购物车
  • TargetMol
    您的购物车当前为空

Anti-TUBB3 Antibody (3P633)

Synonyms: Tubulin beta-III, Tubulin beta-4 chain, Tubulin beta-3 chain, TUBB4, TUBB3
货号 TMAB-01920 一键复制产品信息
Rating icon 还可以

Anti-TUBB3 Antibody (3P633) 是一种 Rabbit 抗体,靶向 TUBB3。Anti-TUBB3 Antibody (3P633) 可用于 FCM, ICC/IF, IF, IHC-Fr, IHC-P, WB。

Anti-TUBB3 Antibody (3P633)

一键复制产品信息
Rating icon 还可以
货号 TMAB-01920

别名 Tubulin beta-III, Tubulin beta-4 chain, Tubulin beta-3 chain, TUBB4, TUBB3

Anti-TUBB3 Antibody (3P633) 是一种 Rabbit 抗体,靶向 TUBB3。Anti-TUBB3 Antibody (3P633) 可用于 FCM, ICC/IF, IF, IHC-Fr, IHC-P, WB。

Anti-TUBB3 Antibody (3P633)
规格价格库存数量
25 μL
¥ 790
5日内发货
50 μL
¥ 1,385
5日内发货
100 μL
¥ 2,480
5日内发货
库存状态实时更新,以官网显示为准,现货产品可直接加购物车下单
大包装 & 定制
加入购物车

TargetMol的所有产品仅用作科学研究或药证申报,不能被用于人体,我们不向个人提供产品和服务。请您遵守承诺用途,不得违反法律法规规定用于任何其他用途。

实验操作小课堂
常见问题解答
查看更多

资源下载:产品操作手册

产品介绍


生物活性
产品描述
Anti-TUBB3 Antibody (3P633) is a Rabbit antibody targeting TUBB3. Anti-TUBB3 Antibody (3P633) can be used in FCM, ICC/IF, IF, IHC-Fr, IHC-P, WB.
别名
Tubulin beta-III, Tubulin beta-4 chain, Tubulin beta-3 chain, TUBB4, TUBB3
Ig Type
IgG
克隆号
3P633
反应种属
Human,Mouse,Rat
验证活性
1. 25 μg total protein per Lane of various lysates probed with Tubulin beta-III monoclonal antibody, unconjugated (TMAB-01920) at 1:5000 dilution and 4°C overnight incubation. Followed by conjugated secondary antibody incubation at RT for 60 min.
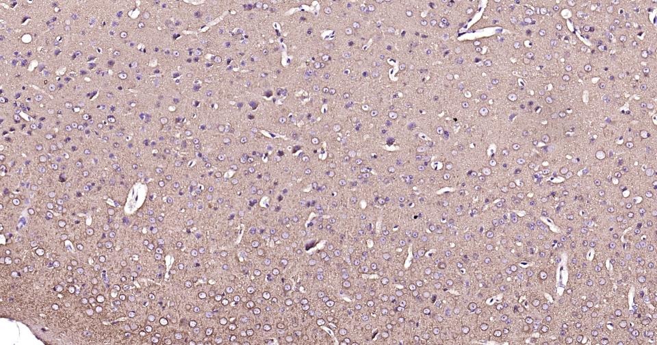
2. Paraformaldehyde-fixed, paraffin embedded Mouse Cerebrum; Antigen retrieval by boiling in sodium citrate buffer (pH6.0) for 15 min; Antibody incubation with Tubulin beta-III Monoclonal Antibody, Unconjugated (TMAB-01920) at 1:200 overnight at 4°C, followed by conjugation to the SP Kit (Rabbit) and DAB staining.
3. Paraformaldehyde-fixed, paraffin embedded Rat Cerebrum; Antigen retrieval by boiling in sodium citrate buffer (pH6.0) for 15 min; Antibody incubation with Tubulin beta-III Monoclonal Antibody, Unconjugated (TMAB-01920) at 1:200 overnight at 4°C, followed by conjugation to the SP Kit (Rabbit) and DAB staining.
4. Paraformaldehyde-fixed, paraffin embedded Human Cerebrum; Antigen retrieval by boiling in sodium citrate buffer (pH6.0) for 15 min; Antibody incubation with Tubulin beta-III Monoclonal Antibody, Unconjugated (TMAB-01920) at 1:200 overnight at 4°C, followed by conjugation to the SP Kit (Rabbit) and DAB staining.
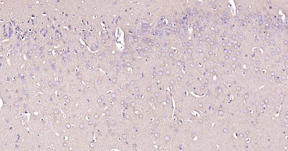
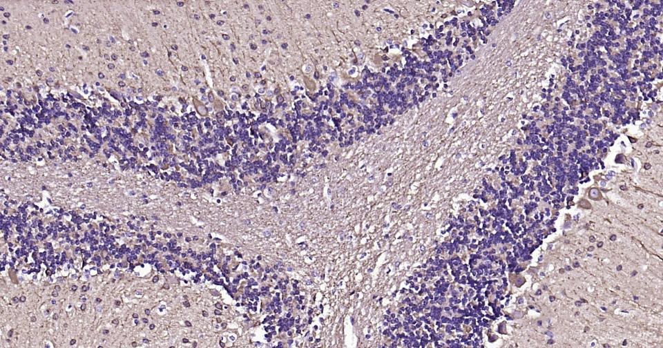
5. Paraformaldehyde-fixed, paraffin embedded Mouse Cerebellum; Antigen retrieval by boiling in sodium citrate buffer (pH6.0) for 15 min; Antibody incubation with Tubulin beta-III Monoclonal Antibody, Unconjugated (TMAB-01920) at 1:200 overnight at 4°C, followed by conjugation to the SP Kit (Rabbit) and DAB staining.
6. Paraformaldehyde-fixed, paraffin embedded Human Cerebellum; Antigen retrieval by boiling in sodium citrate buffer (pH6.0) for 15 min; Antibody incubation with Tubulin beta-III Monoclonal Antibody, Unconjugated (TMAB-01920) at 1:200 overnight at 4°C, followed by conjugation to the SP Kit (Rabbit) and DAB staining.
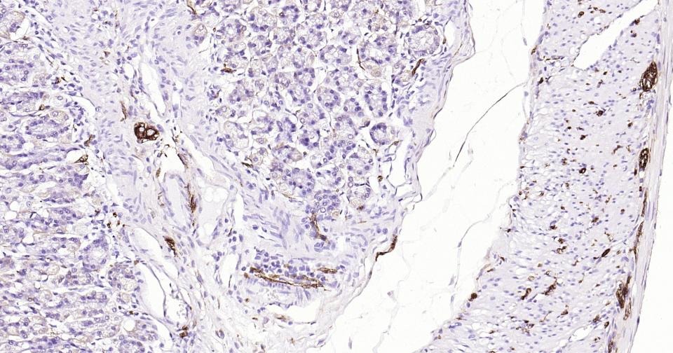
7. Paraformaldehyde-fixed, paraffin embedded Mouse Stomach; Antigen retrieval by boiling in sodium citrate buffer (pH6.0) for 15 min; Antibody incubation with Tubulin beta-III Monoclonal Antibody, Unconjugated (TMAB-01920) at 1:200 overnight at 4°C, followed by conjugation to the SP Kit (Rabbit) and DAB staining.
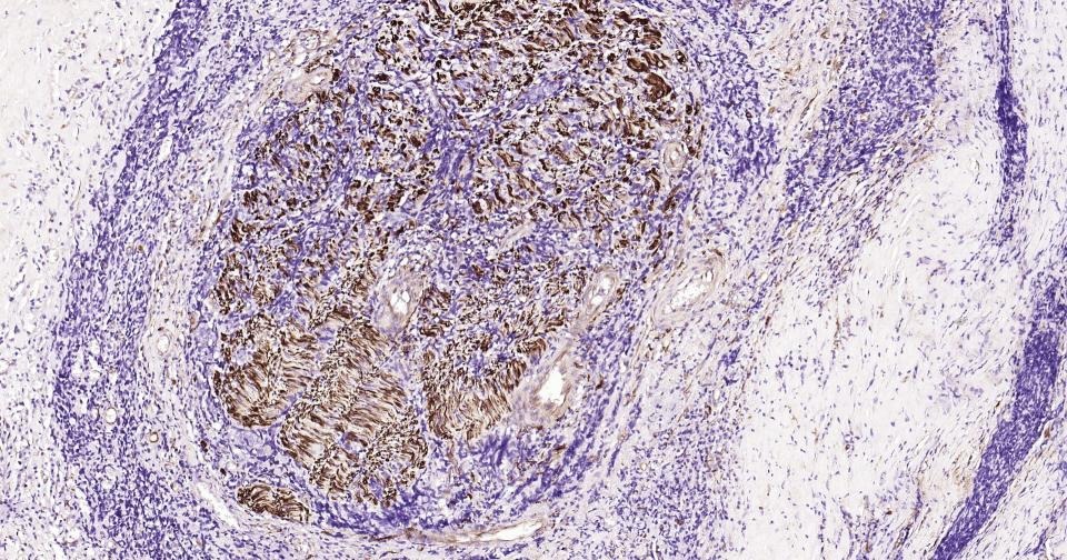
8. Paraformaldehyde-fixed, paraffin embedded Human Thyroid Tumor; Antigen retrieval by boiling in sodium citrate buffer (pH6.0) for 15 min; Antibody incubation with Tubulin beta-III Monoclonal Antibody, Unconjugated (TMAB-01920) at 1:200 overnight at 4°C, followed by conjugation to the SP Kit (Rabbit) and DAB staining.
verifiedActivityverifiedActivityverifiedActivityverifiedActivityverifiedActivityverifiedActivityverifiedActivityverifiedActivity
应用FCMICC/IFIFIHC-FrIHC-PWB
推荐剂量
FCM=1:50-100; ICC/IF=1:100-500; IF=1:100-500; IHC-Fr=1:100-500; IHC-P=1:100-500; WB=1:2000-20000
抗体种类
Monoclonal
宿主来源Rabbit
亚细胞定位Cytoplasm, cytoskeleton.
组织特异性Expression is primarily restricted to centraland peripheral nervous system. Greatly increased expression in mostcancerous tissues.
构建方式Recombinant Antibody
纯化方式Protein A purified
性状Liquid
缓冲液0.01M TBS (pH7.4) with 1% BSA, 0.02% Proclin300 and 50% Glycerol.
浓度1 mg/mL
研究背景Neuronal Marker Beta III tubulin is abundant in the central and peripheral nervous systems (CNS and PNS) where it is prominently expressed during fetal and postnatal development. As exemplified in cerebellar and sympathoadrenal neurogenesis, the distribution of beta III is neuron-associated, exhibiting distinct temporospatial gradients according to the regional neuroepithelia of origin. However, transient expression of this protein is also present in the subventricular zones of the CNS comprising putative neuronal- and/or glial precursor cells, as well as in Kulchitsky neuroendocrine cells of the fetal respiratory epithelium. This temporally restricted, potentially non-neuronal expression may have implications in the identification of presumptive neurons derived from embryonic stem cells.
抗原信息
免疫原
A synthesized peptide: human beta III Tubulin
抗原种属
Human
基因名称
TUBB3
基因ID
蛋白名称
Tubulin beta-3 chain
Uniprot ID
研究领域
Neuronal,Tubulin,Microtubules
功能
Tubulin is the major constituent of microtubules. Itbinds two moles of GTP, one at an exchangeable site on the betachain and one at a non-exchangeable site on the alpha chain. TUBB3plays a critical role in proper axon guidance and mantainance.
化学信息
分子量Theoretical: 50 kDa. Actual: 50 kDa.
储存&溶解度
储存方式Store at -20°C or -80°C for 12 months. Avoid repeated freeze-thaw cycles.
运输方式Shipping with blue ice.

计算器

  • 稀释 计算器
  • 配液 计算器
Related Tags: buy Anti-TUBB3 Antibody (3P633) | purchase Anti-TUBB3 Antibody (3P633) | Anti-TUBB3 Antibody (3P633) cost | order Anti-TUBB3 Antibody (3P633) | Anti-TUBB3 Antibody (3P633) molecular weight