购物车
  • TargetMol
    您的购物车当前为空

Anti-TARDBP Antibody (8Y416)

Synonyms: TDP-43, TDP43, TARDBP, TAR DNA-binding protein 43
货号 TMAC-03998 一键复制产品信息
Rating icon 还可以

Anti-TARDBP Antibody (8Y416) 是一种 Rabbit 抗体,靶向 TARDBP。Anti-TARDBP Antibody (8Y416) 可用于 FCM,ICC/IF,IHC,IP,WB。

Anti-TARDBP Antibody (8Y416)

一键复制产品信息
Rating icon 还可以
货号 TMAC-03998

别名 TDP-43, TDP43, TARDBP, TAR DNA-binding protein 43

Anti-TARDBP Antibody (8Y416) 是一种 Rabbit 抗体,靶向 TARDBP。Anti-TARDBP Antibody (8Y416) 可用于 FCM,ICC/IF,IHC,IP,WB。

Anti-TARDBP Antibody (8Y416)
规格价格库存数量
50 μL
¥ 1,490
5日内发货
100 μL
¥ 2,485
5日内发货
库存状态实时更新,以官网显示为准,现货产品可直接加购物车下单
大包装 & 定制
加入购物车
TargetMol的所有产品仅用作科学研究或药证申报,不能被用于人体,我们不向个人提供产品和服务。请您遵守承诺用途,不得违反法律法规规定用于任何其他用途。
实验操作小课堂
常见问题解答
查看更多

资源下载:产品操作手册

产品介绍


生物活性
产品描述
Anti-TARDBP Antibody (8Y416) is a Rabbit antibody targeting TARDBP. Anti-TARDBP Antibody (8Y416) can be used in FCM,ICC/IF,IHC,IP,WB.
别名TDP-43, TDP43, TARDBP, TAR DNA-binding protein 43
Ig Type
IgG
克隆号
8Y416
反应种属
Human,Mouse,Rat,zebrafish
验证活性
1. Western blot analysis of TDP43 on different cells lysates using anti-TDP43 antibody at 1/500 dilution. Positive control: Line 1: Hela, Line 2: K563.
2. Immunohistochemical analysis of paraffin-embedded human spleen tissue using anti-TDP43 antibody. Counter stained with hematoxylin.
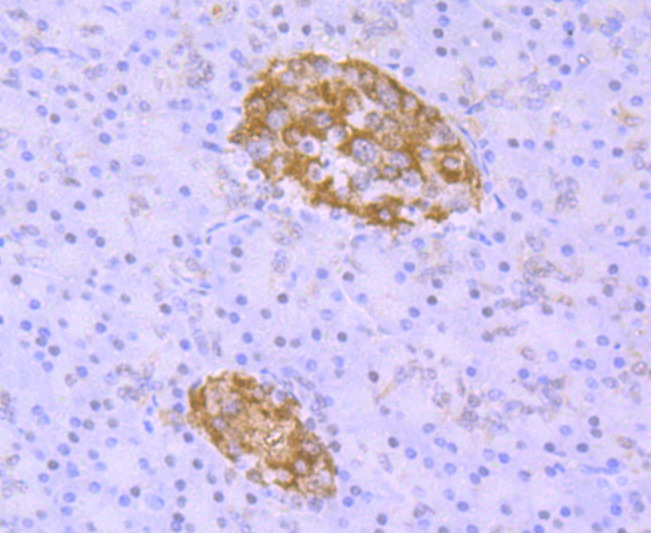
3. Immunohistochemical analysis of paraffin-embedded human pancreas tissue using anti-TDP43 antibody. Counter stained with hematoxylin.
4. Immunohistochemical analysis of paraffin-embedded mouse placenta tissue using anti-TDP43 antibody. Counter stained with hematoxylin.
5. ICC staining TDP43 in 293T cells (red). The nuclear counter stain is DAPI (blue). Cells were fixed in paraformaldehyde, permeabilised with 0.25% Triton X100/PBS.
6. ICC staining TDP43 in Hela cells (red). The nuclear counter stain is DAPI (blue). Cells were fixed in paraformaldehyde, permeabilised with 0.25% Triton X100/PBS.
7. ICC staining TDP43 in SH-SY5Y cells (red). The nuclear counter stain is DAPI (blue). Cells were fixed in paraformaldehyde, permeabilised with 0.25% Triton X100/PBS.
8. Flow cytometric analysis of Hela cells with TDP43 antibody at 1/50 dilution (red) compared with an unlabelled control (cells without incubation with primary antibody; black). Alexa Fluor 488-conjugated goat anti rabbit IgG was used as the secondary antibody.
verifiedActivityverifiedActivityverifiedActivityverifiedActivityverifiedActivityverifiedActivityverifiedActivityverifiedActivity
应用FCMICC/IFIHCIPWB
推荐剂量
WB: 1:1000-5000; IHC: 1:50-200; ICC/IF: 1:100-500; IP: 1:10-50; FCM: 1:50-100
抗体种类
Monoclonal
宿主来源Rabbit
构建方式Recombinant Antibody
纯化方式ProA affinity purified
性状Liquid
缓冲液1*TBS (pH7.4), 1%BSA, 40%Glycerol. Preservative: 0.05% Sodium Azide.
研究背景DNA and RNA-binding protein which regulates transcription and splicing. Involved in the regulation of CFTR splicing. It promotes CFTR exon 9 skipping by binding to the UG repeated motifs in the polymorphic region near the 3'-splice site of this exon. The resulting aberrant splicing is associated with pathological features typical of cystic fibrosis. May also be involved in microRNA biogenesis, apoptosis and cell division. Can repress HIV-1 transcription by binding to the HIV-1 long terminal repeat. Stabilizes the low molecular weight neurofilament (NFL) mRNA through a direct interaction with the 3' UTR.
偶联与修饰
偶联
Unconjugated
抗原信息
免疫原
Recombinant Protein
Uniprot ID
化学信息
分子量Theoretical: 45 kDa.
储存&溶解度
储存方式Store at -20°C or -80°C for 12 months. Avoid repeated freeze-thaw cycles.
运输方式Shipping with blue ice.

计算器

  • 稀释 计算器
  • 配液 计算器

关键词

Related Tags: buy Anti-TARDBP Antibody (8Y416) | purchase Anti-TARDBP Antibody (8Y416) | Anti-TARDBP Antibody (8Y416) cost | order Anti-TARDBP Antibody (8Y416) | Anti-TARDBP Antibody (8Y416) molecular weight