购物车
  • TargetMol
    您的购物车当前为空

Anti-TAC1 Polyclonal Antibody

Synonyms: TAC1, Protachykinin-1, PPT
货号 TMAB-01805 一键复制产品信息
Rating icon 还可以

Anti-TAC1 Polyclonal Antibody 是一种 Rabbit 抗体,靶向 TAC1。Anti-TAC1 Polyclonal Antibody 可用于 FCM, ICC/IF, IF, IHC-Fr, IHC-P。

Anti-TAC1 Polyclonal Antibody

一键复制产品信息
Rating icon 还可以
货号 TMAB-01805

别名 TAC1, Protachykinin-1, PPT

Anti-TAC1 Polyclonal Antibody 是一种 Rabbit 抗体,靶向 TAC1。Anti-TAC1 Polyclonal Antibody 可用于 FCM, ICC/IF, IF, IHC-Fr, IHC-P。

Anti-TAC1 Polyclonal Antibody
规格价格库存数量
50 μL
¥ 1,165
5日内发货
100 μL
¥ 1,960
5日内发货
200 μL
¥ 2,790
5日内发货
库存状态实时更新,以官网显示为准,现货产品可直接加购物车下单
大包装 & 定制
加入购物车
TargetMol的所有产品仅用作科学研究或药证申报,不能被用于人体,我们不向个人提供产品和服务。请您遵守承诺用途,不得违反法律法规规定用于任何其他用途。
实验操作小课堂
常见问题解答
查看更多

资源下载:产品操作手册

产品介绍


生物活性
产品描述
Anti-TAC1 Polyclonal Antibody is a Rabbit antibody targeting TAC1. Anti-TAC1 Polyclonal Antibody can be used in FCM, ICC/IF, IF, IHC-Fr, IHC-P.
别名TAC1, Protachykinin-1, PPT
Ig Type
IgG
反应种属
Human,Mouse,Rat (predicted:Pig,Cow,Horse,Rabbit,Sheep,GuineaPig)
验证活性
1. Blank control: Mouse brain cells (blue). Primary Antibody: Rabbit Anti-Substance P antibody (TMAB-01805), Dilution: 1 μg in 100 μL 1X PBS containing 0.5% BSA; Isotype Control Antibody: Rabbit Igg (orange),used under the same conditions); Secondary Antibody: Goat anti-rabbit IgG-Pe (white blue), Dilution: 1:200 in 1 X PBS containing 0.5% BSA.
Protocol
The cells were fixed with 2% paraformaldehyde (10 min). Primary antibody (TMAB-01805, 1 μg/1x10^6 cells) were incubated for 30 min on the ice, followed by 1 X PBS containing 0.5% BSA + 10% goat serum (15 min) to block non-specific protein-protein interactions. Then the Goat Anti-rabbit IgG/PE antibody was added into the blocking buffer mentioned above to react with the primary antibody at 1/200 dilution for 30 min on ice.
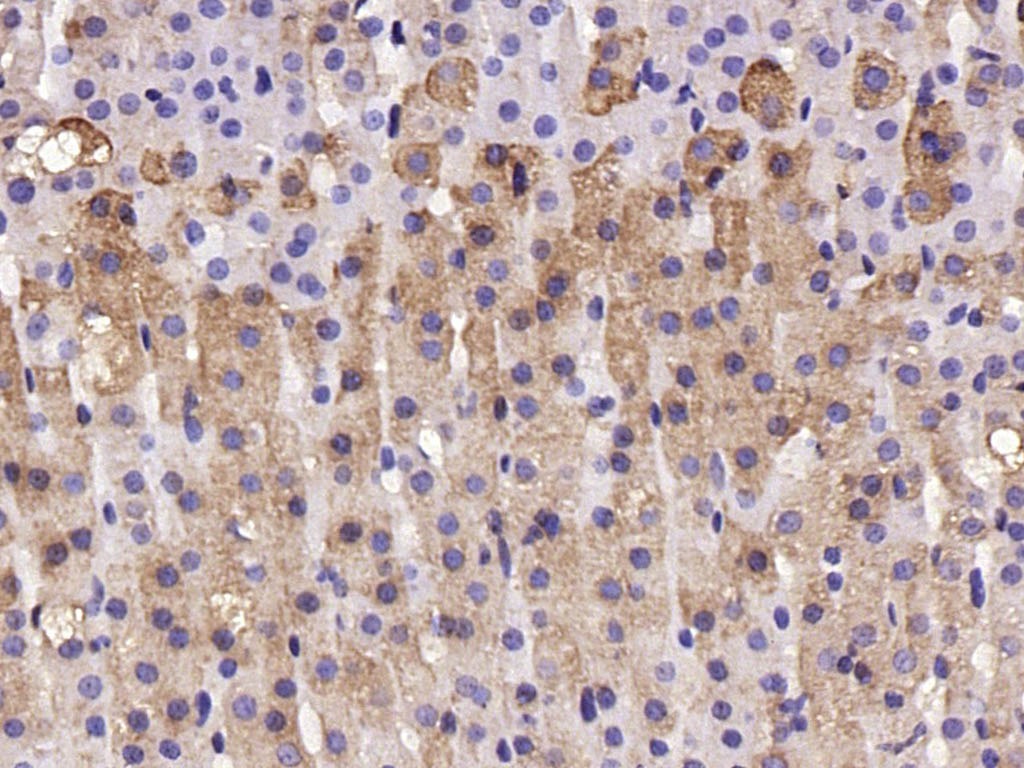
2. Paraformaldehyde-fixed, paraffin embedded (rat adrenal gland); Antigen retrieval by boiling in sodium citrate buffer (pH6.0) for 15 min; Block endogenous peroxidase by 3% hydrogen peroxide for 20 min; Blocking buffer (normal goat serum) at 37°C for 30 min; Antibody incubation with (Substance P) Polyclonal Antibody, Unconjugated (TMAB-01805) at 1:200 overnight at 4°C, followed by operating according to SP Kit (Rabbit) instructionsand DAB staining.
3. U-2OS cell; 4% Paraformaldehyde-fixed; Triton X-100 at room temperature for 20 min; Blocking buffer (normal goat serum) at 37°C for 20 min; Antibody incubation with (Substance P) polyclonal Antibody, Unconjugated (TMAB-01805) 1:100, 90 minutes at 37°C; followed by a conjugated Goat Anti-Rabbit IgG antibody at 37°C for 90 minutes, DAPI (blue) was used to stain the cell nucleus.
verifiedActivityverifiedActivityverifiedActivity
应用FCMICC/IFIFIHC-FrIHC-P
推荐剂量
FCM=1 μg/Test; ICC/IF=1:100-500; IF=1:100-500; IHC-Fr=1:100-500; IHC-P=1:100-500
抗体种类
Polyclonal
宿主来源Rabbit
亚细胞定位Secreted.
构建方式Polyclonal Antibody
纯化方式Protein A purified
性状Liquid
缓冲液0.01M TBS (pH7.4) with 1% BSA, 0.02% Proclin300 and 50% Glycerol.
浓度1 mg/mL
研究背景This gene encodes four products of the tachykinin peptide hormone family, substance P and neurokinin A, as well as the related peptides, neuropeptide K and neuropeptide gamma. These hormones are thought to function as neurotransmitters which interact with nerve receptors and smooth muscle cells. They are known to induce behavioral responses and function as vasodilators and secretagogues. Multiple transcript variants encoding different isoforms have been found for this gene. [provided by RefSeq, Jul 2008] This anitbody is crose activity with Neurokinin B.
抗原信息
免疫原
KLH conjugated synthetic peptide: human Substance P (RPKPQQFFGLM)
抗原种属
Human
基因名称
TAC1
基因ID
蛋白名称
Protachykinin-1
Uniprot ID
研究领域
Cancer,Metabolism,Hormones,Tachykinins,Nociception
功能
Tachykinins are active peptides which excite neurons, evoke behavioral responses, are potent vasodilators and secretagogues, and contract (directly or indirectly) many smooth muscles.
化学信息
分子量Theoretical: 1.4/13 kDa.
储存&溶解度
储存方式Store at -20°C or -80°C for 12 months. Avoid repeated freeze-thaw cycles.
运输方式Shipping with blue ice.

计算器

  • 稀释 计算器
  • 配液 计算器

关键词

Related Tags: buy Anti-TAC1 Polyclonal Antibody | purchase Anti-TAC1 Polyclonal Antibody | Anti-TAC1 Polyclonal Antibody cost | order Anti-TAC1 Polyclonal Antibody | Anti-TAC1 Polyclonal Antibody molecular weight