购物车
  • TargetMol
    您的购物车当前为空

Anti-MYLK Antibody (1W61)

货号 TMAC-02731 一键复制产品信息
Rating icon 还可以
202603开学季活动

Anti-MYLK Antibody (1W61) 是一种 Rabbit 抗体,靶向 MYLK。Anti-MYLK Antibody (1W61) 可用于 FCM,ICC/IF,IHC,WB。

Anti-MYLK Antibody (1W61)

一键复制产品信息
Rating icon 还可以
202603开学季活动
货号 TMAC-02731

Anti-MYLK Antibody (1W61) 是一种 Rabbit 抗体,靶向 MYLK。Anti-MYLK Antibody (1W61) 可用于 FCM,ICC/IF,IHC,WB。

Anti-MYLK Antibody (1W61)
规格价格库存数量
50 μL
¥ 1,480
5日内发货
100 μL
¥ 2,490
5日内发货
库存状态实时更新,以官网显示为准,现货产品可直接加购物车下单
大包装 & 定制
加入购物车

TargetMol的所有产品仅用作科学研究或药证申报,不能被用于人体,我们不向个人提供产品和服务。请您遵守承诺用途,不得违反法律法规规定用于任何其他用途。

实验操作小课堂
常见问题解答
查看更多

资源下载:产品操作手册

产品介绍


生物活性
产品描述
Anti-MYLK Antibody (1W61) is a Rabbit antibody targeting MYLK. Anti-MYLK Antibody (1W61) can be used in FCM,ICC/IF,IHC,WB.
Ig Type
IgG
克隆号
1W61
反应种属
Human,Mouse,Rat
验证活性
1. Western blot analysis of MYLK on human lung lysates using anti-MYLK antibody at 1/5,000 dilution.
2. Immunohistochemical analysis of paraffin-embedded rat smooth muscle tissue using anti-MYLK antibody. Counter stained with hematoxylin.
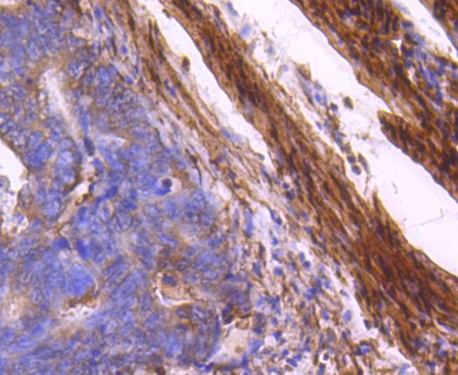
3. Immunohistochemical analysis of paraffin-embedded human colon cancer tissue using anti-MYLK antibody. Counter stained with hematoxylin.
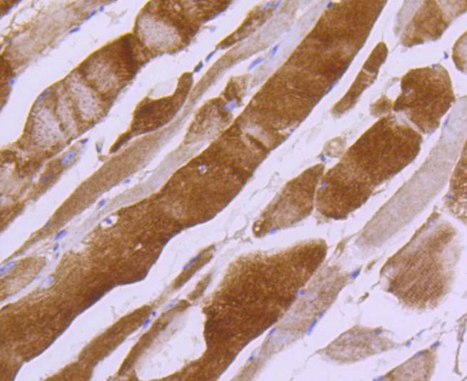
4. Immunohistochemical analysis of paraffin-embedded mouse smooth muscle tissue using anti-MYLK antibody. Counter stained with hematoxylin.
5. ICC staining MYLK in Hela cells (green). The nuclear counter stain is DAPI (blue). Cells were fixed in paraformaldehyde, permeabilised with 0.25% Triton X100/PBS.
6. ICC staining MYLK in L6 cells (green). The nuclear counter stain is DAPI (blue). Cells were fixed in paraformaldehyde, permeabilised with 0.25% Triton X100/PBS.
7. ICC staining MYLK in NIH/3T3 cells (green). The nuclear counter stain is DAPI (blue). Cells were fixed in paraformaldehyde, permeabilised with 0.25% Triton X100/PBS.
8. ICC staining MYLK in SH-SY-5Y cells (green). The nuclear counter stain is DAPI (blue). Cells were fixed in paraformaldehyde, permeabilised with 0.25% Triton X100/PBS.
9. Flow cytometric analysis of SH-SY-5Y cells with MYLK antibody at 1/50 dilution (red) compared with an unlabelled control (cells without incubation with primary antibody; black). Alexa Fluor 488-conjugated goat anti rabbit IgG was used as the secondary antibody.
verifiedActivityverifiedActivityverifiedActivityverifiedActivityverifiedActivityverifiedActivityverifiedActivityverifiedActivityverifiedActivity
应用FCMICC/IFIHCWB
推荐剂量
WB: 1:2000-10000; IHC: 1:100-500; ICC/IF: 1:100-500; FCM: 1:50-100
抗体种类
Monoclonal
宿主来源Rabbit
构建方式Recombinant Antibody
纯化方式ProA affinity purified
性状Liquid
缓冲液1*TBS (pH7.4), 1%BSA, 40%Glycerol. Preservative: 0.05% Sodium Azide.
研究背景MLCK, a member of the Ser/Thr protein kinase family, is a calcium/calmodulin-dependent enzyme responsible for smooth muscle contraction via phosphorylation of a specific serine in the N-terminus of myosin light chains (MLC), an event that facilitates myosin interaction with actin filaments. It is a central determinant in the development of vascular permeability and tissue edema formation. In the nervous system it has been shown to control the growth initiation of astrocytic processes in culture and to participate in transmitter release at synapses formed between cultured sympathetic ganglion cells. MLCK acts as a critical participant in signaling sequences that result in fibroblast apoptosis. Smooth muscle and non-muscle isozymes are expressed in a wide variety of adult and fetal tissues and in cultured endothelium with qualitative expression appearing to be neither tissue- nor development-specific. Non-muscle isoform 2 is the dominant splice variant expressed in various tissues. The Telokin isoform, which binds calmodulin, has been found in a wide variety of adult and fetal tissues. MLCK is probably down-regulated by phosphorylation. The protein contains 1 fibronectin type III domain and 9 immunoglobulin-like C2-type domains.
偶联与修饰
偶联
Unconjugated
抗原信息
免疫原
Recombinant Protein
Uniprot ID
化学信息
分子量Theoretical: 210 kDa.
储存&溶解度
储存方式Store at -20°C or -80°C for 12 months. Avoid repeated freeze-thaw cycles.
运输方式Shipping with blue ice.

计算器

  • 稀释 计算器
  • 配液 计算器
Related Tags: buy Anti-MYLK Antibody (1W61) | purchase Anti-MYLK Antibody (1W61) | Anti-MYLK Antibody (1W61) cost | order Anti-MYLK Antibody (1W61) | Anti-MYLK Antibody (1W61) molecular weight