购物车
  • TargetMol
    您的购物车当前为空

Anti-CD44 Antibody (7A260)

Synonyms: Pgp1, MIC4, MDU3, MDU2, MC56, LHR, IN, HUTCH-I, HCELL, ECMR-III, CSPG8, CDW44, CD44 molecule (Indian blood group)
货号 TMAC-00715 一键复制产品信息
Rating icon 还可以

Anti-CD44 Antibody (7A260) 是一种 Mouse 抗体,靶向 CD44。Anti-CD44 Antibody (7A260) 可用于 FCM,IHC,WB。

Anti-CD44 Antibody (7A260)

一键复制产品信息
Rating icon 还可以
货号 TMAC-00715

别名 Pgp1, MIC4, MDU3, MDU2, MC56, LHR, IN, HUTCH-I, HCELL, ECMR-III, CSPG8, CDW44, CD44 molecule (Indian blood group)

Anti-CD44 Antibody (7A260) 是一种 Mouse 抗体,靶向 CD44。Anti-CD44 Antibody (7A260) 可用于 FCM,IHC,WB。

Anti-CD44 Antibody (7A260)
规格价格库存数量
50 μL
¥ 1,995
5日内发货
100 μL
¥ 2,995
5日内发货
库存状态实时更新,以官网显示为准,现货产品可直接加购物车下单
大包装 & 定制
加入购物车

TargetMol的所有产品仅用作科学研究或药证申报,不能被用于人体,我们不向个人提供产品和服务。请您遵守承诺用途,不得违反法律法规规定用于任何其他用途。

实验操作小课堂
常见问题解答
查看更多

资源下载:产品操作手册

产品介绍


生物活性
产品描述
Anti-CD44 Antibody (7A260) is a Mouse antibody targeting CD44. Anti-CD44 Antibody (7A260) can be used in FCM,IHC,WB.
别名
Pgp1, MIC4, MDU3, MDU2, MC56, LHR, IN, HUTCH-I, HCELL, ECMR-III, CSPG8, CDW44, CD44 molecule (Indian blood group)
克隆号
7A260
反应种属
Human
验证活性
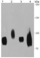
1. Western blot analysis of CD44 on different cell lysates using anti- CD44 antibody at 1/500 dilution. Positive control: Line1: HUVEC, Line2: HL-60, Line3: Hela, Line4: SKOV3.
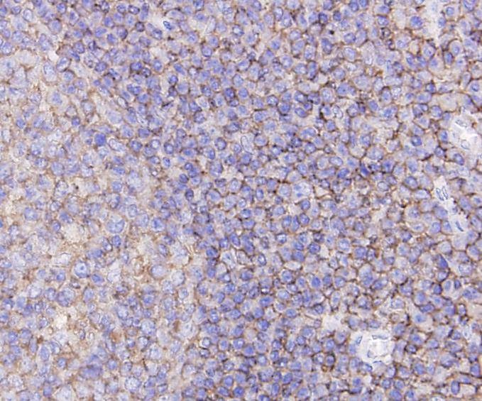
2. Immunohistochemical analysis of paraffin-embedded human tonsil tissue using anti-CD44 antibody. Counter stained with hematoxylin.
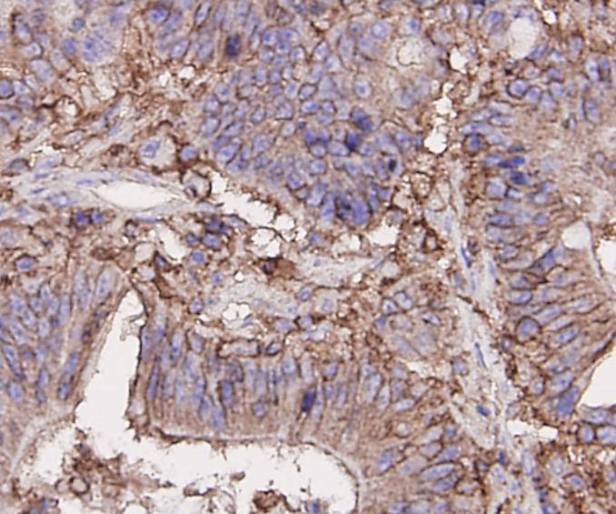
3. Immunohistochemical analysis of paraffin-embedded human colon carcinoma tissue using anti-CD44 antibody. Counter stained with hematoxylin.
4. Flow cytometric analysis of Hela cells with CD44 antibody at 1/100 dilution (blue) compared with an unlabelled control (cells without incubation with primary antibody; red). Goat anti mouse IgG (FITC) was used as the secondary antibody.
verifiedActivityverifiedActivityverifiedActivityverifiedActivity
应用FCMIHCWB
推荐剂量
WB: 1:500-1000; IHC: 1:200; FCM: 1:100-200
抗体种类
Monoclonal
宿主来源Mouse
构建方式Hybridoma Monoclonal Antibody
纯化方式Peptide affinity purified
性状Liquid
缓冲液1*TBS (pH7.4), 1%BSA, 40%Glycerol. Preservative: 0.05% Sodium Azide.
研究背景CD44 is a cell-surface glycoprotein postulated to play a role in a variety of biological processes, including lymphocyte homing and tumor-cell metastasis. It mediates cell-cell and cell-matrix interactions through its affinity for hyaluronic acid (HA), and possibly also through its affinity for other ligands such as osteopontin, collagens, and matrix metalloproteinases (MMPs). Adhesion with HA plays an important role in cell migration, tumor growth and progression. CD44 is highly polymorphic, possesses a number of alternative splice variants and undergoes extensive post-translational modifications.
偶联与修饰
偶联
Unconjugated
抗原信息
免疫原
Peptide
Uniprot ID
化学信息
分子量Theoretical: 80 kDa.
储存&溶解度
储存方式Store at -20°C or -80°C for 12 months. Avoid repeated freeze-thaw cycles.
运输方式Shipping with blue ice.

计算器

  • 稀释 计算器
  • 配液 计算器
Related Tags: buy Anti-CD44 Antibody (7A260) | purchase Anti-CD44 Antibody (7A260) | Anti-CD44 Antibody (7A260) cost | order Anti-CD44 Antibody (7A260) | Anti-CD44 Antibody (7A260) molecular weight