购物车
  • TargetMol
    您的购物车当前为空

Anti-SLINGSHOT-1L Antibody (4Y112)

Synonyms: SSH-like protein 1, SSH-1L, SSH1_HUMAN, Ssh1, SSH 1L, SSH 1, SLINGSHOT1L, Slingshot1, slingshot like 1, slingshot homolog 1, slingshot 1L, Slingshot 1, Protein phosphatase Slingshot homolog 1, OTTMUSP00000031415, mSSH 1L, hSSH-1L, Gm1395, Gm1394, coronin, actin binding protein 1C, Coro1c, AW551225
货号 TMAC-03771 一键复制产品信息
Rating icon 还可以

Anti-SLINGSHOT-1L Antibody (4Y112) 是一种 Mouse 抗体,靶向 SLINGSHOT-1L。Anti-SLINGSHOT-1L Antibody (4Y112) 可用于 FCM,IHC。

Anti-SLINGSHOT-1L Antibody (4Y112)

一键复制产品信息
Rating icon 还可以
货号 TMAC-03771

别名 SSH-like protein 1, SSH-1L, SSH1_HUMAN, Ssh1, SSH 1L, SSH 1, SLINGSHOT1L, Slingshot1, slingshot like 1, slingshot homolog 1, slingshot 1L, Slingshot 1, Protein phosphatase Slingshot homolog 1, OTTMUSP00000031415, mSSH 1L, hSSH-1L, Gm1395, Gm1394, coronin, actin binding protein 1C, Coro1c, AW551225

Anti-SLINGSHOT-1L Antibody (4Y112) 是一种 Mouse 抗体,靶向 SLINGSHOT-1L。Anti-SLINGSHOT-1L Antibody (4Y112) 可用于 FCM,IHC。

Anti-SLINGSHOT-1L Antibody (4Y112)
规格价格库存数量
50 μL
¥ 1,985
5日内发货
100 μL
¥ 2,985
5日内发货
库存状态实时更新,以官网显示为准,现货产品可直接加购物车下单
大包装 & 定制
加入购物车

TargetMol的所有产品仅用作科学研究或药证申报,不能被用于人体,我们不向个人提供产品和服务。请您遵守承诺用途,不得违反法律法规规定用于任何其他用途。

实验操作小课堂
常见问题解答
查看更多

资源下载:产品操作手册

产品介绍


生物活性
产品描述
Anti-SLINGSHOT-1L Antibody (4Y112) is a Mouse antibody targeting SLINGSHOT-1L. Anti-SLINGSHOT-1L Antibody (4Y112) can be used in FCM,IHC.
别名
SSH-like protein 1, SSH-1L, SSH1_HUMAN, Ssh1, SSH 1L, SSH 1, SLINGSHOT1L, Slingshot1, slingshot like 1, slingshot homolog 1, slingshot 1L, Slingshot 1, Protein phosphatase Slingshot homolog 1, OTTMUSP00000031415, mSSH 1L, hSSH-1L, Gm1395, Gm1394, coronin, actin binding protein 1C, Coro1c, AW551225
克隆号
4Y112
反应种属
Human
验证活性
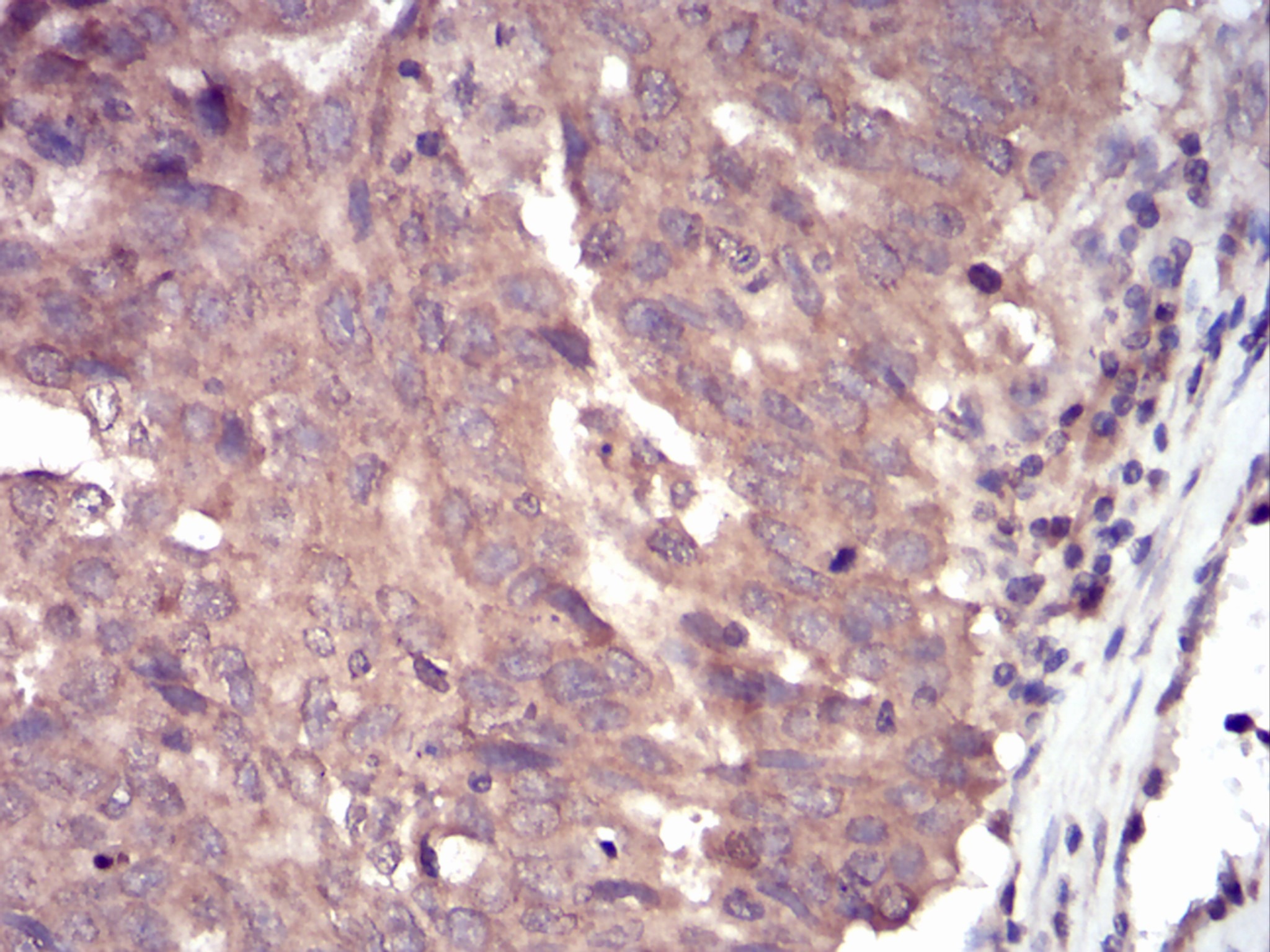
1. Immunohistochemical analysis of paraffin-embedded human ovarian cancer tissue using anti- Slingshot homolog 1 antibody. Counter stained with hematoxylin.
2. Flow cytometric analysis of Hela cells with Slingshot homolog 1 antibody at 1/100 dilution (green) compared with an unlabelled control (cells without incubation with primary antibody; red).
verifiedActivityverifiedActivity
应用FCMIHC
推荐剂量
IHC: 1:50-200; FCM: 1:50-100
抗体种类
Monoclonal
宿主来源Mouse
构建方式Hybridoma Monoclonal Antibody
纯化方式ProA affinity purified
性状Liquid
缓冲液1*TBS (pH7.4), 1%BSA, 40%Glycerol. Preservative: 0.05% Sodium Azide.
研究背景Slingshot homolog (SSH) family of phosphatases, which regulate actin filament dynamics. The SSH proteins dephosphorylate and activate the actin binding/depolymerizing factor cofilin, which subsequently binds to actin filaments and stimulates their disassembly. Cofilin is inactivated by kinases such as LIM domain kinase-1 (LIMK1), which may also be dephosphorylated and inactivated by SSH proteins. The SSH family thus appears to play a role in actin dynamics by reactivating cofilin proteins. Alternatively spliced transcript variants encoding different isoforms have been described for this gene.
偶联与修饰
偶联
Unconjugated
抗原信息
免疫原
Recombinant Protein
Uniprot ID
化学信息
分子量Theoretical: 116 kDa.
储存&溶解度
储存方式Store at -20°C or -80°C for 12 months. Avoid repeated freeze-thaw cycles.
运输方式Shipping with blue ice.

计算器

  • 稀释 计算器
  • 配液 计算器
Related Tags: buy Anti-SLINGSHOT-1L Antibody (4Y112) | purchase Anti-SLINGSHOT-1L Antibody (4Y112) | Anti-SLINGSHOT-1L Antibody (4Y112) cost | order Anti-SLINGSHOT-1L Antibody (4Y112) | Anti-SLINGSHOT-1L Antibody (4Y112) molecular weight