购物车
  • TargetMol
    您的购物车当前为空

Anti-TIMP-1 Antibody (7V162)

Synonyms: TIMP metallopeptidase inhibitor 1
货号 TMAB-01843 一键复制产品信息
Rating icon 还可以

Anti-TIMP-1 Antibody (7V162) 是一种 Mouse 抗体,靶向 TIMP-1。Anti-TIMP-1 Antibody (7V162) 可用于 FCM,ICC/IF。

Anti-TIMP-1 Antibody (7V162)

一键复制产品信息
Rating icon 还可以
货号 TMAB-01843

别名 TIMP metallopeptidase inhibitor 1

Anti-TIMP-1 Antibody (7V162) 是一种 Mouse 抗体,靶向 TIMP-1。Anti-TIMP-1 Antibody (7V162) 可用于 FCM,ICC/IF。

Anti-TIMP-1 Antibody (7V162)
规格价格库存数量
50 μL
¥ 1,160
5日内发货
100 μL
¥ 1,970
5日内发货
200 μL
¥ 2,780
5日内发货
库存状态实时更新,以官网显示为准,现货产品可直接加购物车下单
大包装 & 定制
加入购物车

TargetMol的所有产品仅用作科学研究或药证申报,不能被用于人体,我们不向个人提供产品和服务。请您遵守承诺用途,不得违反法律法规规定用于任何其他用途。

实验操作小课堂
常见问题解答
查看更多

资源下载:产品操作手册

产品介绍


生物活性
产品描述
Anti-TIMP-1 Antibody (7V162) is a Mouse antibody targeting TIMP-1. Anti-TIMP-1 Antibody (7V162) can be used in FCM,ICC/IF.
别名
TIMP metallopeptidase inhibitor 1
Ig Type
IgG
克隆号
7V162
反应种属
Human
验证活性
1. Sample:
Lane 1: Mouse Stomach tissue lysates
Lane 2: Mouse Lung tissue lysates
Lane 3: Rat Stomach tissue lysates
Lane 4: Rat Colon tissue lysates
Lane 5: Rat Lung tissue lysates
Primary: Anti-TIMP-1 (TMAB-01843) at 1/1000 dilution
Secondary: IRDye800CW Goat Anti-Mouse IgG at 1/20000 dilution
Predicted band size: 21 kDa
Observed band size: 28 kDa
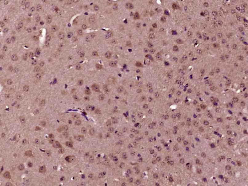
2. Paraformaldehyde-fixed, paraffin embedded (Rat brain); Antigen retrieval by boiling in sodium citrate buffer (pH6.0) for 15 min; Block endogenous peroxidase by 3% hydrogen peroxide for 20 min; Blocking buffer (normal goat serum) at 37°C for 30 min; Antibody incubation with (TIMP-1) Monoclonal Antibody, Unconjugated (TMAB-01843) at 1:400 overnight at 4°C, followed by operating according to SP Kit (Mouse) instructionsand DAB staining.
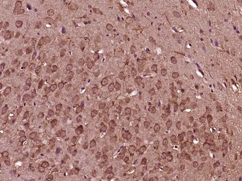
3. Paraformaldehyde-fixed, paraffin embedded (Mouse brain); Antigen retrieval by boiling in sodium citrate buffer (pH6.0) for 15 min; Block endogenous peroxidase by 3% hydrogen peroxide for 20 min; Blocking buffer (normal goat serum) at 37°C for 30 min; Antibody incubation with (TIMP-1) Monoclonal Antibody, Unconjugated (TMAB-01843) at 1:400 overnight at 4°C, followed by operating according to SP Kit (Mouse) instructionsand DAB staining.
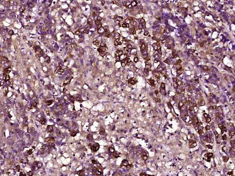
4. Paraformaldehyde-fixed, paraffin embedded (Human colon carcinoma); Antigen retrieval by boiling in sodium citrate buffer (pH6.0) for 15 min; Block endogenous peroxidase by 3% hydrogen peroxide for 20 min; Blocking buffer (normal goat serum) at 37°C for 30 min; Antibody incubation with (TIMP-1) Monoclonal Antibody, Unconjugated (TMAB-01843) at 1:400 overnight at 4°C, followed by operating according to SP Kit (Mouse) instructionsand DAB staining.
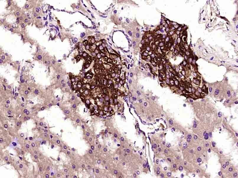
5. Paraformaldehyde-fixed, paraffin embedded (Mouse pancreas); Antigen retrieval by boiling in sodium citrate buffer (pH6.0) for 15 min; Block endogenous peroxidase by 3% hydrogen peroxide for 20 min; Blocking buffer (normal goat serum) at 37°C for 30 min; Antibody incubation with (TIMP-1) Monoclonal Antibody, Unconjugated (TMAB-01843) at 1:400 overnight at 4°C, followed by operating according to SP Kit (Mouse) instructionsand DAB staining.
verifiedActivityverifiedActivityverifiedActivityverifiedActivityverifiedActivity
应用FCMICC/IF
推荐剂量
FCM: 1ug/Test; ICC/IF: 1:50-200
抗体种类
Monoclonal
宿主来源Mouse
亚细胞定位Secreted.
构建方式Hybridoma Monoclonal Antibody
纯化方式Protein G purified
性状Liquid
缓冲液0.01M TBS (pH7.4) with 1% BSA, 0.02% Proclin300 and 50% Glycerol.
浓度1 mg/mL
研究背景This gene belongs to the TIMP gene family. The proteins encoded by this gene family are natural inhibitors of the matrix metalloproteinases (MMPs), a group of peptidases involved in degradation of the extracellular matrix. In addition to its inhibitory role against most of the known MMPs, the encoded protein is able to promote cell proliferation in a wide range of cell types, and may also have an anti-apoptotic function. Transcription of this gene is highly inducible in response to many cytokines and hormones. In addition, the expression from some but not all inactive X chromosomes suggests that this gene inactivation is polymorphic in human females. This gene is located within intron 6 of the synapsin I gene and is transcribed in the opposite direction. [provided by RefSeq].
抗原信息
免疫原
Recombinant Protein: human TIMP-1
抗原种属
Human
基因名称
TIMP1
基因ID
蛋白名称
Metalloproteinase inhibitor 1
Uniprot ID
研究领域
TIMPs,TIMPs,TIMP,TIMPs,TIMP1 / TIMP2
功能
Complexes with metalloproteinases (such as collagenases) and irreversibly inactivates them by binding to their catalytic zinc cofactor. Also mediates erythropoiesis in vitro; but, unlike IL-3, it is species-specific, stimulating the growth and differentiation of only human and murine erythroid progenitors. Known to act on MMP-1, MMP-2, MMP-3, MMP-7, MMP-8, MMP-9, MMP-10, MMP-11, MMP-12, MMP-13 and MMP-16. Does not act on MMP-14.
化学信息
分子量Theoretical: 21 kDa.
储存&溶解度
储存方式Store at -20°C or -80°C for 12 months. Avoid repeated freeze-thaw cycles.
运输方式Shipping with blue ice.

计算器

  • 稀释 计算器
  • 配液 计算器
Related Tags: buy Anti-TIMP-1 Antibody (7V162) | purchase Anti-TIMP-1 Antibody (7V162) | Anti-TIMP-1 Antibody (7V162) cost | order Anti-TIMP-1 Antibody (7V162) | Anti-TIMP-1 Antibody (7V162) molecular weight