购物车
  • TargetMol
    您的购物车当前为空

Anti-Phospho-VEGFR2/KDR (Tyr1059) Polyclonal Antibody

Synonyms: VEGFR2/KDR (p-Y1059), VEGFR2/KDR (p-Tyr1059), VEGFR2, VEGFR, p-VEGFR2/KDR (Y1059), p-VEGFR2/KDR (Tyr1059), kinase insert domain receptor, Flk-1, FLK1, CD309
货号 TMAB-01528 一键复制产品信息
Rating icon 还可以
202603开学季活动

Anti-Phospho-VEGFR2/KDR (Tyr1059) Polyclonal Antibody 是一种 Rabbit 抗体,靶向 Phospho-VEGFR2/KDR (Tyr1059)。Anti-Phospho-VEGFR2/KDR (Tyr1059) Polyclonal Antibody 可用于 FCM, IF, IHC-Fr, IHC-P, WB。

Anti-Phospho-VEGFR2/KDR (Tyr1059) Polyclonal Antibody

一键复制产品信息
Rating icon 还可以
202603开学季活动
货号 TMAB-01528

别名 VEGFR2/KDR (p-Y1059), VEGFR2/KDR (p-Tyr1059), VEGFR2, VEGFR, p-VEGFR2/KDR (Y1059), p-VEGFR2/KDR (Tyr1059), kinase insert domain receptor, Flk-1, FLK1, CD309

Anti-Phospho-VEGFR2/KDR (Tyr1059) Polyclonal Antibody 是一种 Rabbit 抗体,靶向 Phospho-VEGFR2/KDR (Tyr1059)。Anti-Phospho-VEGFR2/KDR (Tyr1059) Polyclonal Antibody 可用于 FCM, IF, IHC-Fr, IHC-P, WB。

Anti-Phospho-VEGFR2/KDR (Tyr1059) Polyclonal Antibody
规格价格库存数量
50 μL
¥ 1,165
5日内发货
100 μL
¥ 1,970
5日内发货
200 μL
¥ 2,780
5日内发货
库存状态实时更新,以官网显示为准,现货产品可直接加购物车下单
大包装 & 定制
加入购物车

TargetMol的所有产品仅用作科学研究或药证申报,不能被用于人体,我们不向个人提供产品和服务。请您遵守承诺用途,不得违反法律法规规定用于任何其他用途。

实验操作小课堂
常见问题解答
查看更多

选择批次:
颜色: 无色透明
性状: Liquid
资源下载: COA产品操作手册

产品介绍


生物活性
产品描述
Anti-Phospho-VEGFR2/KDR (Tyr1059) Polyclonal Antibody is a Rabbit antibody targeting Phospho-VEGFR2/KDR (Tyr1059). Anti-Phospho-VEGFR2/KDR (Tyr1059) Polyclonal Antibody can be used in FCM, IF, IHC-Fr, IHC-P, WB.
别名
VEGFR2/KDR (p-Y1059), VEGFR2/KDR (p-Tyr1059), VEGFR2, VEGFR, p-VEGFR2/KDR (Y1059), p-VEGFR2/KDR (Tyr1059), kinase insert domain receptor, Flk-1, FLK1, CD309
Ig Type
IgG
反应种属
Human (predicted:Mouse,Rat,Chicken,Dog,Pig,Cow,Horse,Rabbit)
验证活性
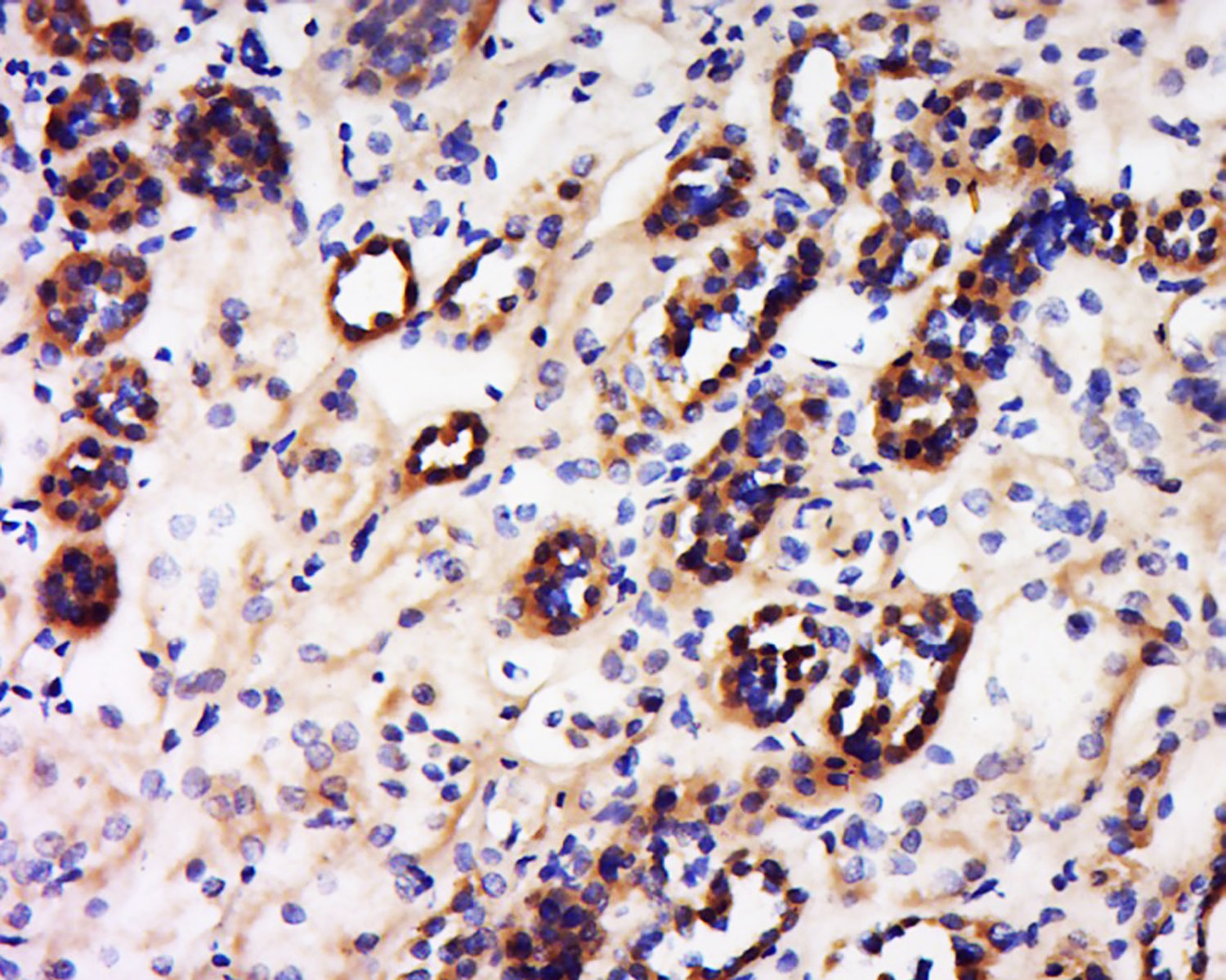
1. Tissue/cell: human kidney tissue; 4% Paraformaldehyde-fixed and paraffin-embedded;
Antigen retrieval: citrate buffer (0.01M, pH6.0), Boiling bathing for 15 min; Block endogenous peroxidase by 3% Hydrogen peroxide for 30 min; Blocking buffer (normal goat serum) at 37°C for 20 min;
Incubation: Anti-VEGFR Polyclonal Antibody, Unconjugated (TMAB-01528) 1:200, overnight at 4°C, followed by conjugation to the secondary antibody and DAb staining.
2. Blank control: Huvec.
Primary Antibody (green line): Rabbit Anti-phospho-VEGF receptor 2 (Tyr1059) antibody (TMAB-01528)
Dilution: 2 μg/10^6 cells;
Isotype Control Antibody (orange line): Rabbit IgG.
Secondary Antibody: Goat anti-rabbit IgG-AF647
Dilution: 1 μg/test.
Protocol
The cells were fixed with 4% PFA (10 min at room temperature) and then permeabilized with 90% ice-cold methanol for 20 min at-20°C. The cells were then incubated in 5% BSA to block non-specific protein-protein interactions for 30 min at room temperature. Cells stained with Primary Antibody for 30 min at room temperature. The secondary antibody used for 40 min at room temperature.
3. Sample:
HUVEC (Hu) lysate at 30 μg
Primary: Anti-phospho-VEGF receptor 2 (Tyr1059) (TMAB-01528) at 1/300 dilution
Secondary: IRDye800CW Goat Anti-Rabbit IgG at 1/20000 dilution
Predicted band size: 147 kDa
Observed band size: 147 kDa
verifiedActivityverifiedActivityverifiedActivity
应用FCMIFIHC-FrIHC-PWB
推荐剂量
WB: 1:500-2000; IHC-P: 1:100-500; IHC-Fr: 1:100-500; IF: 1:100-500; FCM: 2ug/test
抗体种类
Polyclonal
宿主来源Rabbit
亚细胞定位Isoform 1: Cell membrane; Single-pass type I membrane protein. Cytoplasm. Nucleus. Cytoplasmic vesicle. Early endosome. Note=Detected on caveolae-enriched lipid rafts at the cell surface. Is recycled from the plasma membrane to endosomes and back again. Phosphorylation triggered by VEGFA binding promotes internalization and subsequent degradation. VEGFA binding triggers internalization and translocation to the nucleus. Isoform 2: Secreted (Probable).Isoform 3: Secreted.
组织特异性Detected in cornea (at protein level). Widely expressed.
构建方式Polyclonal Antibody
纯化方式Protein A purified
性状Liquid
缓冲液0.01M TBS (pH7.4) with 1% BSA, 0.02% Proclin300 and 50% Glycerol.
浓度1 mg/mL
研究背景Vascular endothelial growth factor (VEGF) is a major growth factor for endothelial cells. This gene encodes one of the two receptors of the VEGF. This receptor, known as kinase insert domain receptor, is a type III receptor tyrosine kinase. It functions as the main mediator of VEGF-induced endothelial proliferation, survival, migration, tubular morphogenesis and sprouting. The signalling and trafficking of this receptor are regulated by multiple factors, including Rab GTPase, P2Y purine nucleotide receptor, integrin alphaVbeta3, T-cell protein tyrosine phosphatase, etc.. Mutations of this gene are implicated in infantile capillary hemangiomas. [provided by RefSeq, May 2009].
抗原信息
免疫原
KLH conjugated Synthesised phosphopeptide: human VEGF receptor 2 around the phosphorylation site of Tyr1059
抗原种属
Human
基因名称
KDR
基因ID
蛋白名称
Vascular endothelial growth factor receptor 2
Uniprot ID
研究领域
Response to hypoxia,VEGF,Angiogenic growth factors,Growth factor receptors,Endothelial Cell Markers,VEGF Receptors,Endothelial Cells,Hypoxia,Host Virus Interaction,VEGF,Receptor Tyrosine Kinases,Endothelial Markers,Surface Molecules
功能
Tyrosine-protein kinase that acts as a cell-surface receptor for VEGFA, VEGFC and VEGFD. Plays an essential role in the regulation of angiogenesis, vascular development, vascular permeability, and embryonic hematopoiesis. Promotes proliferation, survival, migration and differentiation of endothelial cells. Promotes reorganization of the actin cytoskeleton. Isoforms lacking a transmembrane domain, such as isoform 2 and isoform 3, may function as decoy receptors for VEGFA, VEGFC and/or VEGFD. Isoform 2 plays an important role as negative regulator of VEGFA-and VEGFC-mediated lymphangiogenesis by limiting the amount of free VEGFA and/or VEGFC and preventing their binding to FLT4. Modulates FLT1 and FLT4 signaling by forming heterodimers. Binding of vascular growth factors to isoform 1 leads to the activation of several signaling cascades. Activation of PLCG1 leads to the production of the cellular signaling molecules diacylglycerol and inositol 1,4,5-trisphosphate and the activation of protein kinase C. Mediates activation of MAPK1/ERK2, MAPK3/ERK1 and the MAP kinase signaling pathway, as well as of the AKT1 signaling pathway. Mediates phosphorylation of PIK3R1, the regulatory subunit of phosphatidylinositol 3-kinase, reorganization of the actin cytoskeleton and activation of PTK2/FAK1. Required for VEGFA-mediated induction of NOS2 and NOS3, leading to the production of the signaling molecule nitric oxide (NO) by endothelial cells. Phosphorylates PLCG1. Promotes phosphorylation of FYN, NCK1, NOS3, PIK3R1, PTK2/FAK1 and SRC.
化学信息
分子量Theoretical: 147 kDa. Actual: 147 kDa.
储存&溶解度
储存方式Store at -20°C or -80°C for 12 months. Avoid repeated freeze-thaw cycles.
运输方式Shipping with blue ice.

计算器

  • 稀释 计算器
  • 配液 计算器
Related Tags: buy Anti-Phospho-VEGFR2/KDR (Tyr1059) Polyclonal Antibody | purchase Anti-Phospho-VEGFR2/KDR (Tyr1059) Polyclonal Antibody | Anti-Phospho-VEGFR2/KDR (Tyr1059) Polyclonal Antibody cost | order Anti-Phospho-VEGFR2/KDR (Tyr1059) Polyclonal Antibody | Anti-Phospho-VEGFR2/KDR (Tyr1059) Polyclonal Antibody molecular weight