购物车
  • TargetMol
    您的购物车当前为空

Anti-LXR-alpha Antibody (5E494)

Synonyms: Oxysterols receptor LXR-alpha, Nuclear receptor subfamily 1 group H member 3, NR1H3, LXRA, Liver X receptor alpha
货号 TMAC-02433 一键复制产品信息
Rating icon 还可以

Anti-LXR-alpha Antibody (5E494) 是一种 Rabbit 抗体,靶向 LXR-alpha。Anti-LXR-alpha Antibody (5E494) 可用于 FCM,ICC,IHC,WB。

Anti-LXR-alpha Antibody (5E494)

一键复制产品信息
Rating icon 还可以
货号 TMAC-02433

别名 Oxysterols receptor LXR-alpha, Nuclear receptor subfamily 1 group H member 3, NR1H3, LXRA, Liver X receptor alpha

Anti-LXR-alpha Antibody (5E494) 是一种 Rabbit 抗体,靶向 LXR-alpha。Anti-LXR-alpha Antibody (5E494) 可用于 FCM,ICC,IHC,WB。

Anti-LXR-alpha Antibody (5E494)
规格价格库存数量
50 μL
¥ 1,490
5日内发货
100 μL
¥ 2,490
5日内发货
库存状态实时更新,以官网显示为准,现货产品可直接加购物车下单
大包装 & 定制
加入购物车

TargetMol的所有产品仅用作科学研究或药证申报,不能被用于人体,我们不向个人提供产品和服务。请您遵守承诺用途,不得违反法律法规规定用于任何其他用途。

实验操作小课堂
常见问题解答
查看更多

资源下载:产品操作手册

产品介绍


生物活性
产品描述
Anti-LXR-alpha Antibody (5E494) is a Rabbit antibody targeting LXR-alpha. Anti-LXR-alpha Antibody (5E494) can be used in FCM,ICC,IHC,WB.
别名
Oxysterols receptor LXR-alpha, Nuclear receptor subfamily 1 group H member 3, NR1H3, LXRA, Liver X receptor alpha
Ig Type
IgG
克隆号
5E494
反应种属
Human,Mouse,Rat
验证活性
1. Western blot analysis of LXR alpha on mouse colon tissue lysate using anti-LXR alpha antibody at 1/1,000 dilution.
2. Immunohistochemical analysis of paraffin-embedded human placenta tissue using anti-LXR alpha antibody. Counter stained with hematoxylin.
3. Immunohistochemical analysis of paraffin-embedded mouse testes tissue using anti-LXR alpha antibody. Counter stained with hematoxylin.
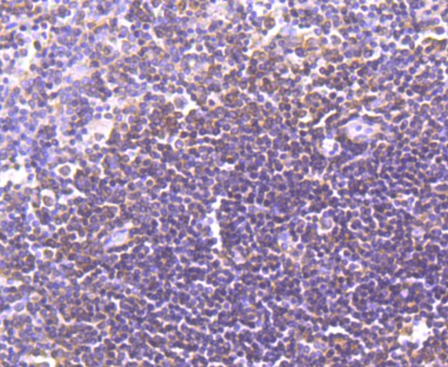
4. Immunohistochemical analysis of paraffin-embedded human spleen tissue using anti-LXR alpha antibody. Counter stained with hematoxylin.
5. ICC staining LXR alpha in HepG2 cells (green). The nuclear counter stain is DAPI (blue). Cells were fixed in paraformaldehyde, permeabilised with 0.25% Triton X100/PBS.
6. Flow cytometric analysis of HepG2 cells with LXR alpha antibody at 1/100 dilution (red) compared with an unlabelled control (cells without incubation with primary antibody; black).
verifiedActivityverifiedActivityverifiedActivityverifiedActivityverifiedActivityverifiedActivity
应用FCMICCIHCWB
推荐剂量
WB: 1:500; IHC: 1:50-200; FCM: 1:50-100
抗体种类
Monoclonal
宿主来源Rabbit
构建方式Recombinant Antibody
纯化方式ProA affinity purified
性状Liquid
缓冲液1*TBS (pH7.4), 1%BSA, 40%Glycerol. Preservative: 0.05% Sodium Azide.
研究背景Orphan receptor. Interaction with RXR shifts RXR from its role as a silent DNA-binding partner to an active ligand-binding subunit in mediating retinoid responses through target genes defined by LXRES. LXRES are DR4-type response elements characterized by direct repeats of two similar hexanuclotide half-sites spaced by four nucleotides. Plays an important role in the regulation of cholesterol homeostasis, regulating cholesterol uptake through MYLIP-dependent ubiquitination of LDLR, VLDLR and LRP8.
偶联与修饰
偶联
Unconjugated
抗原信息
免疫原
Recombinant Protein
Uniprot ID
化学信息
分子量Theoretical: 50 kDa.
储存&溶解度
储存方式Store at -20°C or -80°C for 12 months. Avoid repeated freeze-thaw cycles.
运输方式Shipping with blue ice.

计算器

  • 稀释 计算器
  • 配液 计算器
Related Tags: buy Anti-LXR-alpha Antibody (5E494) | purchase Anti-LXR-alpha Antibody (5E494) | Anti-LXR-alpha Antibody (5E494) cost | order Anti-LXR-alpha Antibody (5E494) | Anti-LXR-alpha Antibody (5E494) molecular weight