购物车
  • TargetMol
    您的购物车当前为空

Anti-LGALS1 Antibody (2V443)

Synonyms: S-Lac lectin 1, LGALS1, HLBP14, GBP, Galectin-1, Galectin 1, GAL1, DKFZp686E23103
货号 TMAC-01596 一键复制产品信息
Rating icon 还可以

Anti-LGALS1 Antibody (2V443) 是一种 Rabbit 抗体,靶向 LGALS1。Anti-LGALS1 Antibody (2V443) 可用于 FCM,ICC/IF,IHC,IP,WB。

Anti-LGALS1 Antibody (2V443)

一键复制产品信息
Rating icon 还可以
货号 TMAC-01596

别名 S-Lac lectin 1, LGALS1, HLBP14, GBP, Galectin-1, Galectin 1, GAL1, DKFZp686E23103

Anti-LGALS1 Antibody (2V443) 是一种 Rabbit 抗体,靶向 LGALS1。Anti-LGALS1 Antibody (2V443) 可用于 FCM,ICC/IF,IHC,IP,WB。

Anti-LGALS1 Antibody (2V443)
规格价格库存数量
50 μL
¥ 1,480
5日内发货
100 μL
¥ 2,480
5日内发货
库存状态实时更新,以官网显示为准,现货产品可直接加购物车下单
大包装 & 定制
加入购物车

TargetMol的所有产品仅用作科学研究或药证申报,不能被用于人体,我们不向个人提供产品和服务。请您遵守承诺用途,不得违反法律法规规定用于任何其他用途。

实验操作小课堂
常见问题解答
查看更多

资源下载:产品操作手册

产品介绍


生物活性
产品描述
Anti-LGALS1 Antibody (2V443) is a Rabbit antibody targeting LGALS1. Anti-LGALS1 Antibody (2V443) can be used in FCM,ICC/IF,IHC,IP,WB.
别名
S-Lac lectin 1, LGALS1, HLBP14, GBP, Galectin-1, Galectin 1, GAL1, DKFZp686E23103
Ig Type
IgG
克隆号
2V443
反应种属
Human,Rat,Mouse
验证活性
1. Western blot analysis of Galectin 1 on HL-60 cell (1) and human skeletal muscle tissue (2) lysate using anti-Galectin 1 antibody at 1/1,000 dilution.
2. Immunohistochemical analysis of paraffin-embedded rat stomach tissue using anti-Galectin 1 antibody. Counter stained with hematoxylin.
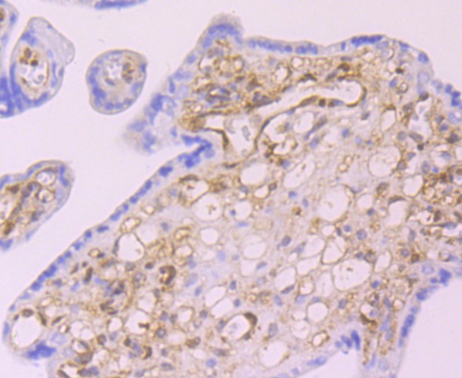
3. Immunohistochemical analysis of paraffin-embedded human placenta tissue using anti-Galectin 1 antibody. Counter stained with hematoxylin.
4. ICC staining Galectin 1 in A431 cells (green). The nuclear counter stain is DAPI (blue). Cells were fixed in paraformaldehyde, permeabilised with 0.25% Triton X100/PBS.
5. Flow cytometric analysis of NIH-3T3 cells with Galectin 1 antibody at 1/100 dilution (red) compared with an unlabelled control (cells without incubation with primary antibody; black).
verifiedActivityverifiedActivityverifiedActivityverifiedActivityverifiedActivity
应用FCMICC/IFIHCIPWB
推荐剂量
WB: 1:500-1000; IHC: 1:400-800; ICC/IF: 1:50-200; IP: 1:10-50; FCM: 1:50-100
抗体种类
Monoclonal
宿主来源Rabbit
构建方式Recombinant Antibody
纯化方式ProA affinity purified
性状Liquid
缓冲液1*TBS (pH7.4), 1%BSA, 40%Glycerol. Preservative: 0.05% Sodium Azide.
研究背景Galectins are a family of soluble b-galactoside-binding animal lectins that modulate cell-to-cell adhesion and cell-to-extracellular matrix (ECM) interactions and play a role in tumor progression, pre-mRNA splicing and apoptosis. Specifically, Galectin-1 is an autocrine regulator of cell-proliferation that plays a role in the maintenance of G0 and in the control of G2 traverse. Galectin-1, also known as LGALS1, is the protein product of a single gene linked to human chromosome 22q13.1. The Galectin-1 protein contains 135 amino acids, a single internal EcoRI site and a polyadenylation signal. Galectin-1 can localize to both intracellular and extracellular space. Galectin-1 is expressed in human placenta, human lung, HL-6, HepG2 and CEM cells.
偶联与修饰
偶联
Unconjugated
抗原信息
免疫原
Recombinant Protein
Uniprot ID
储存&溶解度
储存方式Store at -20°C or -80°C for 12 months. Avoid repeated freeze-thaw cycles.
运输方式Shipping with blue ice.

计算器

  • 稀释 计算器
  • 配液 计算器
Related Tags: buy Anti-LGALS1 Antibody (2V443) | purchase Anti-LGALS1 Antibody (2V443) | Anti-LGALS1 Antibody (2V443) cost | order Anti-LGALS1 Antibody (2V443)