购物车
  • TargetMol
    您的购物车当前为空

Anti-Tryptophan Hydroxylase 1/TPH-1 Antibody (9H209)

Synonyms: tryptophan hydroxylase 1, TRPH, TPRH
货号 TMAC-04142 一键复制产品信息
Rating icon 还可以

Anti-Tryptophan Hydroxylase 1/TPH-1 Antibody (9H209) 是一种 Rabbit 抗体,靶向 Tryptophan Hydroxylase 1/TPH-1。Anti-Tryptophan Hydroxylase 1/TPH-1 Antibody (9H209) 可用于 FCM,ICC/IF,IHC,IP,WB。

Anti-Tryptophan Hydroxylase 1/TPH-1 Antibody (9H209)

一键复制产品信息
Rating icon 还可以
货号 TMAC-04142

别名 tryptophan hydroxylase 1, TRPH, TPRH

Anti-Tryptophan Hydroxylase 1/TPH-1 Antibody (9H209) 是一种 Rabbit 抗体,靶向 Tryptophan Hydroxylase 1/TPH-1。Anti-Tryptophan Hydroxylase 1/TPH-1 Antibody (9H209) 可用于 FCM,ICC/IF,IHC,IP,WB。

Anti-Tryptophan Hydroxylase 1/TPH-1 Antibody (9H209)
规格价格库存数量
50 μL
¥ 1,490
5日内发货
100 μL
¥ 2,485
5日内发货
库存状态实时更新,以官网显示为准,现货产品可直接加购物车下单
大包装 & 定制
加入购物车
TargetMol的所有产品仅用作科学研究或药证申报,不能被用于人体,我们不向个人提供产品和服务。请您遵守承诺用途,不得违反法律法规规定用于任何其他用途。
实验操作小课堂
常见问题解答
查看更多

资源下载:产品操作手册

产品介绍


生物活性
产品描述
Anti-Tryptophan Hydroxylase 1/TPH-1 Antibody (9H209) is a Rabbit antibody targeting Tryptophan Hydroxylase 1/TPH-1. Anti-Tryptophan Hydroxylase 1/TPH-1 Antibody (9H209) can be used in FCM,ICC/IF,IHC,IP,WB.
别名tryptophan hydroxylase 1, TRPH, TPRH
Ig Type
IgG
克隆号
9H209
反应种属
Human,Mouse,Rat
验证活性
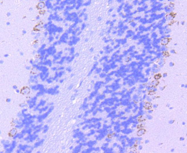
1. Immunohistochemical analysis of paraffin-embedded rat brain tissue using anti-TPH1 antibody. Counter stained with hematoxylin.
2. Immunohistochemical analysis of paraffin-embedded mouse cerebellum tissue using anti-TPH1 antibody. Counter stained with hematoxylin.
3. Flow cytometric analysis of Hela cells with TPH1 antibody at 1/50 dilution (red) compared with an unlabelled control (cells without incubation with primary antibody; black). Alexa Fluor 488-conjugated goat anti rabbit IgG was used as the secondary antibody.
verifiedActivityverifiedActivityverifiedActivity
应用FCMICC/IFIHCIPWB
推荐剂量
WB: 1:1000; IHC: 1:50-200; ICC/IF: 1:50-200; FCM: 1:50-100
抗体种类
Monoclonal
宿主来源Rabbit
构建方式Recombinant Antibody
纯化方式ProA affinity purified
性状Liquid
缓冲液1*TBS (pH7.4), 1%BSA, 40%Glycerol. Preservative: 0.05% Sodium Azide.
研究背景Phenylalanine hydroxylase (PAH), tyrosine hydroxylase (TH) and tryptophan hydroxylase (TPH) comprise a small family of monooxygenases that use tetrahydropterine as a cofactor during the catabolism of aromatic L-amino acids. PAH, TH and TPH all contain catalytic domains with an amino-terminal regulatory domain and a short carboxy-terminal tetramerization domain. Each of these enzymes also contains a single ferrous iron atom, which is bound to two histidines and a glutamate and is likely to be involved in the formation of the hydroxylating intermediate. TPH is the first and rate-limiting step in the biosynthesis of serotonin in the central nervous system and melatonin in the pineal gland. Alteration of TPH function may be a key factor in the pathology of several neuropsychiatric disorders associated with serotonin, including depression, aggression, alcoholism and schizophrenia. For instance, L-DOPA, which is used as a common therapy for Parkinson??s disease (PD) patients, inhibits TPH function, which subsequently, is thought to contribute to the onset of depression in PD patients.
偶联与修饰
偶联
Unconjugated
抗原信息
免疫原
Recombinant Protein
Uniprot ID
化学信息
分子量Theoretical: 51 kDa.
储存&溶解度
储存方式Store at -20°C or -80°C for 12 months. Avoid repeated freeze-thaw cycles.
运输方式Shipping with blue ice.

计算器

  • 稀释 计算器
  • 配液 计算器
Related Tags: buy Anti-Tryptophan Hydroxylase 1/TPH-1 Antibody (9H209) | purchase Anti-Tryptophan Hydroxylase 1/TPH-1 Antibody (9H209) | Anti-Tryptophan Hydroxylase 1/TPH-1 Antibody (9H209) cost | order Anti-Tryptophan Hydroxylase 1/TPH-1 Antibody (9H209) | Anti-Tryptophan Hydroxylase 1/TPH-1 Antibody (9H209) molecular weight