购物车
  • TargetMol
    您的购物车当前为空

Anti-Syntaxin 3 Antibody (9E78)

Synonyms: syntaxin 3, STX3A
货号 TMAC-03944 一键复制产品信息
Rating icon 还可以

Anti-Syntaxin 3 Antibody (9E78) 是一种 Rabbit 抗体,靶向 Syntaxin 3。Anti-Syntaxin 3 Antibody (9E78) 可用于 FCM,IHC,WB。

Anti-Syntaxin 3 Antibody (9E78)

一键复制产品信息
Rating icon 还可以
货号 TMAC-03944

别名 syntaxin 3, STX3A

Anti-Syntaxin 3 Antibody (9E78) 是一种 Rabbit 抗体,靶向 Syntaxin 3。Anti-Syntaxin 3 Antibody (9E78) 可用于 FCM,IHC,WB。

Anti-Syntaxin 3 Antibody (9E78)
规格价格库存数量
50 μL
¥ 1,480
5日内发货
100 μL
¥ 2,495
5日内发货
库存状态实时更新,以官网显示为准,现货产品可直接加购物车下单
大包装 & 定制
加入购物车

TargetMol的所有产品仅用作科学研究或药证申报,不能被用于人体,我们不向个人提供产品和服务。请您遵守承诺用途,不得违反法律法规规定用于任何其他用途。

实验操作小课堂
常见问题解答
查看更多

资源下载:产品操作手册

产品介绍


生物活性
产品描述
Anti-Syntaxin 3 Antibody (9E78) is a Rabbit antibody targeting Syntaxin 3. Anti-Syntaxin 3 Antibody (9E78) can be used in FCM,IHC,WB.
别名
syntaxin 3, STX3A
Ig Type
IgG
克隆号
9E78
反应种属
Human,Mouse,Rat
验证活性
1. Western blot analysis of Syntaxin 3 on SH-SY-5Y cell (1) and human kidney tissue (2) lysate using anti-Syntaxin 3 antibody at 1/1,000 dilution.
2. Immunohistochemical analysis of paraffin-embedded rat kidney tissue using anti-Syntaxin 3 antibody. Counter stained with hematoxylin.
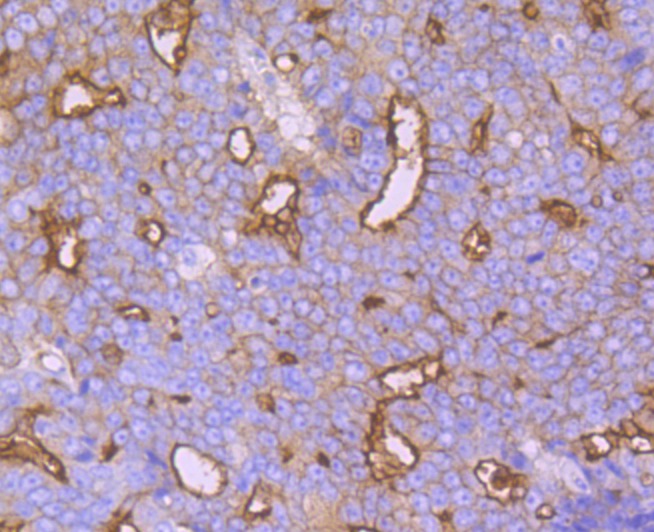
3. Immunohistochemical analysis of paraffin-embedded human prostate cancer tissue using anti-Syntaxin 3 antibody. Counter stained with hematoxylin.
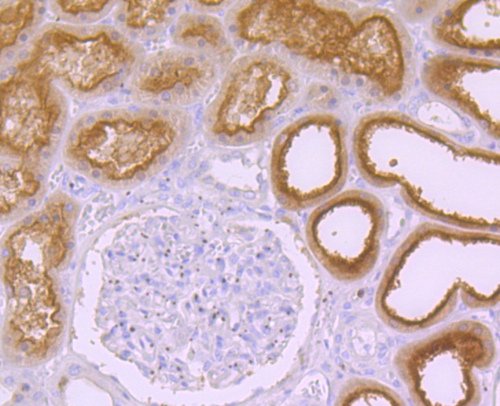
4. Immunohistochemical analysis of paraffin-embedded human kidney tissue using anti-Syntaxin 3 antibody. Counter stained with hematoxylin.
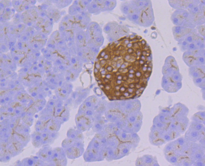
5. Immunohistochemical analysis of paraffin-embedded mouse pancreas tissue using anti-Syntaxin 3 antibody. Counter stained with hematoxylin.
6. Flow cytometric analysis of 293T cells with Syntaxin 3 antibody at 1/100 dilution (purple) compared with an unlabelled control (cells without incubation with primary antibody; yellow). Alexa Fluor 488-conjugated goat anti-rabbit IgG was used as the secondary antibody.
verifiedActivityverifiedActivityverifiedActivityverifiedActivityverifiedActivityverifiedActivity
应用FCMIHCWB
推荐剂量
WB: 1:500-2000; IHC: 1:50-200; FCM: 1:50-100
抗体种类
Monoclonal
宿主来源Rabbit
构建方式Recombinant Antibody
纯化方式ProA affinity purified
性状Liquid
缓冲液1*TBS (pH7.4), 1%BSA, 40%Glycerol. Preservative: 0.05% Sodium Azide.
研究背景Correct vesicular transport is essential to the survival of eukaryotic cells. This process is determined by specific pairing of vesicle-associated SNAREs (v-SNAREs) with those on the target membrane (t-SNAREs). This complex then recruits soluble NSF attachment proteins (SNAPs) and N-ethylmaleimide-sensitive factor (NSF) to form the highly stable SNAP receptor (SNARE) complex. The formation of a SNARE complex pulls the vesicle and target membrane together and may provide the energy to drive fusion of the lipid bilayers. Syntaxins, a family of proteins involved in the fusion of synaptic vesicles with the plasma membrane, display broad tissue distribution and contain carboxy-terminal hydrophobic domains that direct themselves to their respective intracellular compartments. Syntaxin 3 localizes to the apical plasma membrane and is involved in membrane fusion of apical trafficking pathways. Syntaxin 3 is a key factor in the growth of neurites, and it also functions as a direct target for arachidonic acid. Human Syntaxin 3 has two forms: Syntaxin 3A and 3B, while the mouse version has four forms: 3A, 3B, 3C, and 3D.
偶联与修饰
偶联
Unconjugated
抗原信息
免疫原
Recombinant Protein: cytoplasmic region of human Syntaxin 3
抗原种属
human
Uniprot ID
化学信息
分子量Theoretical: 33 kDa.
储存&溶解度
储存方式Store at -20°C or -80°C for 12 months. Avoid repeated freeze-thaw cycles.
运输方式Shipping with blue ice.

计算器

  • 稀释 计算器
  • 配液 计算器
Related Tags: buy Anti-Syntaxin 3 Antibody (9E78) | purchase Anti-Syntaxin 3 Antibody (9E78) | Anti-Syntaxin 3 Antibody (9E78) cost | order Anti-Syntaxin 3 Antibody (9E78) | Anti-Syntaxin 3 Antibody (9E78) molecular weight