购物车
  • TargetMol
    您的购物车当前为空

Anti-VCP Antibody (3I403)

Synonyms: VCP, Valosin-Containing Protein, Transitional Endoplasmic Reticulum ATPase, TER ATPase, 15S Mg(2+)-ATPase p97 Subunit
货号 TMAC-04229 一键复制产品信息
Rating icon 还可以

Anti-VCP Antibody (3I403) 是一种 Rabbit 抗体,靶向 VCP。Anti-VCP Antibody (3I403) 可用于 FCM,ICC/IF,IHC,IP,WB。

Anti-VCP Antibody (3I403)

一键复制产品信息
Rating icon 还可以
货号 TMAC-04229

别名 VCP, Valosin-Containing Protein, Transitional Endoplasmic Reticulum ATPase, TER ATPase, 15S Mg(2+)-ATPase p97 Subunit

Anti-VCP Antibody (3I403) 是一种 Rabbit 抗体,靶向 VCP。Anti-VCP Antibody (3I403) 可用于 FCM,ICC/IF,IHC,IP,WB。

Anti-VCP Antibody (3I403)
规格价格库存数量
50 μL
¥ 1,490
5日内发货
100 μL
¥ 2,490
5日内发货
库存状态实时更新,以官网显示为准,现货产品可直接加购物车下单
大包装 & 定制
加入购物车

TargetMol的所有产品仅用作科学研究或药证申报,不能被用于人体,我们不向个人提供产品和服务。请您遵守承诺用途,不得违反法律法规规定用于任何其他用途。

实验操作小课堂
常见问题解答
查看更多

资源下载:产品操作手册

产品介绍


生物活性
产品描述
Anti-VCP Antibody (3I403) is a Rabbit antibody targeting VCP. Anti-VCP Antibody (3I403) can be used in FCM,ICC/IF,IHC,IP,WB.
别名
VCP, Valosin-Containing Protein, Transitional Endoplasmic Reticulum ATPase, TER ATPase, 15S Mg(2+)-ATPase p97 Subunit
Ig Type
IgG
克隆号
3I403
反应种属
Human,Mouse,Rat,zebrafish
验证活性
1. Western blot analysis of VCP on different cells lysates using anti-VCP antibody at 1/500 dilution. Positive control: Line 1: SH-SY5Y, Line 2: HepG2, Line 3: Hela.
2. Western blot analysis of VCP on hybrid fish (crucian-carp) heart tissue lysate using anti-VCP antibody at 1/500 dilution.
3. Immunohistochemical analysis of paraffin-embedded zebrafish tissue using anti-VCP antibody. Counter stained with hematoxylin.
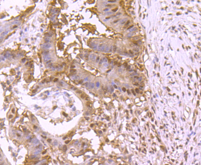
4. Immunohistochemical analysis of paraffin-embedded human colon cancer tissue using anti-VCP antibody. Counter stained with hematoxylin.
5. Immunohistochemical analysis of paraffin-embedded human breast cancer tissue using anti-VCP antibody. Counter stained with hematoxylin.
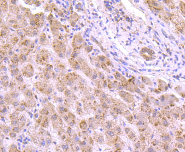
6. Immunohistochemical analysis of paraffin-embedded human liver tissue using anti-VCP antibody. Counter stained with hematoxylin.
7. Immunohistochemical analysis of paraffin-embedded mouse colon tissue using anti-VCP antibody. Counter stained with hematoxylin.
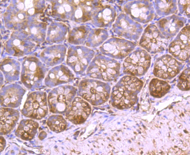
8. Immunohistochemical analysis of paraffin-embedded rat brain tissue using anti-VCP antibody. Counter stained with hematoxylin.
9. ICC staining VCP in A549 cells (red). The nuclear counter stain is DAPI (blue). Cells were fixed in paraformaldehyde, permeabilised with 0.25% Triton X100/PBS.
10. ICC staining VCP in Hela cells (red). The nuclear counter stain is DAPI (blue). Cells were fixed in paraformaldehyde, permeabilised with 0.25% Triton X100/PBS.
11. ICC staining VCP in SW480 cells (red). The nuclear counter stain is DAPI (blue). Cells were fixed in paraformaldehyde, permeabilised with 0.25% Triton X100/PBS.
12. Flow cytometric analysis of HL-60 cells with VCP antibody at 1/50 dilution (red) compared with an unlabelled control (cells without incubation with primary antibody; black). Alexa Fluor 488-conjugated goat anti rabbit IgG was used as the secondary antibody.
verifiedActivityverifiedActivityverifiedActivityverifiedActivityverifiedActivityverifiedActivityverifiedActivityverifiedActivityverifiedActivityverifiedActivityverifiedActivityverifiedActivity
应用FCMICC/IFIHCIPWB
推荐剂量
WB: 1:1000-5000; IHC: 1:50-200; ICC/IF: 1:50-200; FCM: 1:50-100
抗体种类
Monoclonal
宿主来源Rabbit
构建方式Recombinant Antibody
纯化方式ProA affinity purified
性状Liquid
缓冲液1*TBS (pH7.4), 1%BSA, 40%Glycerol. Preservative: 0.05% Sodium Azide.
研究背景Valosin containing protein (VCP), also designated TERA (for transitional endoplasmic reticulum ATPase) or p97, is a member of the AAA family of ATPases, which are involved in a variety of cellular activities. VCP is the mammalian homolog of Saccharomyces cerevisiae Cdc48, a protein essential for the completion of mitiosis in yeast. VCP is thought to be involved in a variety of membrane functions and in the regulation of the cell cycle. It associates with ubiquitinated IκB-α as well as with the 26S Proteosome, indicating a potential role for VCP in the proteosome-mediated degradation of IκB-α.
偶联与修饰
偶联
Unconjugated
抗原信息
免疫原
Recombinant Protein
Uniprot ID
化学信息
分子量Theoretical: 89 kDa.
储存&溶解度
储存方式Store at -20°C or -80°C for 12 months. Avoid repeated freeze-thaw cycles.
运输方式Shipping with blue ice.

计算器

  • 稀释 计算器
  • 配液 计算器
Related Tags: buy Anti-VCP Antibody (3I403) | purchase Anti-VCP Antibody (3I403) | Anti-VCP Antibody (3I403) cost | order Anti-VCP Antibody (3I403) | Anti-VCP Antibody (3I403) molecular weight