购物车
  • TargetMol
    您的购物车当前为空

Anti-ZAP70 Antibody (2J161)

Synonyms: ZAP70, Tyrosine-protein kinase ZAP-70, Syk-related tyrosine kinase, SRK, 70 kDa zeta-chain associated protein
货号 TMAC-04315Cas号 一键复制产品信息纯度:
Rating icon 还可以

Anti-ZAP70 Antibody (2J161) 是一种 Rabbit 抗体,靶向 ZAP70。Anti-ZAP70 Antibody (2J161) 可用于 FCM,ICC,IHC,IP,WB。

Anti-ZAP70 Antibody (2J161)

一键复制产品信息
Rating icon 还可以
货号 TMAC-04315

别名 ZAP70, Tyrosine-protein kinase ZAP-70, Syk-related tyrosine kinase, SRK, 70 kDa zeta-chain associated protein

Anti-ZAP70 Antibody (2J161) 是一种 Rabbit 抗体,靶向 ZAP70。Anti-ZAP70 Antibody (2J161) 可用于 FCM,ICC,IHC,IP,WB。

Anti-ZAP70 Antibody (2J161)
规格价格库存数量
50 μL
¥ 1,485
5日内发货
100 μL
¥ 2,495
5日内发货
库存状态实时更新,以官网显示为准,现货产品可直接加购物车下单
大包装 & 定制
加入购物车

TargetMol的所有产品仅用作科学研究或药证申报,不能被用于人体,我们不向个人提供产品和服务。请您遵守承诺用途,不得违反法律法规规定用于任何其他用途。

实验操作小课堂
常见问题解答
查看更多

资源下载:产品操作手册

产品介绍


生物活性
产品描述
Anti-ZAP70 Antibody (2J161) is a Rabbit antibody targeting ZAP70. Anti-ZAP70 Antibody (2J161) can be used in FCM,ICC,IHC,IP,WB.
别名
ZAP70, Tyrosine-protein kinase ZAP-70, Syk-related tyrosine kinase, SRK, 70 kDa zeta-chain associated protein
Ig Type
IgG
克隆号
2J161
反应种属
Human
验证活性
1. Western blot analysis of ZAP70 on human thymus tissue lysate using anti-ZAP70 antibody at 1/500 dilution.
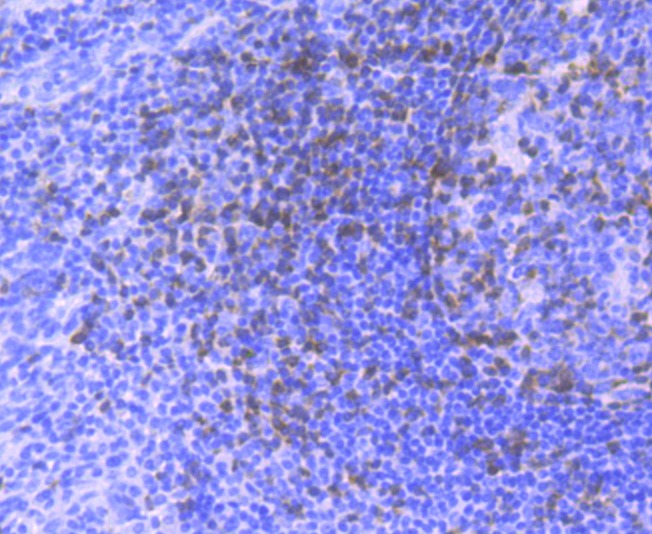
2. Immunohistochemical analysis of paraffin-embedded human tonsil tissue using anti-ZAP70 antibody. Counter stained with hematoxylin.
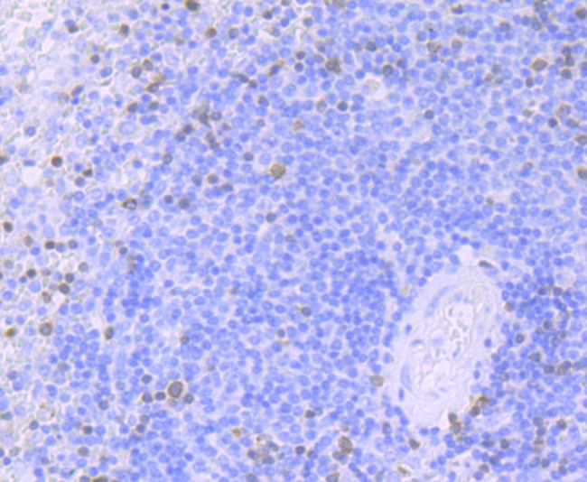
3. Immunohistochemical analysis of paraffin-embedded human spleen tissue using anti-ZAP70 antibody. Counter stained with hematoxylin.
4. ICC staining ZAP70 in LOVO cells (green). The nuclear counter stain is DAPI (blue). Cells were fixed in paraformaldehyde, permeabilised with 0.25% Triton X100/PBS.
5. ICC staining ZAP70 in SH-SY5Y cells (green). The nuclear counter stain is DAPI (blue). Cells were fixed in paraformaldehyde, permeabilised with 0.25% Triton X100/PBS.
6. Flow cytometric analysis of Jurkat cells with ZAP70 antibody at 1/100 dilution (red) compared with an unlabelled control (cells without incubation with primary antibody; black). Alexa Fluor® 488-conjugated goat anti-rabbit IgG was used as the secondary antibody.
verifiedActivityverifiedActivityverifiedActivityverifiedActivityverifiedActivityverifiedActivity
应用FCMICCIHCIPWB
推荐剂量
WB: 1:500-1000; IHC: 1:50-200; ICC: 1:50-200; IP: 1:10-50; FCM: 1:50-100
抗体种类
Monoclonal
宿主来源Rabbit
构建方式Recombinant Antibody
纯化方式ProA affinity purified
性状Liquid
缓冲液1*TBS (pH7.4), 1%BSA, 40%Glycerol. Preservative: 0.05% Sodium Azide.
研究背景The activation of T lymphocytes by antigens is mediated by the T cell receptor (TCR) which is a multisubunit complex assembled from at least six different genes. The TCR subunits include the Ti α and β chains, the CD3 γ, δ and e chains and a ζ-containing homodimer or heterodimer. The disulfide-linked Ti α-β heterodimer is responsible for antigen recognition, but the short 5 amino acid cytoplasmic domains of Ti α and β are unlikely to be sufficient to couple to intracellular signaling pathways. In contrast, the structured features of the CD3 and ζ subunits suggest a role in signal transduction. Of these, the ζ chain, which is expressed as either a homodimer or heterodimer, has a short extracellular domain of only 9 amino acids, but a larger 113 amino acid cytoplasmic domain. A tyrosine phosphoprotein, ZAP-70, has been identified that associates with z and undergoes tyrosine phosphorylation following TCR stimulation.
偶联与修饰
偶联
Unconjugated
抗原信息
免疫原
Recombinant Protein
Uniprot ID
化学信息
分子量Theoretical: 70 kDa.
储存&溶解度
储存方式Store at -20°C or -80°C for 12 months. Avoid repeated freeze-thaw cycles.
运输方式Shipping with blue ice.

计算器

  • 稀释 计算器
  • 配液 计算器
Related Tags: buy Anti-ZAP70 Antibody (2J161) | purchase Anti-ZAP70 Antibody (2J161) | Anti-ZAP70 Antibody (2J161) cost | order Anti-ZAP70 Antibody (2J161) | Anti-ZAP70 Antibody (2J161) molecular weight