购物车
  • TargetMol
    您的购物车当前为空

Anti-USP7 Antibody (8N914)

Synonyms: ubiquitin specific peptidase 7 (herpes virus-associated), TEF1, HAUSP
货号 TMAC-04208Cas号 一键复制产品信息纯度:
Rating icon 还可以

Anti-USP7 Antibody (8N914) 是一种 Rabbit 抗体,靶向 USP7。Anti-USP7 Antibody (8N914) 可用于 FCM,IHC,WB。

Anti-USP7 Antibody (8N914)

一键复制产品信息
Rating icon 还可以
货号 TMAC-04208

别名 ubiquitin specific peptidase 7 (herpes virus-associated), TEF1, HAUSP

Anti-USP7 Antibody (8N914) 是一种 Rabbit 抗体,靶向 USP7。Anti-USP7 Antibody (8N914) 可用于 FCM,IHC,WB。

Anti-USP7 Antibody (8N914)
规格价格库存数量
50 μL
¥ 1,495
5日内发货
100 μL
¥ 2,490
5日内发货
库存状态实时更新,以官网显示为准,现货产品可直接加购物车下单
大包装 & 定制
加入购物车

TargetMol的所有产品仅用作科学研究或药证申报,不能被用于人体,我们不向个人提供产品和服务。请您遵守承诺用途,不得违反法律法规规定用于任何其他用途。

实验操作小课堂
常见问题解答
查看更多

资源下载:产品操作手册

产品介绍


生物活性
产品描述
Anti-USP7 Antibody (8N914) is a Rabbit antibody targeting USP7. Anti-USP7 Antibody (8N914) can be used in FCM,IHC,WB.
别名
ubiquitin specific peptidase 7 (herpes virus-associated), TEF1, HAUSP
Ig Type
IgG
克隆号
8N914
反应种属
Human,Mouse,Rat
验证活性
1. Western blot analysis of USP7 on 293T cell using anti-USP7 antibody at 1/500 dilution.
2. Immunohistochemical analysis of paraffin-embedded rat brain tissue using anti-USP7 antibody. Counter stained with hematoxylin.
3. Immunohistochemical analysis of paraffin-embedded human tonsil tissue using anti-USP7 antibody. Counter stained with hematoxylin.
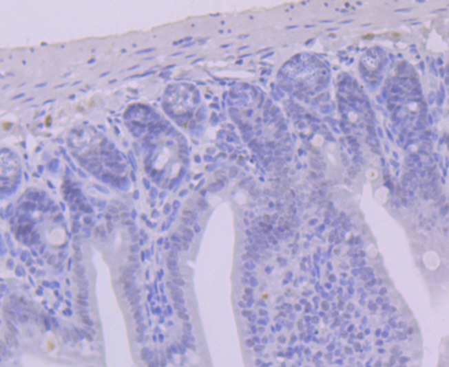
4. Immunohistochemical analysis of paraffin-embedded mouse colon tissue using anti-USP7 antibody. Counter stained with hematoxylin.
5. Flow cytometric analysis of PC-3M cells with USP7 antibody at 1/100 dilution (red) compared with an unlabelled control (cells without incubation with primary antibody; black). Alexa Fluor 488-conjugated goat anti-rabbit IgG was used as the secondary antibody.
verifiedActivityverifiedActivityverifiedActivityverifiedActivityverifiedActivity
应用FCMIHCWB
推荐剂量
WB: 1:500-1000; IHC: 1:50; FCM: 1:50-100
抗体种类
Monoclonal
宿主来源Rabbit
构建方式Recombinant Antibody
纯化方式ProA affinity purified
性状Liquid
缓冲液1*TBS (pH7.4), 1%BSA, 40%Glycerol. Preservative: 0.05% Sodium Azide.
研究背景HAUSP (herpesvirus-associated ubiquitin-specific protease, USP7) is a ubiquitin-specific protease. HAUSP localizes predominantly to the nucleus, in a TD-dependent manner, where it associates with ND10. ND10 are small nuclear structures implicated in a variety of cellular processes including response to stress and interferons, oncogenesis, and viral infection. HAUSP binds strongly to Vmw110, a herpesvirus regulatory protein which has the ability to disrupt ND10. HAUSP, a novel p53-interacting protein, functions to deubiquitinize p53 in an important pathway for p53 stabilization. HAUSP strongly stabilizes p53 even in the presence of excess Mdm2, and also induces p53-dependent cell growth repression and apoptosis. The HAUSP protein is distributed in the nucleus in a micropunctate pattern with a limited number of larger discrete foci, some of which co-localize with PML in ND10. The gene encoding HAUSP maps to human chromosome band 16p13.2.
偶联与修饰
偶联
Unconjugated
抗原信息
免疫原
Recombinant Protein: human USP7 aa 100-200
抗原种属
human
Uniprot ID
化学信息
分子量Theoretical: 128 kDa.
储存&溶解度
储存方式Store at -20°C or -80°C for 12 months. Avoid repeated freeze-thaw cycles.
运输方式Shipping with blue ice.

计算器

  • 稀释 计算器
  • 配液 计算器
Related Tags: buy Anti-USP7 Antibody (8N914) | purchase Anti-USP7 Antibody (8N914) | Anti-USP7 Antibody (8N914) cost | order Anti-USP7 Antibody (8N914) | Anti-USP7 Antibody (8N914) molecular weight