• TargetMol
    您的购物车当前为空

Anti-TRXR1/TXNRD1 Antibody (8M522)

一键复制产品信息
Rating icon 还可以
产品编号 TMAC-04171

别名 TXNR, TRXR1, TR1, TR, thioredoxin reductase 1, GRIM-12

Anti-TRXR1/TXNRD1 Antibody (8M522) 是一种 Rabbit 抗体,靶向 TRXR1/TXNRD1。Anti-TRXR1/TXNRD1 Antibody (8M522) 可用于 FCM,ICC,IHC,IP,WB。

Anti-TRXR1/TXNRD1 Antibody (8M522)

Anti-TRXR1/TXNRD1 Antibody (8M522)

一键复制产品信息
Rating icon 还可以
产品编号 TMAC-04171 别名 TXNR, TRXR1, TR1, TR, thioredoxin reductase 1, GRIM-12

Anti-TRXR1/TXNRD1 Antibody (8M522) 是一种 Rabbit 抗体,靶向 TRXR1/TXNRD1。Anti-TRXR1/TXNRD1 Antibody (8M522) 可用于 FCM,ICC,IHC,IP,WB。

规格价格库存数量
50 μL
¥ 1,495
5日内发货
100 μL
¥ 2,490
5日内发货
大包装 & 定制
加入购物车
TargetMol 的所有产品仅用作科学研究或药证申报,不能被用于人体,我们不向个人提供产品和服务。请您遵守承诺用途,不得违反法律法规规定用于任何其他用途。
实验操作小课堂
常见问题解答
查看更多
选择批次:
浓度:1 mg/mL
联系我们获取更多批次信息

产品介绍

生物活性
产品描述
Anti-TRXR1/TXNRD1 Antibody (8M522) is a Rabbit antibody targeting TRXR1/TXNRD1. Anti-TRXR1/TXNRD1 Antibody (8M522) can be used in FCM,ICC,IHC,IP,WB.
别名TXNR, TRXR1, TR1, TR, thioredoxin reductase 1, GRIM-12
Ig Type
IgG
克隆号
8M522
交叉反应
Human,Mouse,Rat
验证活性
1. Western blot analysis of TXNRD1 on Hela (1) and human liver tissue lysate (2) using anti-TXNRD1 antibody at 1/1,000 dilution.
2. Immunohistochemical analysis of paraffin-embedded human kidney tissue using anti-TXNRD1 antibody. Counter stained with hematoxylin.
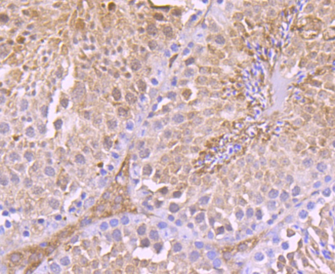
3. Immunohistochemical analysis of paraffin-embedded mouse testes tissue using anti-TXNRD1 antibody. Counter stained with hematoxylin.
4. ICC staining TXNRD1 in HUVEC cells (green). The nuclear counter stain is DAPI (blue). Cells were fixed in paraformaldehyde, permeabilised with 0.25% Triton X100/PBS.
5. Flow cytometric analysis of SH-SY5Y cells with TXNRD1 antibody at 1/100 dilution (red) compared with an unlabelled control (cells without incubation with primary antibody; black).
verifiedActivityverifiedActivityverifiedActivityverifiedActivityverifiedActivity
应用FCMICCIHCIPWB
推荐剂量
WB: 1:500-2000; IHC: 1:50-200; ICC: 1:50-200; FCM: 1:50-100
抗体种类
Monoclonal
宿主来源Rabbit
构建方式Recombinant Antibody
纯化方式ProA affinity purified
性状Liquid
缓冲液1*TBS (pH7.4), 1%BSA, 40%Glycerol. Preservative: 0.05% Sodium Azide.
研究背景Thioredoxin (Trx) is a redox protein that is found in several species, such as bacteria, plants and mammals, and contains a conserved active site, consisting of Trp-Cys-Gly-Pro-Cys. Trx reductases (TrxR1 and TrxR2) are ubiquitous Ly noble flavoproteins that catalyze the NADPH-dependent reduction of Trx as well as several other oxidized cellular components. Mammalian Trx reductases are a part of a selenium-containing pyridine nucleotide-disulphide oxidoreductase family, which has a conserved catalytic site of Cys-Val- Asn-Val-Gly-Cys. TrxR1 and TrxR2 are also involved in the prevention of oxidative stress. Inhibition of TrxR activity may provide for potential treatments of cancer, AIDS and other autoimmune diseases as well as bacterial infections and parasitic diseases.
偶联与修饰
偶联
Unconjugated
抗原信息
免疫原
Recombinant Protein
Uniprot ID
化学信息
分子量Theoretical: 55 kDa.
颜色Transparent
物理性状Liquid
存储&运输
储存方式Store at -20°C or -80°C for 12 months. Avoid repeated freeze-thaw cycles.
运输方式Shipping with blue ice.

计算器

  • 稀释 计算器

关键词

评论列表

4个月前
5.0
Rating icon 很棒

评论内容

Related Tags: buy Anti-TRXR1/TXNRD1 Antibody (8M522) | purchase Anti-TRXR1/TXNRD1 Antibody (8M522) | Anti-TRXR1/TXNRD1 Antibody (8M522) cost | order Anti-TRXR1/TXNRD1 Antibody (8M522) | Anti-TRXR1/TXNRD1 Antibody (8M522) molecular weight