购物车
  • TargetMol
    您的购物车当前为空

Anti-Syntrophin alpha 1 Antibody (6T145)

Synonyms: TACIP1, Syntrophinα1, Syntrophinalpha1, Syntrophina1, Syntrophin-1, Syntrophin α 1, Syntrophin a 1, Syntrophin 1, SNTA1_HUMAN, Snta1, SNT1, Pro-TGF-alpha cytoplasmic domain-interacting protein 1, OTTHUMP00000030650, LQT12, Dystrophin associated protein A1 59kDa acidic component, dJ1187J4.5, Alpha-1-syntrophin, Alpha 1 syntrophin, Acidic alpha 1 syntrophin, 59 kDa dystrophin-associated protein A1 acidic component 1
货号 TMAC-03946 一键复制产品信息
Rating icon 还可以

Anti-Syntrophin alpha 1 Antibody (6T145) 是一种 Rabbit 抗体,靶向 Syntrophin alpha 1。Anti-Syntrophin alpha 1 Antibody (6T145) 可用于 FCM,ICC,IF,IHC,WB。

Anti-Syntrophin alpha 1 Antibody (6T145)

一键复制产品信息
Rating icon 还可以
货号 TMAC-03946

别名 TACIP1, Syntrophinα1, Syntrophinalpha1, Syntrophina1, Syntrophin-1, Syntrophin α 1, Syntrophin a 1, Syntrophin 1, SNTA1_HUMAN, Snta1, SNT1, Pro-TGF-alpha cytoplasmic domain-interacting protein 1, OTTHUMP00000030650, LQT12, Dystrophin associated protein A1 59kDa acidic component, dJ1187J4.5, Alpha-1-syntrophin, Alpha 1 syntrophin, Acidic alpha 1 syntrophin, 59 kDa dystrophin-associated protein A1 acidic component 1

Anti-Syntrophin alpha 1 Antibody (6T145) 是一种 Rabbit 抗体,靶向 Syntrophin alpha 1。Anti-Syntrophin alpha 1 Antibody (6T145) 可用于 FCM,ICC,IF,IHC,WB。

Anti-Syntrophin alpha 1 Antibody (6T145)
规格价格库存数量
50 μL
¥ 1,480
5日内发货
100 μL
¥ 2,480
5日内发货
库存状态实时更新,以官网显示为准,现货产品可直接加购物车下单
大包装 & 定制
加入购物车

TargetMol的所有产品仅用作科学研究或药证申报,不能被用于人体,我们不向个人提供产品和服务。请您遵守承诺用途,不得违反法律法规规定用于任何其他用途。

实验操作小课堂
常见问题解答
查看更多

资源下载:产品操作手册

产品介绍


生物活性
产品描述
Anti-Syntrophin alpha 1 Antibody (6T145) is a Rabbit antibody targeting Syntrophin alpha 1. Anti-Syntrophin alpha 1 Antibody (6T145) can be used in FCM,ICC,IF,IHC,WB.
别名
TACIP1, Syntrophinα1, Syntrophinalpha1, Syntrophina1, Syntrophin-1, Syntrophin α 1, Syntrophin a 1, Syntrophin 1, SNTA1_HUMAN, Snta1, SNT1, Pro-TGF-alpha cytoplasmic domain-interacting protein 1, OTTHUMP00000030650, LQT12, Dystrophin associated protein A1 59kDa acidic component, dJ1187J4.5, Alpha-1-syntrophin, Alpha 1 syntrophin, Acidic alpha 1 syntrophin, 59 kDa dystrophin-associated protein A1 acidic component 1
Ig Type
IgG
克隆号
6T145
反应种属
Human,Mouse
验证活性
1. Western blot analysis of Syntrophin alpha 1 on SiHa cells lysates using anti-Syntrophin alpha 1 antibody at 1/1,000 dilution.
2. Immunohistochemical analysis of paraffin-embedded human skeletal muscle tissue using anti-Syntrophin alpha 1 antibody. Counter stained with hematoxylin.
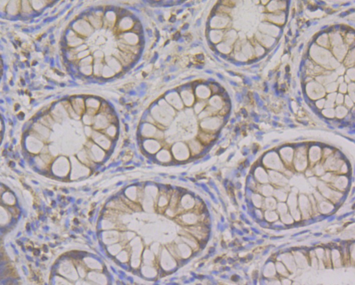
3. Immunohistochemical analysis of paraffin-embedded mouse colon tissue using anti-Syntrophin alpha 1 antibody. Counter stained with hematoxylin.
4. Immunohistochemical analysis of paraffin-embedded mouse skeletal muscle tissue using anti-Syntrophin alpha 1 antibody. Counter stained with hematoxylin.
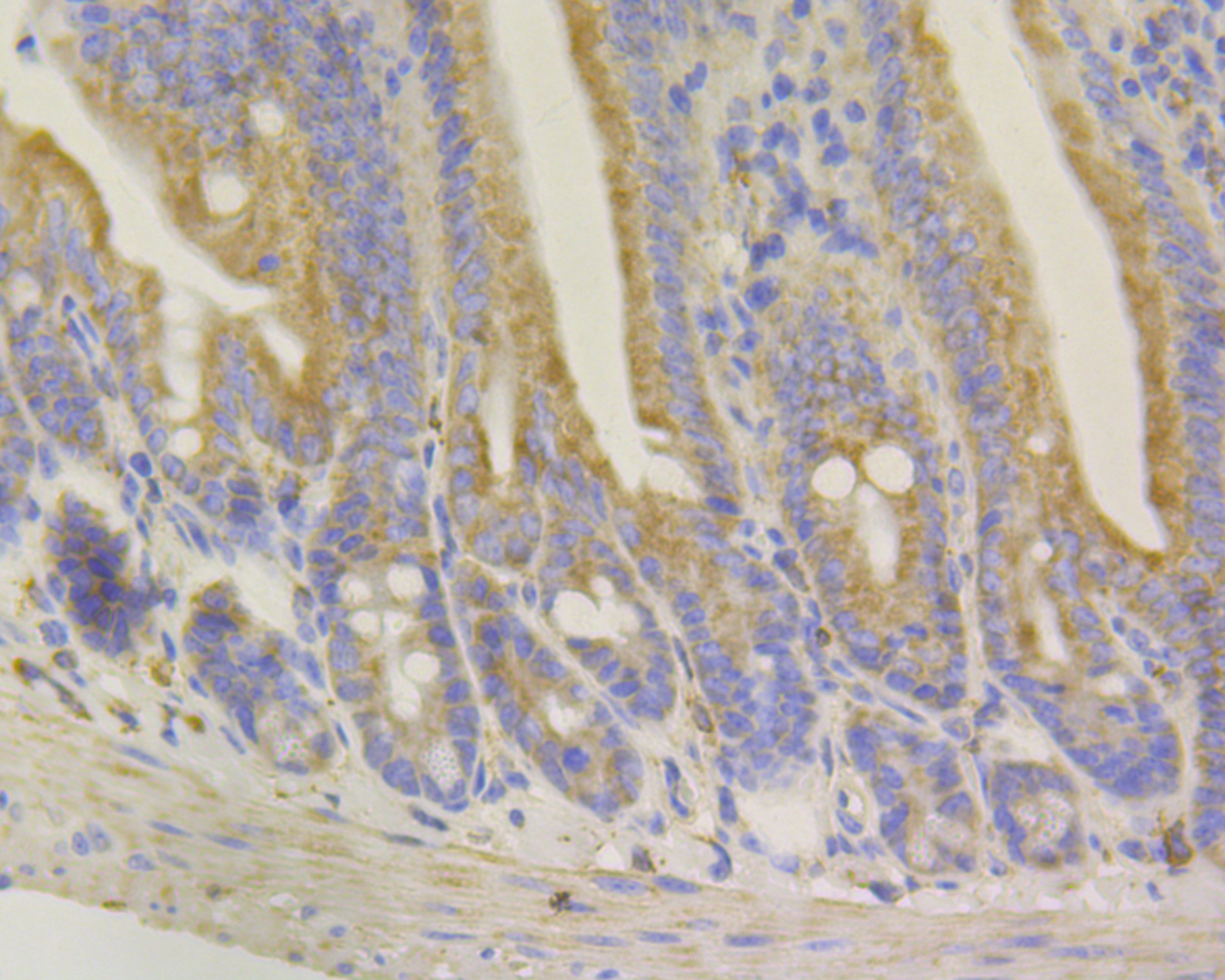
5. Immunohistochemical analysis of paraffin-embedded human colon tissue using anti-Syntrophin alpha 1 antibody. Counter stained with hematoxylin.
6. ICC staining Syntrophin alpha 1 in LOVO cells (green). The nuclear counter stain is DAPI (blue). Cells were fixed in paraformaldehyde, permeabilised with 0.25% Triton X100/PBS.
7. ICC staining Syntrophin alpha 1 in SiHa cells (green). The nuclear counter stain is DAPI (blue). Cells were fixed in paraformaldehyde, permeabilised with 0.25% Triton X100/PBS.
8. ICC staining Syntrophin alpha 1 in HepG2 cells (green). The nuclear counter stain is DAPI (blue). Cells were fixed in paraformaldehyde, permeabilised with 0.25% Triton X100/PBS.
9. Flow cytometric analysis of LOVO cells with Syntrophin alpha 1 antibody at 1/100 dilution (purple) compared with an unlabelled control (cells without incubation with primary antibody; yellow). Alexa Fluor 488-conjugated goat anti-rabbit IgG was used as the secondary antibody.
verifiedActivityverifiedActivityverifiedActivityverifiedActivityverifiedActivityverifiedActivityverifiedActivityverifiedActivityverifiedActivity
应用FCMICCIFIHCWB
推荐剂量
WB: 1:500; IHC: 1:50-200; ICC: 1:50-200; FCM: 1:50-200
抗体种类
Monoclonal
宿主来源Rabbit
构建方式Recombinant Antibody
纯化方式ProA affinity purified
性状Liquid
缓冲液1*TBS (pH7.4), 1%BSA, 40%Glycerol. Preservative: 0.05% Sodium Azide.
研究背景The syntrophins are PDZ-domain-containing proteins that facilitate the recruitment of signaling proteins such as NOS1 to the dystrophin-associated protein complex. The syntrophin family are structurally related proteins that contain multiple protein interaction motifs. Syntrophins associate directly with dystrophin, the product of the Duchenne muscular dystrophy locus, and its homologs. α-Syntrophin has an important role in synapse formation and in the organization of utrophin, acetylcholine receptor and acetylcholinester-ase at the neuromuscular synapse. Specifically, NOS1 binds to α-Syntrophin at muscle sarcolemma. β2-Syntrophin is a modular adapter. In muscle cells, β2-Syntrophin interacts with members of the dystrophin family, which in-cludes utrophin.
偶联与修饰
偶联
Unconjugated
抗原信息
免疫原
Recombinant Protein: human Syntrophin alpha 1 aa 1-200
抗原种属
human
Uniprot ID
化学信息
分子量Theoretical: 54 kDa.
储存&溶解度
储存方式Store at -20°C or -80°C for 12 months. Avoid repeated freeze-thaw cycles.
运输方式Shipping with blue ice.

计算器

  • 稀释 计算器
  • 配液 计算器
Related Tags: buy Anti-Syntrophin alpha 1 Antibody (6T145) | purchase Anti-Syntrophin alpha 1 Antibody (6T145) | Anti-Syntrophin alpha 1 Antibody (6T145) cost | order Anti-Syntrophin alpha 1 Antibody (6T145) | Anti-Syntrophin alpha 1 Antibody (6T145) molecular weight