品仅用作科学研究或药证申报,不能被用于人体,我们不向个人提供产品和服务。请您遵守承诺用途,不得违反法律法规规定用于任何其他用途。
实验操作小课堂
常见问题解答
查看更多
联系我们获取更多批次信息
资源下载

产品介绍

生物活性
产品描述
Anti-Phospho-YAP1 (Ser127) Polyclonal Antibody is a Rabbit antibody targeting Phospho-YAP1 (Ser127). Anti-Phospho-YAP1 (Ser127) Polyclonal Antibody can be used in IF,IHC,WB.
别名YAP1 (p-Ser127), YAP1 (p-S127), p-YAP1 (Ser127), p-YAP1 (S127), Phospho-YAP1 (S127)
Ig Type
IgG
交叉反应
Human,Mouse,Rat
验证活性
1. Western blot analysis of extracts from COS7 tissue using YAP (Phospho-Ser127) antibody TMAC-04305. The lane on the right is treated with the antigen-specific peptide.
2. Immunofluorescence analysis of Hela cell. 1,YAP (phospho Ser127) Polyclonal Antibody (red) was diluted at 1:200 (4°C overnight).
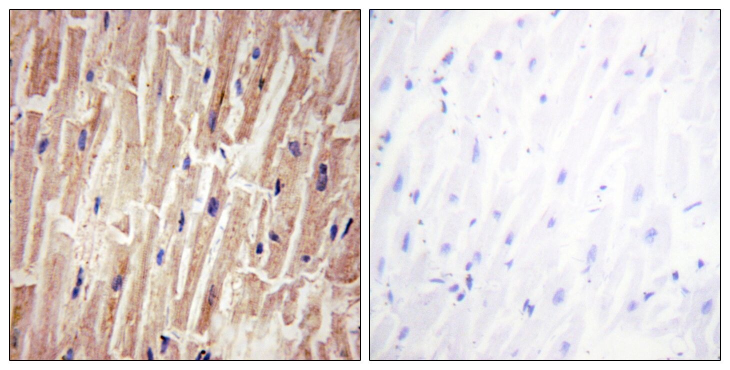
3. Immunohistochemistry analysis of paraffin-embedded human heart , using YAP (Phospho-Ser127) Antibody. The picture on the right is blocked with the phospho peptide.
verifiedActivityverifiedActivityverifiedActivity
应用IFIHCWB
推荐剂量
WB: 1:500-1000; IF: 1:50-200; IHC: 1:100-300
抗体种类
Polyclonal
宿主来源Rabbit
构建方式Polyclonal Antibody
纯化方式Antibodies were produced by immunizing rabbits with synthetic phosphopeptide and KLH conjugates. Antibodies were purified by affinity-chromatography using epitope-specific phosphopeptide. Non-phospho specific antibodies were removed by chromatogramphy using non-phosphopeptide.
性状Liquid
缓冲液Rabbit IgG in phosphate buffered saline (without Mg2+ and Ca2+), pH 7.4, 150mM NaCl, 0.02% sodium azide and 50% glycerol.
研究背景Transcriptional regulator which can act both as a coactivator and a corepressor and is the critical downstream regulatory target in the Hippo signaling pathway that plays a pivotal role in organ size control and tumor suppression by restricting proliferation and promoting apoptosis. The core of this pathway is composed of a kinase cascade wherein STK3/MST2 and STK4/MST1, in complex with its regulatory protein SAV1, phosphorylates and activates LATS1/2 in complex with its regulatory protein MOB1, which in turn phosphorylates and inactivates YAP1 oncoprotein and WWTR1/TAZ. Plays a key role to control cell proliferation in response to cell contact.
偶联与修饰
偶联
Unconjugated
其他可选修饰符
Phospho
抗原信息
免疫原
Peptide sequence around phosphorylation site of serine127(A-H-S(p)-S-P) derived from Human YAP
抗原种属
human
Uniprot ID
化学信息
分子量Actual: 65 kDa.
存储&运输
储存方式Store at -20°C or -80°C for 12 months. Avoid repeated freeze-thaw cycles.
运输方式Shipping with blue ice.

计算器

  • 稀释 计算器

关键词

评论列表

4个月前
5.0
Rating icon 很棒

评论内容

Related Tags: buy Anti-Phospho-YAP1 (Ser127) Polyclonal Antibody 2 | purchase Anti-Phospho-YAP1 (Ser127) Polyclonal Antibody 2 | Anti-Phospho-YAP1 (Ser127) Polyclonal Antibody 2 cost | order Anti-Phospho-YAP1 (Ser127) Polyclonal Antibody 2 | Anti-Phospho-YAP1 (Ser127) Polyclonal Antibody 2 molecular weight