购物车
  • TargetMol
    您的购物车当前为空

Anti-Phospho-YAP1 (Ser127) Antibody (5V148)

Synonyms: YAP1 (p-Ser127), YAP1 (p-S127), p-YAP1 (Ser127), p-YAP1 (S127), Phospho-YAP1 (S127)
货号 TMAC-03284Cas号 一键复制产品信息纯度:
Rating icon 还可以

Anti-Phospho-YAP1 (Ser127) Antibody (5V148) 是一种 Rabbit 抗体,靶向 Phospho-YAP1 (Ser127)。Anti-Phospho-YAP1 (Ser127) Antibody (5V148) 可用于 WB,IHC。

Anti-Phospho-YAP1 (Ser127) Antibody (5V148)

一键复制产品信息
Rating icon 还可以
货号 TMAC-03284

别名 YAP1 (p-Ser127), YAP1 (p-S127), p-YAP1 (Ser127), p-YAP1 (S127), Phospho-YAP1 (S127)

Anti-Phospho-YAP1 (Ser127) Antibody (5V148) 是一种 Rabbit 抗体,靶向 Phospho-YAP1 (Ser127)。Anti-Phospho-YAP1 (Ser127) Antibody (5V148) 可用于 WB,IHC。

Anti-Phospho-YAP1 (Ser127) Antibody (5V148)
规格价格库存数量
50 μL
¥ 1,485
5日内发货
100 μL
¥ 2,490
5日内发货
库存状态实时更新,以官网显示为准,现货产品可直接加购物车下单
大包装 & 定制
加入购物车

TargetMol的所有产品仅用作科学研究或药证申报,不能被用于人体,我们不向个人提供产品和服务。请您遵守承诺用途,不得违反法律法规规定用于任何其他用途。

实验操作小课堂
常见问题解答
查看更多

资源下载:产品操作手册

产品介绍


生物活性
产品描述
Anti-Phospho-YAP1 (Ser127) Antibody (5V148) is a Rabbit antibody targeting Phospho-YAP1 (Ser127). Anti-Phospho-YAP1 (Ser127) Antibody (5V148) can be used in IHC,WB.
别名
YAP1 (p-Ser127), YAP1 (p-S127), p-YAP1 (Ser127), p-YAP1 (S127), Phospho-YAP1 (S127)
Ig Type
IgG
克隆号
5V148
反应种属
Human,Mouse,Rat
验证活性
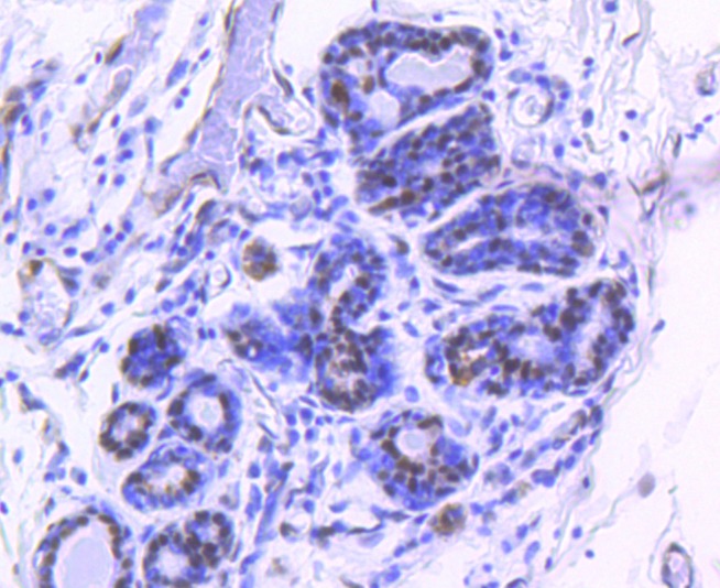
1. Immunohistochemical analysis of paraffin-embedded human breast carcinoma tissue using anti-phospho-YAP1 (S127) antibody. Counter stained with hematoxylin.
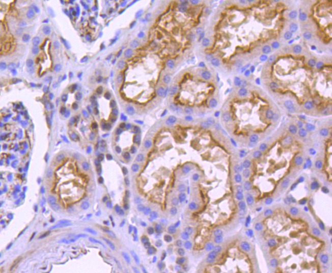
2. Immunohistochemical analysis of paraffin-embedded human kidney tissue using anti-phospho-YAP1 (S127) antibody. Counter stained with hematoxylin.
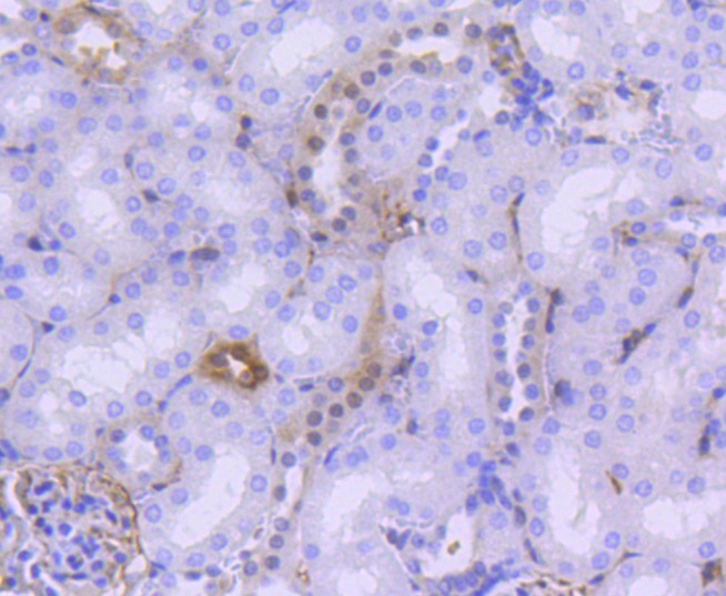
3. Immunohistochemical analysis of paraffin-embedded mouse kidney tissue using anti-phospho-YAP1 (S127) antibody. Counter stained with hematoxylin.
verifiedActivityverifiedActivityverifiedActivity
应用IHCWB
推荐剂量
WB: 1:500-1000; IHC: 1:50-200
抗体种类
Monoclonal
宿主来源Rabbit
构建方式Recombinant Antibody
纯化方式ProA affinity purified
性状Liquid
缓冲液1*TBS (pH7.4), 1%BSA, 40%Glycerol. Preservative: 0.05% Sodium Azide.
研究背景The Yes-associated protein, otherwise known as YAP, is a 14-3-3-binding molecule that was originally recognized by virtue of its ability to bind to the SH3 domain of Yes. The binding of YAP to 14-3-3 requires the phosphorylation of a homologous serine residue (Ser 112) in the YAP 14-3-3-binding motif. The highly conserved and ubiquitously expressed 14-3-3 proteins regulate differentiation, cell cycle progression and apoptosis by binding intracellular phosphoproteins involved in signal transduction. YAP may link events at the plasma membrane and cytoskeleton to inhibition of transcription in the nucleus in a manner regulated by 14-3-3 proteins. YAP shares homology with the WW domain of TAZ, transcriptional co-activator with PDZ-binding motif, which functions as a transcriptional co-activator by binding to the PPXY motif present in transcription factors. YAP is expressed at high levels in the lung, placenta, prostate, ovary and testis.
偶联与修饰
偶联
Unconjugated
其他可选修饰符
Phospho
抗原信息
免疫原
Human breast carcinoma tissue, human kidney tissue, mouse kidney tissue
抗原种属
human
Uniprot ID
化学信息
分子量Theoretical: 65 kDa.
储存&溶解度
储存方式Store at -20°C or -80°C for 12 months. Avoid repeated freeze-thaw cycles.
运输方式Shipping with blue ice.

计算器

  • 稀释 计算器
  • 配液 计算器
Related Tags: buy Anti-Phospho-YAP1 (Ser127) Antibody (5V148) | purchase Anti-Phospho-YAP1 (Ser127) Antibody (5V148) | Anti-Phospho-YAP1 (Ser127) Antibody (5V148) cost | order Anti-Phospho-YAP1 (Ser127) Antibody (5V148) | Anti-Phospho-YAP1 (Ser127) Antibody (5V148) molecular weight