购物车
  • TargetMol
    您的购物车当前为空

Anti-STUB1 Antibody (5M430)

Synonyms: STUB1, STIP1 Homology and U Box-Containing Protein 1, E3 Ubiquitin-Protein Ligase CHIP, CLL-Associated Antigen KW-8, CHIP, Carboxy Terminus of Hsp70-Interacting Protein, Antigen NY-CO-7
货号 TMAC-03909 一键复制产品信息
Rating icon 还可以

Anti-STUB1 Antibody (5M430) 是一种 Rabbit 抗体,靶向 STUB1。Anti-STUB1 Antibody (5M430) 可用于 FCM,ICC,IF,IHC,IP,WB。

Anti-STUB1 Antibody (5M430)

一键复制产品信息
Rating icon 还可以
货号 TMAC-03909

别名 STUB1, STIP1 Homology and U Box-Containing Protein 1, E3 Ubiquitin-Protein Ligase CHIP, CLL-Associated Antigen KW-8, CHIP, Carboxy Terminus of Hsp70-Interacting Protein, Antigen NY-CO-7

Anti-STUB1 Antibody (5M430) 是一种 Rabbit 抗体,靶向 STUB1。Anti-STUB1 Antibody (5M430) 可用于 FCM,ICC,IF,IHC,IP,WB。

Anti-STUB1 Antibody (5M430)
规格价格库存数量
50 μL
¥ 1,480
5日内发货
100 μL
¥ 2,495
5日内发货
库存状态实时更新,以官网显示为准,现货产品可直接加购物车下单
大包装 & 定制
加入购物车

TargetMol的所有产品仅用作科学研究或药证申报,不能被用于人体,我们不向个人提供产品和服务。请您遵守承诺用途,不得违反法律法规规定用于任何其他用途。

实验操作小课堂
常见问题解答
查看更多

资源下载:产品操作手册

产品介绍


生物活性
产品描述
Anti-STUB1 Antibody (5M430) is a Rabbit antibody targeting STUB1. Anti-STUB1 Antibody (5M430) can be used in FCM,ICC,IF,IHC,IP,WB.
别名
STUB1, STIP1 Homology and U Box-Containing Protein 1, E3 Ubiquitin-Protein Ligase CHIP, CLL-Associated Antigen KW-8, CHIP, Carboxy Terminus of Hsp70-Interacting Protein, Antigen NY-CO-7
Ig Type
IgG
克隆号
5M430
反应种属
Human,Mouse,Rat
验证活性
1. Western blot analysis of STUB1 on different lysates using anti-STUB1 antibody at 1/2,000 dilution. Positive control: Lane 1: 293, Lane 2: MCF-7, Lane 3: SK-Br-3, Lane 4: Mouse kidney.
2. Immunohistochemical analysis of paraffin-embedded rat epididymis tissue using anti-STUB1 antibody. Counter stained with hematoxylin.
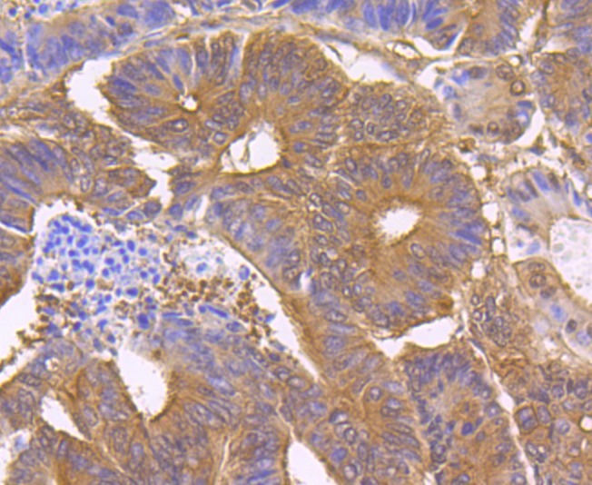
3. Immunohistochemical analysis of paraffin-embedded human colon cancer tissue using anti-STUB1 antibody. Counter stained with hematoxylin.
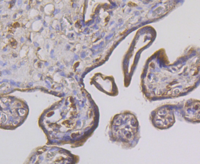
4. Immunohistochemical analysis of paraffin-embedded human placenta tissue using anti-STUB1 antibody. Counter stained with hematoxylin.
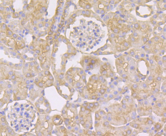
5. Immunohistochemical analysis of paraffin-embedded mouse kidney tissue using anti-STUB1 antibody. Counter stained with hematoxylin.
6. ICC staining STUB1 in 293T cells (green). The nuclear counter stain is DAPI (blue). Cells were fixed in paraformaldehyde, permeabilised with 0.25% Triton X100/PBS.
7. ICC staining STUB1 in LOVO cells (green). The nuclear counter stain is DAPI (blue). Cells were fixed in paraformaldehyde, permeabilised with 0.25% Triton X100/PBS.
8. ICC staining STUB1 in MCF-7 cells (green). The nuclear counter stain is DAPI (blue). Cells were fixed in paraformaldehyde, permeabilised with 0.25% Triton X100/PBS.
9. Flow cytometric analysis of SH-SY-5Y cells with STUB1 antibody at 1/100 dilution (purple) compared with an unlabelled control (cells without incubation with primary antibody; yellow). Alexa Fluor 488-conjugated goat anti-rabbit IgG was used as the secondary antibody.
verifiedActivityverifiedActivityverifiedActivityverifiedActivityverifiedActivityverifiedActivityverifiedActivityverifiedActivityverifiedActivity
应用FCMICCIFIHCIPWB
推荐剂量
WB: 1:1000-2000; IHC: 1:50-200; ICC: 1:50-200; IP: 1:10-50; FCM: 1:50-100
抗体种类
Monoclonal
宿主来源Rabbit
构建方式Recombinant Antibody
纯化方式ProA affinity purified
性状Liquid
缓冲液1*TBS (pH7.4), 1%BSA, 40%Glycerol. Preservative: 0.05% Sodium Azide.
研究背景CHIP (carboxy terminus of HSP 70-interacting protein), also designated STIP1 homology and U-box containing protein 1, HSPABP2, NY-CO-7, SDCCAG7 and STUB1, is a cytoplasmic E3 ubiquitin ligase that influences protein ubiquitylation. CHIP interacts with Smad1/Smad4 and blocks BMP signaling through the ubiquitin-mediated degradation of Smad proteins. CHIP controls both association of Hsp70/Hsp90 chaperones with ErbB2 and down-regulation of ErbB2 induced by inhibitors of Hsp90. A 1.3-kb transcript is most abundant in striated muscle (heart and skeletal muscle), with lower expression in pancreas and brain.
偶联与修饰
偶联
Unconjugated
抗原信息
免疫原
Recombinant Protein: human STUB1 aa 1-200
抗原种属
human
Uniprot ID
化学信息
分子量Theoretical: 35 kDa.
储存&溶解度
储存方式Store at -20°C or -80°C for 12 months. Avoid repeated freeze-thaw cycles.
运输方式Shipping with blue ice.

计算器

  • 稀释 计算器
  • 配液 计算器

关键词

Related Tags: buy Anti-STUB1 Antibody (5M430) | purchase Anti-STUB1 Antibody (5M430) | Anti-STUB1 Antibody (5M430) cost | order Anti-STUB1 Antibody (5M430) | Anti-STUB1 Antibody (5M430) molecular weight