购物车
  • 全部删除
  • TargetMol
    您的购物车当前为空

Anti-Transferrin Receptor/TFRC Polyclonal Antibody

Rating icon 还可以
产品编号 TMAB-01887
别名 TR, TFRC, TfR1, TFR, T9, sTfR, p90, CD71

Anti-Transferrin Receptor/TFRC Polyclonal Antibody 是一种 Rabbit 抗体,靶向 Transferrin Receptor/TFRC。Anti-Transferrin Receptor/TFRC Polyclonal Antibody 可用于 FCM,IF,IHC-Fr,IHC-P,WB。

Anti-Transferrin Receptor/TFRC Polyclonal Antibody

Anti-Transferrin Receptor/TFRC Polyclonal Antibody

一键复制产品信息
Rating icon 还可以
产品编号 TMAB-01887 别名 TR, TFRC, TfR1, TFR, T9, sTfR, p90, CD71

Anti-Transferrin Receptor/TFRC Polyclonal Antibody 是一种 Rabbit 抗体,靶向 Transferrin Receptor/TFRC。Anti-Transferrin Receptor/TFRC Polyclonal Antibody 可用于 FCM,IF,IHC-Fr,IHC-P,WB。

规格价格库存数量
50 μL
¥ 1,170
5日内发货
100 μL
¥ 1,965
5日内发货
200 μL
¥ 2,780
5日内发货
大包装 & 定制
加入购物车
TargetMol 的所有产品仅用作科学研究或药证申报,不能被用于人体,我们不向个人提供产品和服务。请您遵守承诺用途,不得违反法律法规规定用于任何其他用途。
实验操作小课堂
常见问题解答
查看更多
联系我们获取更多批次信息
资源下载

产品介绍

生物活性
产品描述
Anti-Transferrin Receptor/TFRC Polyclonal Antibody is a Rabbit antibody targeting Transferrin Receptor/TFRC. Anti-Transferrin Receptor/TFRC Polyclonal Antibody can be used in FCM,IF,IHC-Fr,IHC-P,WB.
别名TR, TFRC, TfR1, TFR, T9, sTfR, p90, CD71
Ig Type
IgG
交叉反应
Human,Mouse (predicted:Rat,Dog,Pig,Cow,Horse,GuineaPig)
验证活性
1. Sample: Placenta (Mouse) Lysate at 40 μg
Primary: Anti-CD71/Transferrin receptor (TMAB-01887) at 1/300 dilution
Secondary: IRDye800CW Goat Anti-Rabbit IgG at 1/20000 dilution
Predicted band size: 74/85 kDa
Observed band size: 75 kDa
2. Blank control (blue): Raji (fixed with 2% paraformaldehyde (10 min)). Primary Antibody: Rabbit Anti-CD71 antibody (TMAB-01887), Dilution: 1 μg in 100 μL 1X PBS containing 0.5% BSA; Isotype Control Antibody: Rabbit Igg (orange),used under the same conditions); Secondary Antibody: Goat anti-rabbit IgG-Pe (white blue), Dilution: 1:200 in 1 X PBS containing 0.5% BSA.
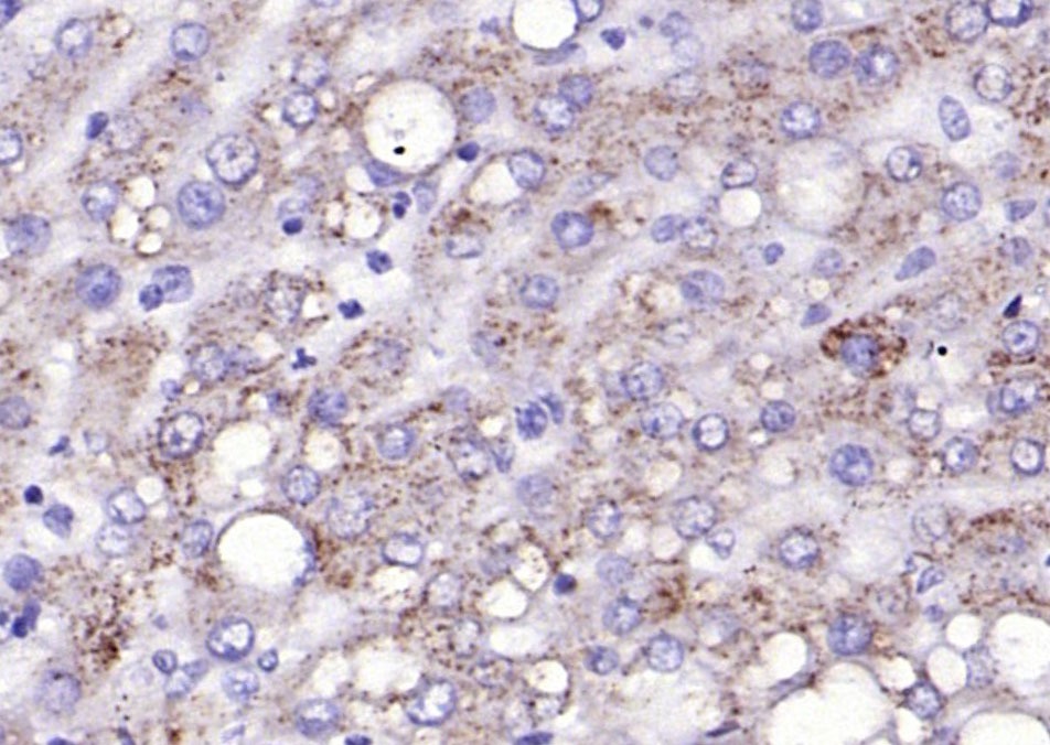
3. Paraformaldehyde-fixed, paraffin embedded (human liver); Antigen retrieval by boiling in sodium citrate buffer (pH6.0) for 15 min; Block endogenous peroxidase by 3% hydrogen peroxide for 20 min; Blocking buffer (normal goat serum) at 37°C for 30 min; Antibody incubation with (TFRC) Polyclonal Antibody, Unconjugated (TMAB-01887) at 1:200 overnight at 4°C, followed by operating according to SP Kit (Rabbit) instructionsand DAB staining.
4. Blank control: K562. Primary Antibody (green line): Rabbit Anti-CD71 antibody (TMAB-01887)
Dilution: 1 μg/10^6 cells;
Isotype Control Antibody (orange line): Rabbit IgG.
Secondary Antibody: Goat anti-rabbit IgG-FITC
Dilution: 0.5 μg/test.
Protocol
The cells were incubated in 5% BSA to block non-specific protein-protein interactions for 30 min at room temperature. Cells stained with Primary Antibody for 30 min at room temperature. The secondary antibody used for 40 min at room temperature.
verifiedActivityverifiedActivityverifiedActivityverifiedActivity
应用FCMIFIHC-FrIHC-PWB
推荐剂量
WB: 1:500-2000; IHC-P: 1:100-500; IHC-Fr: 1:100-500; IF: 1:50-200; FCM: 1μg /Test
抗体种类
Polyclonal
宿主来源Rabbit
亚细胞定位Cell membrane; Single-pass type II membrane protein. Melanosome. Note=Identified by mass spectrometry in melanosome fractions from stage I to stage IV.
构建方式Polyclonal Antibody
纯化方式Protein A purified
性状Liquid
缓冲液0.01M TBS (pH7.4) with 1% BSA, 0.02% Proclin300 and 50% Glycerol.
浓度1 mg/mL
研究背景This gene encodes a cell surface receptor necessary for cellular iron uptake by the process of receptor-mediated endocytosis. This receptor is required for erythropoiesis and neurologic development. Multiple alternatively spliced variants have been identified. [provided by RefSeq, Sep 2015]
抗原信息
免疫原
KLH conjugated synthetic peptide: human Transferrin receptor
抗原种属
Human
基因名称
TFRC
基因ID
蛋白名称
Transferrin receptor protein 1
Uniprot ID
研究领域
Response to hypoxia,Serum Proteins,Non-lineage,Hypoxia,B Lymphocytic Lineage,T Lymphocytic Lineage,Erythrocytic Lineage,Surface Molecules
功能
Cellular uptake of iron occurs via receptor-mediated endocytosis of ligand-occupied transferrin receptor into specialized endosomes. Endosomal acidification leads to iron release. The apotransferrin-receptor complex is then recycled to the cell surface with a return to neutral pH and the concomitant loss of affinity of apotransferrin for its receptor. Transferrin receptor is necessary for development of erythrocytes and the nervous system. A second ligand, the heditary hemochromatosis protein HFE, competes for binding with transferring for an overlapping C-terminal binding site.
化学信息
分子量Theoretical: 74/85 kDa.
存储&运输
储存方式Store at -20°C or -80°C for 12 months. Avoid repeated freeze-thaw cycles.
运输方式Shipping with blue ice.

计算器

  • 稀释 计算器

关键词

评论列表

4个月前
5.0
Rating icon 很棒

评论内容

Related Tags: buy Anti-Transferrin Receptor/TFRC Polyclonal Antibody | purchase Anti-Transferrin Receptor/TFRC Polyclonal Antibody | Anti-Transferrin Receptor/TFRC Polyclonal Antibody cost | order Anti-Transferrin Receptor/TFRC Polyclonal Antibody | Anti-Transferrin Receptor/TFRC Polyclonal Antibody molecular weight