购物车
  • TargetMol
    您的购物车当前为空

Anti-Stathmin 1 Antibody (2X10)

Synonyms: stathmin 1, SMN, PR22, PP19, PP17, OP18, LAP18, Lag, C1orf215
货号 TMAC-03894 一键复制产品信息
Rating icon 还可以

Anti-Stathmin 1 Antibody (2X10) 是一种 Rabbit 抗体,靶向 Stathmin 1。Anti-Stathmin 1 Antibody (2X10) 可用于 FCM,ICC,IHC,IP,WB。

Anti-Stathmin 1 Antibody (2X10)

一键复制产品信息
Rating icon 还可以
货号 TMAC-03894

别名 stathmin 1, SMN, PR22, PP19, PP17, OP18, LAP18, Lag, C1orf215

Anti-Stathmin 1 Antibody (2X10) 是一种 Rabbit 抗体,靶向 Stathmin 1。Anti-Stathmin 1 Antibody (2X10) 可用于 FCM,ICC,IHC,IP,WB。

Anti-Stathmin 1 Antibody (2X10)
规格价格库存数量
50 μL
¥ 1,495
5日内发货
100 μL
¥ 2,490
5日内发货
库存状态实时更新,以官网显示为准,现货产品可直接加购物车下单
大包装 & 定制
加入购物车

TargetMol的所有产品仅用作科学研究或药证申报,不能被用于人体,我们不向个人提供产品和服务。请您遵守承诺用途,不得违反法律法规规定用于任何其他用途。

实验操作小课堂
常见问题解答
查看更多

资源下载:产品操作手册

产品介绍


生物活性
产品描述
Anti-Stathmin 1 Antibody (2X10) is a Rabbit antibody targeting Stathmin 1. Anti-Stathmin 1 Antibody (2X10) can be used in FCM,ICC,IHC,IP,WB.
别名
stathmin 1, SMN, PR22, PP19, PP17, OP18, LAP18, Lag, C1orf215
Ig Type
IgG
克隆号
2X10
反应种属
Human,Mouse,Rat
验证活性
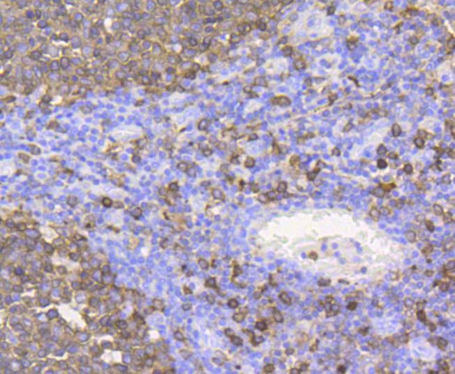
1. Immunohistochemical analysis of paraffin-embedded human tonsil tissue using anti-Stathmin 1 antibody. Counter stained with hematoxylin.
2. Immunohistochemical analysis of paraffin-embedded mouse testis tissue using anti-Stathmin 1 antibody. Counter stained with hematoxylin.
3. Immunohistochemical analysis of paraffin-embedded mouse spinal cord tissue using anti-Stathmin 1 antibody. Counter stained with hematoxylin.
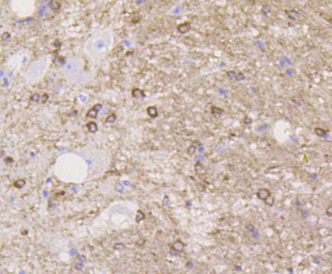
4. Immunohistochemical analysis of paraffin-embedded mouse brain tissue using anti-Stathmin 1 antibody. Counter stained with hematoxylin.
5. Immunohistochemical analysis of paraffin-embedded human breast carcinoma tissue using anti-Stathmin 1 antibody. Counter stained with hematoxylin.
6. ICC staining Stathmin 1 in PC-12 cells (green). The nuclear counter stain is DAPI (blue). Cells were fixed in paraformaldehyde, permeabilised with 0.25% Triton X100/PBS.
7. ICC staining Stathmin 1 in Hela cells (green). The nuclear counter stain is DAPI (blue). Cells were fixed in paraformaldehyde, permeabilised with 0.25% Triton X100/PBS.
8. ICC staining Stathmin 1 in SH-SY-5Y cells (green). The nuclear counter stain is DAPI (blue). Cells were fixed in paraformaldehyde, permeabilised with 0.25% Triton X100/PBS.
9. Flow cytometric analysis of Hela cells with Stathmin 1 antibody at 1/50 dilution (blue) compared with an unlabelled control (cells without incubation with primary antibody; red). Alexa Fluor 488-conjugated goat anti rabbit IgG was used as the secondary antibody.
verifiedActivityverifiedActivityverifiedActivityverifiedActivityverifiedActivityverifiedActivityverifiedActivityverifiedActivityverifiedActivity
应用FCMICCIHCIPWB
推荐剂量
WB: 1:1000-2000; IHC: 1:50-200; ICC: 1:100-500; FCM: 1:50-100
抗体种类
Monoclonal
宿主来源Rabbit
构建方式Recombinant Antibody
纯化方式ProA affinity purified
性状Liquid
缓冲液1*TBS (pH7.4), 1%BSA, 40%Glycerol. Preservative: 0.05% Sodium Azide.
研究背景Op18 (for oncoprotein 18, also designated stathmin, prosolin or metablastin) is a conserved, tubulin-associated, intracellular phosphoprotein . Many different phosphorylated forms of Op18 are observed, and it is expressed as two different isoforms. Op18 is considered a critical regulator of microtubulin dynamics and is downregulated by p53. It serves as a transducing protein, via phophorylation, for a variety of cell signaling pathways and involved in both mitosis and differentiation. Op18 is present in many cancers, including breast carcinomas, and is highly expressed in acute leukemias of different subtypes.
偶联与修饰
偶联
Unconjugated
抗原信息
免疫原
Recombinant Protein
Uniprot ID
化学信息
分子量Theoretical: 18 kDa.
储存&溶解度
储存方式Store at -20°C or -80°C for 12 months. Avoid repeated freeze-thaw cycles.
运输方式Shipping with blue ice.

计算器

  • 稀释 计算器
  • 配液 计算器
Related Tags: buy Anti-Stathmin 1 Antibody (2X10) | purchase Anti-Stathmin 1 Antibody (2X10) | Anti-Stathmin 1 Antibody (2X10) cost | order Anti-Stathmin 1 Antibody (2X10) | Anti-Stathmin 1 Antibody (2X10) molecular weight