购物车
  • TargetMol
    您的购物车当前为空

Anti-SNCG Antibody (8D869)

Synonyms: γ-Synuclein, Synoretin, SR, SNCG, PRSN, PERSYN, Gamma-Synuclein, Breast Cancer-Specific Gene 1 Protein, BCSG1
货号 TMAC-01605 一键复制产品信息
Rating icon 还可以

Anti-SNCG Antibody (8D869) 是一种 Rabbit 抗体,靶向 SNCG。Anti-SNCG Antibody (8D869) 可用于 FCM,ICC,IHC,IP,WB。

Anti-SNCG Antibody (8D869)

一键复制产品信息
Rating icon 还可以
货号 TMAC-01605

别名 γ-Synuclein, Synoretin, SR, SNCG, PRSN, PERSYN, Gamma-Synuclein, Breast Cancer-Specific Gene 1 Protein, BCSG1

Anti-SNCG Antibody (8D869) 是一种 Rabbit 抗体,靶向 SNCG。Anti-SNCG Antibody (8D869) 可用于 FCM,ICC,IHC,IP,WB。

Anti-SNCG Antibody (8D869)
规格价格库存数量
50 μL
¥ 1,495
5日内发货
100 μL
¥ 2,495
5日内发货
库存状态实时更新,以官网显示为准,现货产品可直接加购物车下单
大包装 & 定制
加入购物车

TargetMol的所有产品仅用作科学研究或药证申报,不能被用于人体,我们不向个人提供产品和服务。请您遵守承诺用途,不得违反法律法规规定用于任何其他用途。

实验操作小课堂
常见问题解答
查看更多

资源下载:产品操作手册

产品介绍


生物活性
产品描述
Anti-SNCG Antibody (8D869) is a Rabbit antibody targeting SNCG. Anti-SNCG Antibody (8D869) can be used in FCM,ICC,IHC,IP,WB.
别名
γ-Synuclein, Synoretin, SR, SNCG, PRSN, PERSYN, Gamma-Synuclein, Breast Cancer-Specific Gene 1 Protein, BCSG1
Ig Type
IgG
克隆号
8D869
反应种属
Human,Rat
验证活性
1. Western blot analysis of gamma Synuclein on rat kidney tissue lysate using anti-gamma Synuclein antibody at 1/1,000 dilution.
2. Immunohistochemical analysis of paraffin-embedded human breast cancer tissue using anti-gamma Synuclein antibody. Counter stained with hematoxylin.
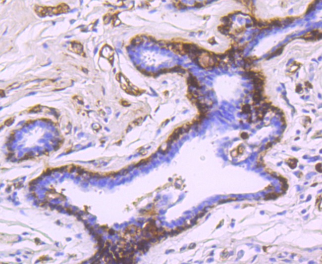
3. Immunohistochemical analysis of paraffin-embedded rat brain tissue using anti-gamma Synuclein antibody. Counter stained with hematoxylin.
4. Immunohistochemical analysis of paraffin-embedded human lung cancer tissue using anti-gamma Synuclein antibody. Counter stained with hematoxylin.
5. Immunohistochemical analysis of paraffin-embedded rat bladder tissue using anti-gamma Synuclein antibody. Counter stained with hematoxylin.
6. ICC staining gamma Synuclein in Hela cells (green). The nuclear counter stain is DAPI (blue). Cells were fixed in paraformaldehyde, permeabilised with 0.25% Triton X100/PBS.
7. Flow cytometric analysis of Hela cells with gamma Synuclein antibody at 1/100 dilution (red) compared with an unlabelled control (cells without incubation with primary antibody; black).
verifiedActivityverifiedActivityverifiedActivityverifiedActivityverifiedActivityverifiedActivityverifiedActivity
应用FCMICCIHCIPWB
推荐剂量
WB: 1:500-2000; IHC: 1:50-200; ICC: 1:50-200; FCM: 1:50-100
抗体种类
Monoclonal
宿主来源Rabbit
构建方式Recombinant Antibody
纯化方式ProA affinity purified
性状Liquid
缓冲液1*TBS (pH7.4), 1%BSA, 40%Glycerol. Preservative: 0.05% Sodium Azide.
研究背景The synucleins, including α-synuclein (also designated NACP for nonamyloid component precursor), β-synuclein (also designated PNP 14 for phospho-neuroprotein 14) and γ-synuclein (also designated persyn or BCSG1 for breast cancer-specific gene 1) are presynaptic proteins abundant in neurons. Synucleins are predominantly expressed in the brain and are speculated to be involved in synaptic regulation and neuronal plasticity. α-Synuclein, identified as a component of Alzheimer's disease amyloid plaques, is localized to neuronal cell bodies and synapses. Coordinate expression of α-synuclein and β-synuclein may be important during hematopoetic cell differentiation. A mutant form of α-synuclein is found in patients with early onset Parkinson's disease. γ-Synuclein is associated with axonal pathology in Parkinson's disease.
偶联与修饰
偶联
Unconjugated
抗原信息
免疫原
Recombinant Protein
Uniprot ID
化学信息
分子量Theoretical: 16 kDa.
储存&溶解度
储存方式Store at -20°C or -80°C for 12 months. Avoid repeated freeze-thaw cycles.
运输方式Shipping with blue ice.

计算器

  • 稀释 计算器
  • 配液 计算器

关键词

Related Tags: buy Anti-SNCG Antibody (8D869) | purchase Anti-SNCG Antibody (8D869) | Anti-SNCG Antibody (8D869) cost | order Anti-SNCG Antibody (8D869) | Anti-SNCG Antibody (8D869) molecular weight