购物车
  • TargetMol
    您的购物车当前为空

Anti-p53 Antibody (5M213)

Synonyms: undefined
货号 TMAC-02992Cas号 一键复制产品信息纯度:
Rating icon 还可以

Anti-p53 Antibody (5M213) 是一种 Rabbit 抗体,靶向 p53。Anti-p53 Antibody (5M213) 可用于 FCM,ICC,IF,IHC,IP,WB。

Anti-p53 Antibody (5M213)

一键复制产品信息
Rating icon 还可以
货号 TMAC-02992

Anti-p53 Antibody (5M213) 是一种 Rabbit 抗体,靶向 p53。Anti-p53 Antibody (5M213) 可用于 FCM,ICC,IF,IHC,IP,WB。

Anti-p53 Antibody (5M213)
规格价格库存数量
50 μL
¥ 1,490
5日内发货
100 μL
¥ 2,490
5日内发货
库存状态实时更新,以官网显示为准,现货产品可直接加购物车下单
大包装 & 定制
加入购物车

TargetMol的所有产品仅用作科学研究或药证申报,不能被用于人体,我们不向个人提供产品和服务。请您遵守承诺用途,不得违反法律法规规定用于任何其他用途。

实验操作小课堂
常见问题解答
查看更多

资源下载:产品操作手册

产品介绍


生物活性
产品描述
Anti-p53 Antibody (5M213) is a Rabbit antibody targeting p53. Anti-p53 Antibody (5M213) can be used in FCM,ICC,IF,IHC,IP,WB.
Ig Type
IgG
克隆号
5M213
反应种属
Human
验证活性
1. Western blot analysis of p53 on 293 cell using p53 antibody at 1/500 dilution.
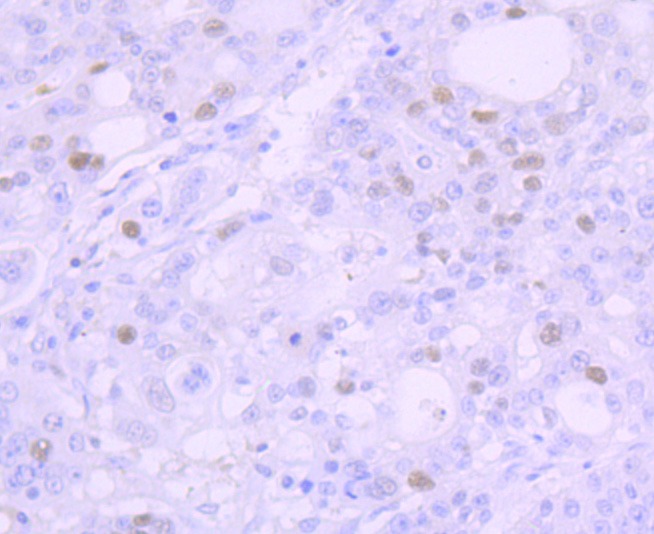
2. Immunohistochemical analysis of paraffin-embedded human stomach cancer tissue using p53 antibody. Counter stained with hematoxylin.
3. Immunohistochemical analysis of paraffin-embedded human breast cancer tissue using p53 antibody. Counter stained with hematoxylin.
4. Flow cytometric analysis of Daudi cells with p53 antibody at 1/100 dilution (red) compared with an unlabelled control (cells without incubation with primary antibody; black). Alexa Fluor 488-conjugated goat anti-rabbit IgG was used as the secondary antibody.
verifiedActivityverifiedActivityverifiedActivityverifiedActivity
应用FCMICCIFIHCIPWB
推荐剂量
WB: 1:500; IHC: 1:100; ICC: 1:100-500; FCM: 1:50-100
抗体种类
Monoclonal
宿主来源Rabbit
构建方式Recombinant Antibody
纯化方式ProA affinity purified
性状Liquid
缓冲液1*TBS (pH7.4), 1%BSA, 40%Glycerol. Preservative: 0.05% Sodium Azide.
研究背景Acts as a tumor suppressor in many tumor types; induces growth arrest or apoptosis depending on the physiological circumstances and cell type. Involved in cell cycle regulation as a trans-activator that acts to negatively regulate cell division by controlling a set of genes required for this process. One of the activated genes is an inhibitor of cyclin-dependent kinases. Apoptosis induction seems to be mediated either by stimulation of BAX and FAS antigen expression, or by repression of Bcl-2 expression. In cooperation with mitochondrial PPIF is involved in activating oxidative stress-induced necrosis; the function is largely independent of transcription. Induces the transcription of long intergenic non-coding RNA p21 (lincRNA-p21) and lincRNA-Mkln1. LincRNA-p21 participates in TP53-dependent transcriptional repression leading to apoptosis and seem to have to effect on cell-cycle regulation. Implicated in Notch signaling cross-over. Prevents CDK7 kinase activity when associated to CAK complex in response to DNA damage, thus stopping cell cycle progression.
偶联与修饰
偶联
Unconjugated
抗原信息
免疫原
Recombinant Protein
Uniprot ID
化学信息
分子量Theoretical: 53 kDa.
储存&溶解度
储存方式Store at -20°C or -80°C for 12 months. Avoid repeated freeze-thaw cycles.
运输方式Shipping with blue ice.

计算器

  • 稀释 计算器
  • 配液 计算器
Related Tags: buy Anti-p53 Antibody (5M213) | purchase Anti-p53 Antibody (5M213) | Anti-p53 Antibody (5M213) cost | order Anti-p53 Antibody (5M213) | Anti-p53 Antibody (5M213) molecular weight