购物车
  • TargetMol
    您的购物车当前为空

Anti-TNNI2 Antibody (1Z708)

Synonyms: Troponin I, fast-twitch isoform, Troponin I, fast skeletal muscle, Tnni2, fast skeletal muscle
货号 TMAC-04072 一键复制产品信息
Rating icon 还可以

Anti-TNNI2 Antibody (1Z708) 是一种 Mouse 抗体,靶向 TNNI2。Anti-TNNI2 Antibody (1Z708) 可用于 FCM,IHC,WB。

Anti-TNNI2 Antibody (1Z708)

一键复制产品信息
Rating icon 还可以
货号 TMAC-04072

别名 Troponin I, fast-twitch isoform, Troponin I, fast skeletal muscle, Tnni2, fast skeletal muscle

Anti-TNNI2 Antibody (1Z708) 是一种 Mouse 抗体,靶向 TNNI2。Anti-TNNI2 Antibody (1Z708) 可用于 FCM,IHC,WB。

Anti-TNNI2 Antibody (1Z708)
规格价格库存数量
50 μL
¥ 1,980
5日内发货
100 μL
¥ 2,995
5日内发货
库存状态实时更新,以官网显示为准,现货产品可直接加购物车下单
大包装 & 定制
加入购物车

TargetMol的所有产品仅用作科学研究或药证申报,不能被用于人体,我们不向个人提供产品和服务。请您遵守承诺用途,不得违反法律法规规定用于任何其他用途。

实验操作小课堂
常见问题解答
查看更多

资源下载:产品操作手册

产品介绍


生物活性
产品描述
Anti-TNNI2 Antibody (1Z708) is a Mouse antibody targeting TNNI2. Anti-TNNI2 Antibody (1Z708) can be used in FCM,IHC,WB.
别名
Troponin I, fast-twitch isoform, Troponin I, fast skeletal muscle, Tnni2, fast skeletal muscle
克隆号
1Z708
反应种属
Human
验证活性
1. Western blot analysis of TNNI2 on human TNNI2 recombinant protein using anti-TNNI2 antibody at 1/1,000 dilution.
2. Western blot analysis of TNNI2 on HEK293 (1) and TNNI2-hIgGFc transfected HEK293 (2) cell lysate using anti-TNNI2 antibody at 1/1,000 dilution.
3. Immunohistochemical analysis of paraffin-embedded human cardiac muscle tissue using anti-TNNI2 antibody. Counter stained with hematoxylin.
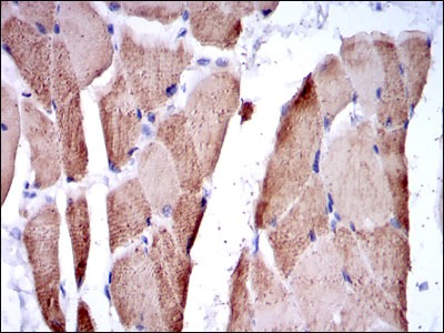
4. Immunohistochemical analysis of paraffin-embedded human striated muscle tissue using anti-TNNI2 antibody. Counter stained with hematoxylin.
5. Flow cytometric analysis of NIH/3T3 cells with TNNI2 antibody at 1/100 dilution (blue) compared with an unlabelled control (cells without incubation with primary antibody; red).
verifiedActivityverifiedActivityverifiedActivityverifiedActivityverifiedActivity
应用FCMIHCWB
推荐剂量
WB: 1:500-1000; IHC: 1:100-200; FCM: 1:100-200
抗体种类
Monoclonal
宿主来源Mouse
构建方式Hybridoma Monoclonal Antibody
纯化方式ProA affinity purified
性状Liquid
缓冲液1*TBS (pH7.4), 1%BSA, Preservative: 0.05% Sodium Azide.
研究背景Actin is a highly conserved protein that is expressed in all eukaryotic cells. Actin filaments can form both stable and labile structures and are crucial components of microvilli and the contractile apparatus of muscle cells. Myosin is a hexamer of 2 heavy chains (MHC) and 4 light chains (MLC) that interacts with actin to generate the force for diverse cellular movements, including cytokinesis, phagocytosis and muscle contraction. Troponin facilitates the interaction between actin and myosin by binding to calcium. Troponin is made up of at least two subunits, which are skeletal muscle skeletal muscle and slow skeletal muscle. Structures of skeletal muscle troponin are composed of Troponin C (the sensor), Troponin I (the regulator), and Troponin T (the link to the the regulator), and Troponin T C is dumbbell-shaped and has a hydrophobic pocket that increases the contractile force of muscle fibers. Troponin C has 2 isoforms: fast and slow. Fast troponin C has two calci um binding sites while slow / cardiac troponin C has a single calcium binding site.
偶联与修饰
偶联
Unconjugated
抗原信息
免疫原
Recombinant Protein
Uniprot ID
化学信息
分子量Theoretical: 21 kDa.
储存&溶解度
储存方式Store at -20°C or -80°C for 12 months. Avoid repeated freeze-thaw cycles.
运输方式Shipping with blue ice.

计算器

  • 稀释 计算器
  • 配液 计算器

关键词

Related Tags: buy Anti-TNNI2 Antibody (1Z708) | purchase Anti-TNNI2 Antibody (1Z708) | Anti-TNNI2 Antibody (1Z708) cost | order Anti-TNNI2 Antibody (1Z708) | Anti-TNNI2 Antibody (1Z708) molecular weight