购物车
  • TargetMol
    您的购物车当前为空

Anti-CDK7 Antibody (3Y405)

Synonyms: TFIIH basal transcription factor complex kinase subunit, STK1, Serine/threonine-protein kinase 1, MO15, Cyclin-dependent kinase 7, Cell division protein kinase 7, CDKN7, CDK-activating kinase 1, CDK7, CAK1, CAK, 39 kDa protein kinase (p39 Mo15)
货号 TMAC-00801 一键复制产品信息
Rating icon 还可以
202603开学季活动

Anti-CDK7 Antibody (3Y405) 是一种 Rabbit 抗体,靶向 CDK7。Anti-CDK7 Antibody (3Y405) 可用于 FCM,ICC/IF,IHC,WB。

Anti-CDK7 Antibody (3Y405)

一键复制产品信息
Rating icon 还可以
202603开学季活动
货号 TMAC-00801

别名 TFIIH basal transcription factor complex kinase subunit, STK1, Serine/threonine-protein kinase 1, MO15, Cyclin-dependent kinase 7, Cell division protein kinase 7, CDKN7, CDK-activating kinase 1, CDK7, CAK1, CAK, 39 kDa protein kinase (p39 Mo15)

Anti-CDK7 Antibody (3Y405) 是一种 Rabbit 抗体,靶向 CDK7。Anti-CDK7 Antibody (3Y405) 可用于 FCM,ICC/IF,IHC,WB。

Anti-CDK7 Antibody (3Y405)
规格价格库存数量
50 μL
¥ 1,495
5日内发货
100 μL
¥ 2,485
5日内发货
库存状态实时更新,以官网显示为准,现货产品可直接加购物车下单
大包装 & 定制
加入购物车

TargetMol的所有产品仅用作科学研究或药证申报,不能被用于人体,我们不向个人提供产品和服务。请您遵守承诺用途,不得违反法律法规规定用于任何其他用途。

实验操作小课堂
常见问题解答
查看更多

资源下载:产品操作手册

产品介绍


生物活性
产品描述
Anti-CDK7 Antibody (3Y405) is a Rabbit antibody targeting CDK7. Anti-CDK7 Antibody (3Y405) can be used in FCM,ICC/IF,IHC,WB.
别名
TFIIH basal transcription factor complex kinase subunit, STK1, Serine/threonine-protein kinase 1, MO15, Cyclin-dependent kinase 7, Cell division protein kinase 7, CDKN7, CDK-activating kinase 1, CDK7, CAK1, CAK, 39 kDa protein kinase (p39 Mo15)
Ig Type
IgG
克隆号
3Y405
反应种属
Human
验证活性
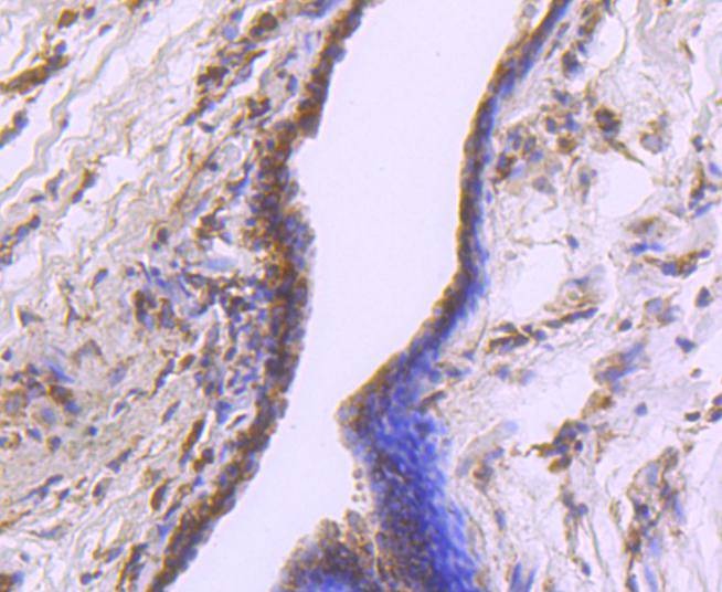
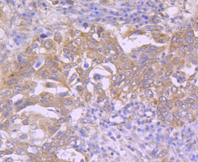
1. Immunohistochemical analysis of paraffin-embedded human breast carcinoma tissue using anti-Cdk7 antibody. Counter stained with hematoxylin.
2. Immunohistochemical analysis of paraffin-embedded human lung cancer tissue using anti-Cdk7 antibody. Counter stained with hematoxylin.
3. ICC staining Cdk7 in A431 cells (green). The nuclear counter stain is DAPI (blue). Cells were fixed in paraformaldehyde, permeabilised with 0.25% Triton X100/PBS.
4. ICC staining Cdk7 in Hela cells (green). The nuclear counter stain is DAPI (blue). Cells were fixed in paraformaldehyde, permeabilised with 0.25% Triton X100/PBS.
5. ICC staining Cdk7 in HepG2 cells (green). The nuclear counter stain is DAPI (blue). Cells were fixed in paraformaldehyde, permeabilised with 0.25% Triton X100/PBS.
6. ICC staining Cdk7 in 293 cells (green). The nuclear counter stain is DAPI (blue). Cells were fixed in paraformaldehyde, permeabilised with 0.25% Triton X100/PBS.
7. Flow cytometric analysis of A431 cells with Cdk7 antibody at 1/50 dilution (red) compared with an unlabelled control (cells without incubation with primary antibody; black). Alexa Fluor 488-conjugated goat anti rabbit IgG was used as the secondary antibody.
verifiedActivityverifiedActivityverifiedActivityverifiedActivityverifiedActivityverifiedActivityverifiedActivity
应用FCMICC/IFIHCWB
推荐剂量
WB: 1:1000; IHC: 1:50-200; ICC/IF: 1:100-500; FCM: 1:50-100
抗体种类
Monoclonal
宿主来源Rabbit
构建方式Recombinant Antibody
纯化方式ProA affinity purified
性状Liquid
缓冲液1*TBS (pH7.4), 1%BSA, 40%Glycerol. Preservative: 0.05% Sodium Azide.
研究背景Progression through the cell cycle requires activation of a series of enzymes designated cyclin dependent kinases (Cdks). The monomeric catalytic subunit Cdk2, a critical enzyme for initiation of cell cycle progression, is completely inactive. Partial activation is achieved by the binding of regulatory cyclins such as cyclin D1, while full activation requires additional phosphorylation at Thr 160. The enzyme responsible for the phosphorylation of Cdk2 on Thr 160 and also of Cdc2 p34 on Thr 161, designated Cdk-activating kinase (CAK), has been partially purified and shown to be comprised of a catalytic subunit and a regulatory subunit. The catalytic subunit, designated Cdk7, has been identified as the mammalian homolog of MO15, a protein kinase demonstrated in starfish and Xenopus. The regulatory subunit is a novel cyclin (cyclin H) and is required for activation of Cdk7. Like other Cdks, Cdk7 contains a conserved threonine residue required for full activity; mutation of this residue severely reduces CAK activity.
偶联与修饰
偶联
Unconjugated
抗原信息
免疫原
Recombinant Protein
Uniprot ID
化学信息
分子量Theoretical: 39 kDa.
储存&溶解度
储存方式Store at -20°C or -80°C for 12 months. Avoid repeated freeze-thaw cycles.
运输方式Shipping with blue ice.

计算器

  • 稀释 计算器
  • 配液 计算器
Related Tags: buy Anti-CDK7 Antibody (3Y405) | purchase Anti-CDK7 Antibody (3Y405) | Anti-CDK7 Antibody (3Y405) cost | order Anti-CDK7 Antibody (3Y405) | Anti-CDK7 Antibody (3Y405) molecular weight