购物车
  • 全部删除
  • TargetMol
    您的购物车当前为空

Anti-GPI Antibody (6K139)

Rating icon 还可以
产品编号 TMAC-01673

Anti-GPI Antibody (6K139) 是一种 Rabbit 抗体,靶向 GPI。Anti-GPI Antibody (6K139) 可用于 FCM,ICC,IF,IHC,WB。

Anti-GPI Antibody (6K139)

Anti-GPI Antibody (6K139)

一键复制产品信息
Rating icon 还可以
产品编号 TMAC-01673

Anti-GPI Antibody (6K139) 是一种 Rabbit 抗体,靶向 GPI。Anti-GPI Antibody (6K139) 可用于 FCM,ICC,IF,IHC,WB。

规格价格库存数量
50 μL
¥ 1,490
5日内发货
100 μL
¥ 2,480
5日内发货
大包装 & 定制
加入购物车
TargetMol 的所有产品仅用作科学研究或药证申报,不能被用于人体,我们不向个人提供产品和服务。请您遵守承诺用途,不得违反法律法规规定用于任何其他用途。
实验操作小课堂
常见问题解答
查看更多
联系我们获取更多批次信息
资源下载

产品介绍

生物活性
产品描述
Anti-GPI Antibody (6K139) is a Rabbit antibody targeting GPI. Anti-GPI Antibody (6K139) can be used in FCM,ICC,IF,IHC,WB.
Ig Type
IgG
克隆号
6K139
交叉反应
Human
验证活性
1. Western blot analysis of Glucose 6 phosphate isomerase on A549 and HepG2 cells lysates using anti-Glucose 6 phosphate isomerase antibody at 1/1,000 dilution.
2. Immunohistochemical analysis of paraffin-embedded human prostate tissue using anti-Glucose 6 phosphate isomerase antibody. Counter stained with hematoxylin.
3. Immunohistochemical analysis of paraffin-embedded human kidney tissue using anti-Glucose 6 phosphate isomerase antibody. Counter stained with hematoxylin.
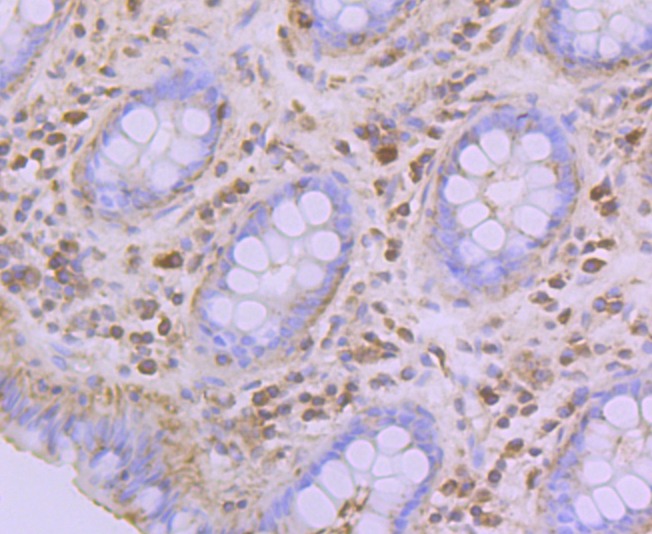
4. Immunohistochemical analysis of paraffin-embedded human colon tissue using anti-Glucose 6 phosphate isomerase antibody. Counter stained with hematoxylin.
5. ICC staining Glucose 6 phosphate isomerase in MCF-7 cells (green). The nuclear counter stain is DAPI (blue). Cells were fixed in paraformaldehyde, permeabilised with 0.25% Triton X100/PBS.
6. ICC staining Glucose 6 phosphate isomerase in LO2 cells (green). The nuclear counter stain is DAPI (blue). Cells were fixed in paraformaldehyde, permeabilised with 0.25% Triton X100/PBS.
7. Flow cytometric analysis of A549 cells with Glucose 6 phosphate isomerase antibody at 1/100 dilution (purple) compared with an unlabelled control (cells without incubation with primary antibody; yellow).Alexa Fluor 488-conjugated goat anti-rabbit IgG was used as the secondary antibody.
verifiedActivityverifiedActivityverifiedActivityverifiedActivityverifiedActivityverifiedActivityverifiedActivity
应用FCMICCIFIHCWB
推荐剂量
WB: 1:500-1000; IHC: 1:50-200; ICC: 1:50-200; FCM: 1:50-100
抗体种类
Monoclonal
宿主来源Rabbit
构建方式Recombinant Antibody
纯化方式ProA affinity purified
性状Liquid
缓冲液1*TBS (pH7.4), 1%BSA, 40%Glycerol. Preservative: 0.05% Sodium Azide.
研究背景Glucose-6-phosphate isomerase (GPI) has many other names, including Phosphohexose isomerase (PHI), Neuroleukin (NLK) and Spermantigen-36 (SA-36). GPI is a cytoplasmic homodimer belonging to the GPI family. It is a neurotrophic factor for spinal and sensory neurons and is involved in glycolysis and gluconeogenesis. Defects or mutations in GPI can cause hereditary nonspherocytic hemolytic anemia (HA), hydrops fetalis, immediate neonatal death and neurological impairment.
偶联与修饰
偶联
Unconjugated
抗原信息
免疫原
Recombinant Protein: human Glucose 6 phosphate isomerase 300-500aa
抗原种属
human
Uniprot ID
化学信息
分子量Theoretical: 63 kDa.
存储&运输
储存方式Store at -20°C or -80°C for 12 months. Avoid repeated freeze-thaw cycles.
运输方式Shipping with blue ice.

计算器

  • 稀释 计算器

关键词

评论列表

4个月前
5.0
Rating icon 很棒

评论内容

Related Tags: buy Anti-GPI Antibody (6K139) | purchase Anti-GPI Antibody (6K139) | Anti-GPI Antibody (6K139) cost | order Anti-GPI Antibody (6K139) | Anti-GPI Antibody (6K139) molecular weight