购物车
  • TargetMol
    您的购物车当前为空

Anti-ETS1 Antibody (8Q20)

Synonyms: V-ets Erythroblastosis Virus E26 Oncogene Homolog 1 (Avian), Protein C-ets-1, Isoform CRA_a, hCG_1732038, ETS1 Protein, ETS1
货号 TMAC-01401 一键复制产品信息
Rating icon 还可以

Anti-ETS1 Antibody (8Q20) 是一种 Rabbit 抗体,靶向 ETS1。Anti-ETS1 Antibody (8Q20) 可用于 FCM,IHC,WB。

Anti-ETS1 Antibody (8Q20)

一键复制产品信息
Rating icon 还可以
货号 TMAC-01401

别名 V-ets Erythroblastosis Virus E26 Oncogene Homolog 1 (Avian), Protein C-ets-1, Isoform CRA_a, hCG_1732038, ETS1 Protein, ETS1

Anti-ETS1 Antibody (8Q20) 是一种 Rabbit 抗体,靶向 ETS1。Anti-ETS1 Antibody (8Q20) 可用于 FCM,IHC,WB。

Anti-ETS1 Antibody (8Q20)
规格价格库存数量
50 μL
¥ 1,490
5日内发货
100 μL
¥ 2,480
5日内发货
库存状态实时更新,以官网显示为准,现货产品可直接加购物车下单
大包装 & 定制
加入购物车
TargetMol的所有产品仅用作科学研究或药证申报,不能被用于人体,我们不向个人提供产品和服务。请您遵守承诺用途,不得违反法律法规规定用于任何其他用途。
实验操作小课堂
常见问题解答
查看更多

资源下载:产品操作手册

产品介绍


生物活性
产品描述
Anti-ETS1 Antibody (8Q20) is a Rabbit antibody targeting ETS1. Anti-ETS1 Antibody (8Q20) can be used in FCM,IHC,WB.
别名V-ets Erythroblastosis Virus E26 Oncogene Homolog 1 (Avian), Protein C-ets-1, Isoform CRA_a, hCG_1732038, ETS1 Protein, ETS1
Ig Type
IgG
克隆号
8Q20
反应种属
Human,Mouse
验证活性
1. Western blot analysis of ETS1 on different cell using anti-ETS1 antibody at 1/1,000 dilution. Positive control: Line1: Jurkat, Line2: K562, Line3: HepG2.
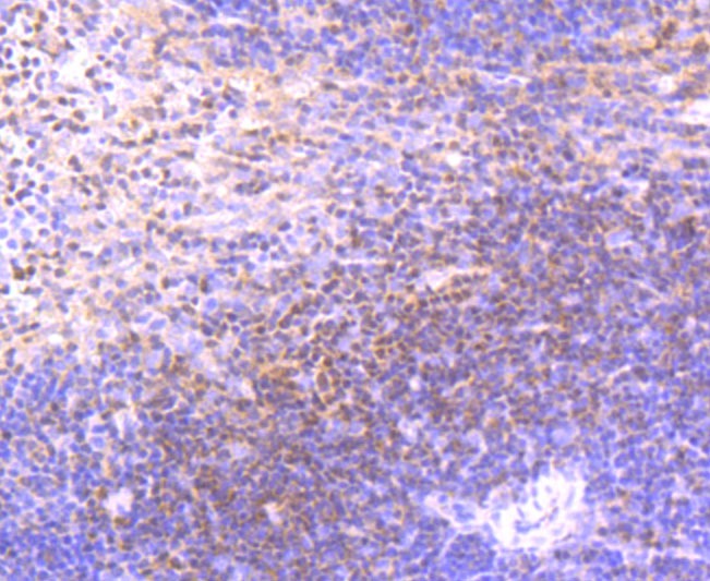
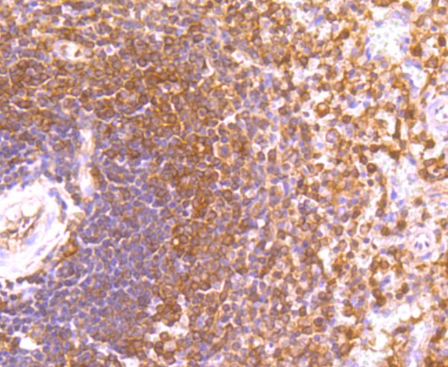
2. Immunohistochemical analysis of paraffin-embedded human tonsil tissue using anti-ETS1 antibody. Counter stained with hematoxylin.
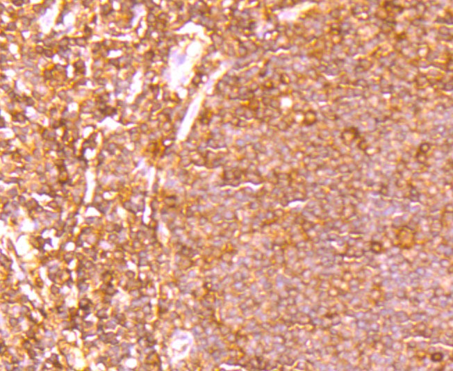
3. Immunohistochemical analysis of paraffin-embedded human spleen tissue using anti-ETS1 antibody. Counter stained with hematoxylin.
4. Immunohistochemical analysis of paraffin-embedded mouse spleen tissue using anti-ETS1 antibody. Counter stained with hematoxylin.
5. Flow cytometric analysis of Jurkat cells with ETS1 antibody at 1/100 dilution (red) compared with an unlabelled control (cells without incubation with primary antibody; black).
verifiedActivityverifiedActivityverifiedActivityverifiedActivityverifiedActivity
应用FCMIHCWB
推荐剂量
WB: 1:500-2000; IHC: 1:50-200; FCM: 1:50-100
抗体种类
Monoclonal
宿主来源Rabbit
构建方式Recombinant Antibody
纯化方式ProA affinity purified
性状Liquid
缓冲液1*TBS (pH7.4), 1%BSA, 40%Glycerol. Preservative: 0.05% Sodium Azide.
研究背景Ets-1 is the prototype member of a family of genes identified on the basis of homology to the v-Ets oncogene isolated from the E26 erythroblastosis virus. This family of genes currently includes Ets-1, Ets-2, Erg-1-3, Elk-1, Elf-1, Elf-5, NERF, PU.1, PEA3, ERM, FEV, ER8l, Fli-1, TEL, Spi-B, ESE-1, ESE-3A, Net, ABT1 and ERF. Members of the Ets gene family exhibit varied patterns of tissue expression, and share a highly conserved carboxy terminal domain containing a sequence related to the SV40 large T antigen nuclear localization signal sequence. This conserved domain is essential for Ets-1 binding to DNA and is likely to be responsible for the DNA binding activity of all members of the Ets gene family. Several of these proteins have been shown to recognize similar motifs in DNA that share a centrally located 5'-GGAA-3' element. Evidence indicates that the DNA binding activity by Ets-1 is regulated at the level of phosphorylation.
偶联与修饰
偶联
Unconjugated
抗原信息
免疫原
Recombinant Protein
Uniprot ID
化学信息
分子量Theoretical: 50 kDa.
储存&溶解度
储存方式Store at -20°C or -80°C for 12 months. Avoid repeated freeze-thaw cycles.
运输方式Shipping with blue ice.

计算器

  • 稀释 计算器
  • 配液 计算器

关键词

Related Tags: buy Anti-ETS1 Antibody (8Q20) | purchase Anti-ETS1 Antibody (8Q20) | Anti-ETS1 Antibody (8Q20) cost | order Anti-ETS1 Antibody (8Q20) | Anti-ETS1 Antibody (8Q20) molecular weight