购物车
  • TargetMol
    您的购物车当前为空

Anti-Phospho-NFE2L2 (Ser40) Antibody (8Z908)

Synonyms: p-NFE2L2 (Ser40), p-NFE2L2 (S40), Phospho-NFE2L2 (S40), NFE2L2 (p-Ser40), NFE2L2 (p-S40)
货号 TMAB-01463 一键复制产品信息
Rating icon 还可以

Anti-Phospho-NFE2L2 (Ser40) Antibody (8Z908) 是一种 Rabbit 抗体,靶向 Phospho-NFE2L2 (Ser40)。Anti-Phospho-NFE2L2 (Ser40) Antibody (8Z908) 可用于 FCM, ICC/IF, IF, IHC-Fr, IHC-P, WB。

Anti-Phospho-NFE2L2 (Ser40) Antibody (8Z908)

一键复制产品信息
Rating icon 还可以
货号 TMAB-01463

别名 p-NFE2L2 (Ser40), p-NFE2L2 (S40), Phospho-NFE2L2 (S40), NFE2L2 (p-Ser40), NFE2L2 (p-S40)

Anti-Phospho-NFE2L2 (Ser40) Antibody (8Z908) 是一种 Rabbit 抗体,靶向 Phospho-NFE2L2 (Ser40)。Anti-Phospho-NFE2L2 (Ser40) Antibody (8Z908) 可用于 FCM, ICC/IF, IF, IHC-Fr, IHC-P, WB。

Anti-Phospho-NFE2L2 (Ser40) Antibody (8Z908)
规格价格库存数量
25 μL
¥ 785
5日内发货
50 μL
¥ 1,390
5日内发货
100 μL
¥ 2,480
5日内发货
库存状态实时更新,以官网显示为准,现货产品可直接加购物车下单
大包装 & 定制
加入购物车

TargetMol的所有产品仅用作科学研究或药证申报,不能被用于人体,我们不向个人提供产品和服务。请您遵守承诺用途,不得违反法律法规规定用于任何其他用途。

实验操作小课堂
常见问题解答
查看更多

资源下载:产品操作手册

产品介绍


生物活性
产品描述
Anti-Phospho-NFE2L2 (Ser40) Antibody (8Z908) is a Rabbit antibody targeting Phospho-NFE2L2 (Ser40). Anti-Phospho-NFE2L2 (Ser40) Antibody (8Z908) can be used in FCM, ICC/IF, IF, IHC-Fr, IHC-P, WB.
别名
p-NFE2L2 (Ser40), p-NFE2L2 (S40), Phospho-NFE2L2 (S40), NFE2L2 (p-Ser40), NFE2L2 (p-S40)
Ig Type
IgG
克隆号
8Z908
反应种属
Human
验证活性
1. Hela cell; 4% Paraformaldehyde-fixed; Triton X-100 at room temperature for 20 min; Blocking buffer (normal goat serum) at 37°C for 20 min; Antibody incubation with (phospho-Nrf2 (Ser40)) monoclonal Antibody, Unconjugated (TMAB-01463) 1:100, 90 minutes at 37°C; followed by a conjugated Goat Anti-Rabbit IgG antibody at 37°C for 90 minutes, DAPI (blue) was used to stain the cell nucleus.
2. Blank control: Hela.
Primary Antibody (green line): Rabbit Anti-phospho-Nrf2 (Ser40) antibody (TMAB-01463)
Dilution: 1 μg/Test;
Secondary Antibody: Goat anti-rabbit IgG-BF488
Dilution: 0.5 μg/Test.
Protocol
The cells were fixed with 4% PFA (10 min at room temperature) and then permeabilized with 90% ice-cold methanol for 20 min at-20°C. The cells were then incubated in 5% BSA to block non-specific protein-protein interactions for 30 min at room temperature. Cells stained with Primary Antibody for 30 min at room temperature. The secondary antibody used for 40 min at room temperature.
3. 25 μg total protein per Lane of various lysates probed with phospho-Nrf2 (Ser40) monoclonal antibody, unconjugated (TMAB-01463) at 1:2000 dilution and 4°C overnight incubation. Followed by conjugated secondary antibody incubation at RT for 60 min.
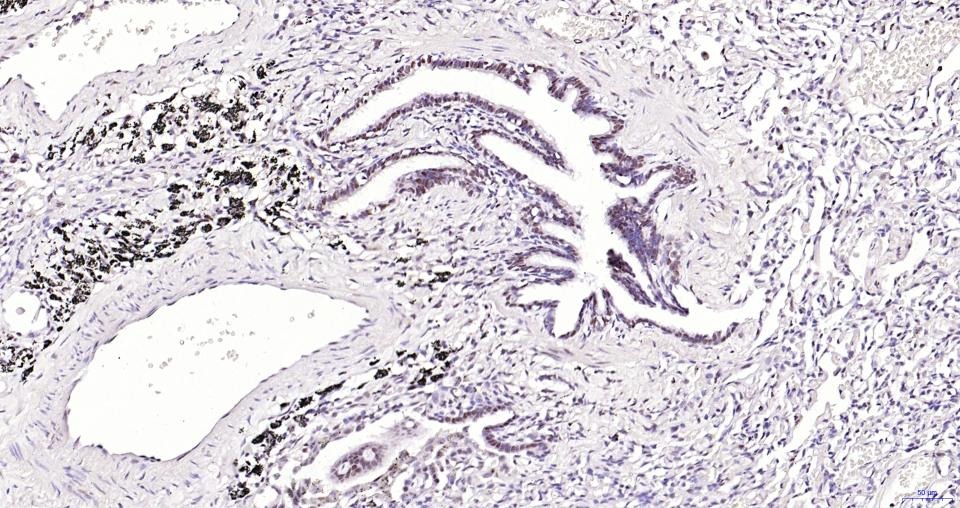
4. Paraformaldehyde-fixed, paraffin embedded Human Lung; Antigen retrieval by boiling in sodium citrate buffer (pH6.0) for 15 min; Antibody incubation with phospho-Nrf2 (Ser40) Monoclonal Antibody, Unconjugated (TMAB-01463) at 1:200 overnight at 4°C, followed by conjugation to the SP Kit (Rabbit) and DAB staining.
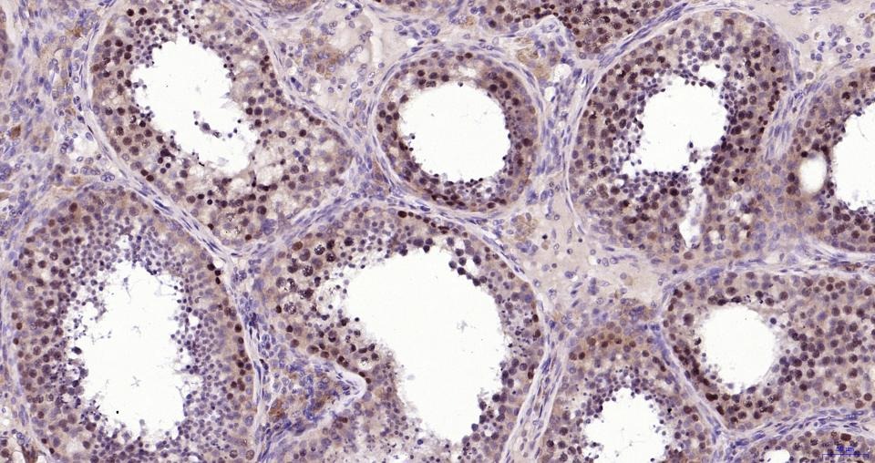
5. Paraformaldehyde-fixed, paraffin embedded Human Testicles; Antigen retrieval by boiling in sodium citrate buffer (pH6.0) for 15 min; Antibody incubation with phospho-Nrf2 (Ser40) Monoclonal Antibody, Unconjugated (TMAB-01463) at 1:200 overnight at 4°C, followed by conjugation to the SP Kit (Rabbit) and DAB staining.
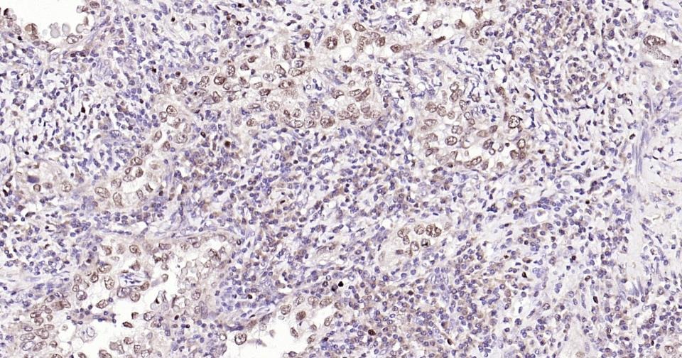
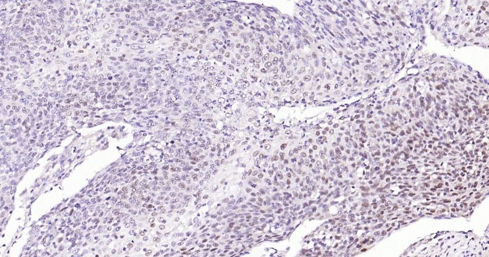
6. Paraformaldehyde-fixed, paraffin embedded Human Cervical Cancer; Antigen retrieval by boiling in sodium citrate buffer (pH6.0) for 15 min; Antibody incubation with phospho-Nrf2 (Ser40) Monoclonal Antibody, Unconjugated (TMAB-01463) at 1:200 overnight at 4°C, followed by conjugation to the secondary antibody and DAB staining.
7. Paraformaldehyde-fixed, paraffin embedded Human Skin Cancer; Antigen retrieval by boiling in sodium citrate buffer (pH6.0) for 15 min; Antibody incubation with phospho-Nrf2 (Ser40) Monoclonal Antibody, Unconjugated (TMAB-01463) at 1:200 overnight at 4°C, followed by conjugation to the secondary antibody and DAB staining.
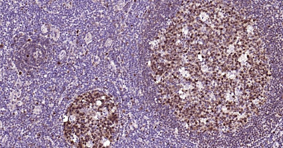
8. Paraformaldehyde-fixed, paraffin embedded Human Tonsil; Antigen retrieval by boiling in sodium citrate buffer (pH6.0) for 15 min; Antibody incubation with phospho-Nrf2 (Ser40) Monoclonal Antibody, Unconjugated (TMAB-01463) at 1:200 overnight at 4°C, followed by conjugation to the secondary antibody and DAB staining.
verifiedActivityverifiedActivityverifiedActivityverifiedActivityverifiedActivityverifiedActivityverifiedActivityverifiedActivity
应用FCMICC/IFIFIHC-FrIHC-PWB
推荐剂量
FCM=1 μg/Test; ICC/IF=1:50-200; IF=1:100-500; IHC-Fr=1:100-500; IHC-P=1:100-500; WB=1:1000-2000
抗体种类
Monoclonal
宿主来源Rabbit
亚细胞定位Cytoplasm, cytosol. Nucleus. Note=Cytosolic under unstressed conditions, translocates into the nucleus upon induction by electrophilic agents.
组织特异性Widely expressed. Highest expression in adult muscle, kidney, lung, liver and in fetal muscle.
构建方式Recombinant Antibody
纯化方式Protein A purified
性状Liquid
缓冲液0.01M TBS (pH7.4) with 1% BSA, 0.02% Proclin300 and 50% Glycerol.
浓度1 mg/mL
研究背景Nuclear factor erythroid 2-related factor 2 (Nrf2) is a transcription factor which regulates the expression of many detoxification and antioxidant enzymes. Nrf2 can potentially play a significant role in adaptive responses to oxidative stress. Nrf2 belongs to the Cap N Collar (CNC-bZIP) subfamily of basic /leucine zipper (bZIP) transcription factors.
抗原信息
免疫原
A synthesized peptide: human Nrf2 around the phosphorylation site of S40
抗原种属
Human
基因名称
NFE2L2
基因ID
蛋白名称
Nuclear factor erythroid 2-related factor 2
Uniprot ID
研究领域
Cardiac metabolism,Oxidative Stress,ChIP antibodies,Other factors,Mitochondrial transcription,Mitochondrial Biogenesis,Oxidative stress
功能
Transcription activator that binds to antioxidant response (ARE) elements in the promoter regions of target genes. Important for the coordinated up-regulation of genes in response to oxidative stress. May be involved in the transcriptional activation of genes of the beta-globin cluster by mediating enhancer activity of hypersensitive site 2 of the beta-globin locus control region.
化学信息
分子量Theoretical: 68 kDa. Actual: 100 kDa.
储存&溶解度
储存方式Store at -20°C or -80°C for 12 months. Avoid repeated freeze-thaw cycles.
运输方式Shipping with blue ice.

计算器

  • 稀释 计算器
  • 配液 计算器
Related Tags: buy Anti-Phospho-NFE2L2 (Ser40) Antibody (8Z908) | purchase Anti-Phospho-NFE2L2 (Ser40) Antibody (8Z908) | Anti-Phospho-NFE2L2 (Ser40) Antibody (8Z908) cost | order Anti-Phospho-NFE2L2 (Ser40) Antibody (8Z908) | Anti-Phospho-NFE2L2 (Ser40) Antibody (8Z908) molecular weight