购物车
  • 全部删除
  • TargetMol
    您的购物车当前为空

Anti-CD27/TNFRSF7 Antibody (8H198)

Rating icon 还可以
产品编号 TMAC-00687
别名 Tp55, TNFRSF7, T14, S152.LPFS2, S152. LPFS2, S152, CD27 molecule

Anti-CD27/TNFRSF7 Antibody (8H198) 是一种 Rabbit 抗体,靶向 CD27/TNFRSF7。Anti-CD27/TNFRSF7 Antibody (8H198) 可用于 FCM,ICC,IHC,WB。

Anti-CD27/TNFRSF7 Antibody (8H198)

Anti-CD27/TNFRSF7 Antibody (8H198)

一键复制产品信息
Rating icon 还可以
产品编号 TMAC-00687 别名 Tp55, TNFRSF7, T14, S152.LPFS2, S152. LPFS2, S152, CD27 molecule

Anti-CD27/TNFRSF7 Antibody (8H198) 是一种 Rabbit 抗体,靶向 CD27/TNFRSF7。Anti-CD27/TNFRSF7 Antibody (8H198) 可用于 FCM,ICC,IHC,WB。

规格价格库存数量
50 μL
¥ 1,495
5日内发货
100 μL
¥ 2,485
5日内发货
大包装 & 定制
加入购物车
TargetMol 的所有产品仅用作科学研究或药证申报,不能被用于人体,我们不向个人提供产品和服务。请您遵守承诺用途,不得违反法律法规规定用于任何其他用途。
实验操作小课堂
常见问题解答
查看更多
联系我们获取更多批次信息
资源下载

产品介绍

生物活性
产品描述
Anti-CD27/TNFRSF7 Antibody (8H198) is a Rabbit antibody targeting CD27/TNFRSF7. Anti-CD27/TNFRSF7 Antibody (8H198) can be used in FCM,ICC,IHC,WB.
别名Tp55, TNFRSF7, T14, S152.LPFS2, S152. LPFS2, S152, CD27 molecule
Ig Type
IgG
克隆号
8H198
交叉反应
Human,Rat
验证活性
1. Western blot analysis of CD27 on Raji cell using anti-CD27 antibody at 1/500 dilution.
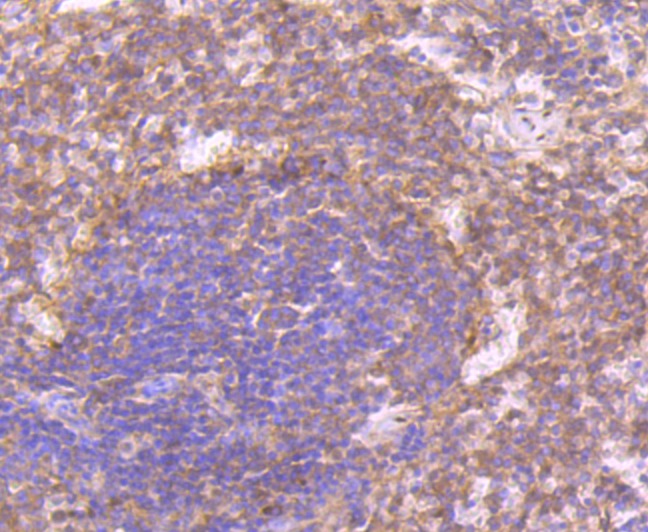
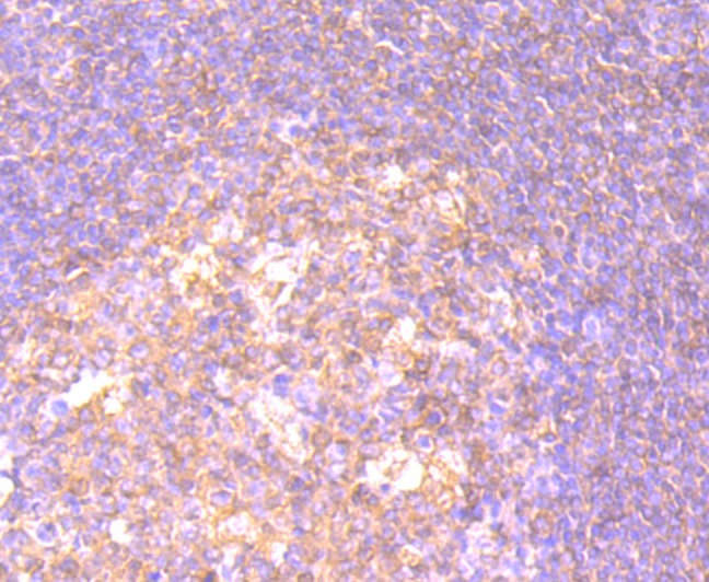
2. Immunohistochemical analysis of paraffin-embedded human tonsil tissue using anti-CD27 antibody. Counter stained with hematoxylin.
3. Immunohistochemical analysis of paraffin-embedded rat spleen tissue using anti-CD27 antibody. Counter stained with hematoxylin.
4. ICC staining CD27 in K562 cells (green). The nuclear counter stain is DAPI (blue). Cells were fixed in paraformaldehyde, permeabilised with 0.25% Triton X100/PBS.
5. Flow cytometric analysis of Daudi cells with CD27 antibody at 1/100 dilution (red) compared with an unlabelled control (cells without incubation with primary antibody; black). Alexa Fluor 488-conjugated goat anti rabbit IgG was used as the secondary antibody.
verifiedActivityverifiedActivityverifiedActivityverifiedActivityverifiedActivity
应用FCMICCIHCWB
推荐剂量
WB: 1:500-1000; IHC: 1:50-200; ICC: 1:50-200; FCM: 1:50-100
抗体种类
Monoclonal
宿主来源Rabbit
构建方式Recombinant Antibody
纯化方式ProA affinity purified
性状Liquid
缓冲液1*TBS (pH7.4), 1%BSA, 40%Glycerol. Preservative: 0.05% Sodium Azide.
研究背景The tumor necrosis factor (TNF) receptor family is composed of several type I integral membrane glycoproteins that exhibit homology in their cysteine-rich extracellular domains. Members of this family include FAS, OX40, CD27 and CD30. Ligands for these receptors are often type II transmembrane glycoproteins, as is the case for CD27 and CD30. CD27 is a homodimeric lymphocyte-specific surface antigen present on T and B lymphocytes. Activation of the CD3 complex via the T cell receptor for antigen leads to an increase in CD27 expression. Together, CD27 and its ligand, CD27L, generate co-stimulatory signals required for complete T cell activation. CD30 is a surface marker for neoplastic cells of the Hodgkin's lymphoma and related hematologic malignancies. CD30L has been shown to enhance the proliferation of the Hodgkin's cell line HDLM-2, but exerts antiproliferative effects on large cell anaplastic lymphoma cell lines.
偶联与修饰
偶联
Unconjugated
抗原信息
免疫原
Intracellular domain corresponding to Human CD27
抗原种属
human
Uniprot ID
化学信息
分子量Theoretical: 29 kDa.
存储&运输
储存方式Store at -20°C or -80°C for 12 months. Avoid repeated freeze-thaw cycles.
运输方式Shipping with blue ice.

计算器

  • 稀释 计算器

关键词

评论列表

4个月前
5.0
Rating icon 很棒

评论内容

Related Tags: buy Anti-CD27/TNFRSF7 Antibody (8H198) | purchase Anti-CD27/TNFRSF7 Antibody (8H198) | Anti-CD27/TNFRSF7 Antibody (8H198) cost | order Anti-CD27/TNFRSF7 Antibody (8H198) | Anti-CD27/TNFRSF7 Antibody (8H198) molecular weight