购物车
  • TargetMol
    您的购物车当前为空

Anti-Argonaute-2 Antibody (1L369)

Synonyms: Q10, EIF2C2, argonaute RISC catalytic component 2, Argonaute 2
货号 TMAC-00265 一键复制产品信息
Rating icon 还可以

Anti-Argonaute-2 Antibody (1L369) 是一种 Rabbit 抗体,靶向 Argonaute-2。Anti-Argonaute-2 Antibody (1L369) 可用于 FCM,ICC/IF,IHC,IP,WB。

Anti-Argonaute-2 Antibody (1L369)

一键复制产品信息
Rating icon 还可以
货号 TMAC-00265

别名 Q10, EIF2C2, argonaute RISC catalytic component 2, Argonaute 2

Anti-Argonaute-2 Antibody (1L369) 是一种 Rabbit 抗体,靶向 Argonaute-2。Anti-Argonaute-2 Antibody (1L369) 可用于 FCM,ICC/IF,IHC,IP,WB。

Anti-Argonaute-2 Antibody (1L369)
规格价格库存数量
50 μL
¥ 1,490
5日内发货
100 μL
¥ 2,485
5日内发货
库存状态实时更新,以官网显示为准,现货产品可直接加购物车下单
大包装 & 定制
加入购物车

TargetMol的所有产品仅用作科学研究或药证申报,不能被用于人体,我们不向个人提供产品和服务。请您遵守承诺用途,不得违反法律法规规定用于任何其他用途。

实验操作小课堂
常见问题解答
查看更多

资源下载:产品操作手册

产品介绍


生物活性
产品描述
Anti-Argonaute-2 Antibody (1L369) is a Rabbit antibody targeting Argonaute-2. Anti-Argonaute-2 Antibody (1L369) can be used in FCM,ICC/IF,IHC,IP,WB.
别名
Q10, EIF2C2, argonaute RISC catalytic component 2, Argonaute 2
Ig Type
IgG
克隆号
1L369
反应种属
Human,Mouse,Rat
验证活性
1. Western blot analysis of Argonaute 2 on different lysates using anti-Argonaute 2 antibody at 1/1,000 dilution. Positive control: Lane 1: Hela, Lane 2: MCF-7.
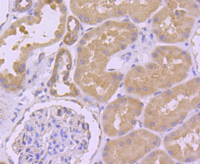
2. Immunohistochemical analysis of paraffin-embedded mouse kidney tissue using anti-Argonaute 2 antibody. Counter stained with hematoxylin.
3. Immunohistochemical analysis of paraffin-embedded mouse stomach tissue using anti-Argonaute 2 antibody. Counter stained with hematoxylin.
4. Immunohistochemical analysis of paraffin-embedded human kidney tissue using anti-Argonaute 2 antibody. Counter stained with hematoxylin.
5. ICC staining Argonaute 2 in Hela cells (red). The nuclear counter stain is DAPI (blue). Cells were fixed in paraformaldehyde, permeabilised with 0.25% Triton X100/PBS.
6. ICC staining Argonaute 2 in MCF-7 cells (red). The nuclear counter stain is DAPI (blue). Cells were fixed in paraformaldehyde, permeabilised with 0.25% Triton X100/PBS.
7. ICC staining Argonaute 2 in AGS cells (red). The nuclear counter stain is DAPI (blue). Cells were fixed in paraformaldehyde, permeabilised with 0.25% Triton X100/PBS.
8. Flow cytometric analysis of Hela cells with Argonaute 2 antibody at 1/50 dilution (red) compared with an unlabelled control (cells without incubation with primary antibody; black). Alexa Fluor 488-conjugated goat anti rabbit IgG was used as the secondary antibody.
verifiedActivityverifiedActivityverifiedActivityverifiedActivityverifiedActivityverifiedActivityverifiedActivityverifiedActivity
应用FCMICC/IFIHCIPWB
推荐剂量
WB: 1:1000-2000; IHC: 1:50-200; ICC/IF: 1:50-200; FCM: 1:50-100
抗体种类
Monoclonal
宿主来源Rabbit
构建方式Recombinant Antibody
纯化方式ProA affinity purified
性状Liquid
缓冲液1*TBS (pH7.4), 1%BSA, 40%Glycerol. Preservative: 0.05% Sodium Azide.
研究背景Eukaryotic translation initiation factor 2C (eIF2C) proteins (argonaute family) influence RNA interference (RNAi) as components of the RNA-inducible silencing complex (RISC) or microRNA (miRNA)-containing ribonucleoprotein particle (miRNP). Small RNAs, including small interfering RNAs (siRNAs) and miRNAs, can silence target genes through mechanisms that utilize RISC or miRNP particles. eIF2C1 (argonaute 1, AGO1, eIF2C, GERP95, Q99) and Dicer1 play a coordinated role in siRNA-mediated gene silencing. eIF2C2 (Slicer, argonaute 2, AGO2, Q10) is a RISC component that can concentrate in cytoplasmic processing bodies (P-bodies) and catalyze mRNA cleavage. Mammalian P-bodies contain mRNAs and have an association with miRNA-induced translational silencing and siRNA-induced mRNA degradation. Additional eIF2C proteins include eIF2C3 (argonaute 3, AGO3), eIF2C4 (argonaute 4, AGO4) and meIF2c5 (mouse argonaute 5).
偶联与修饰
偶联
Unconjugated
抗原信息
免疫原
Recombinant Protein
Uniprot ID
化学信息
分子量Theoretical: 97 kDa.
储存&溶解度
储存方式Store at -20°C or -80°C for 12 months. Avoid repeated freeze-thaw cycles.
运输方式Shipping with blue ice.

计算器

  • 稀释 计算器
  • 配液 计算器

关键词

Related Tags: buy Anti-Argonaute-2 Antibody (1L369) | purchase Anti-Argonaute-2 Antibody (1L369) | Anti-Argonaute-2 Antibody (1L369) cost | order Anti-Argonaute-2 Antibody (1L369) | Anti-Argonaute-2 Antibody (1L369) molecular weight