购物车
  • TargetMol
    您的购物车当前为空

Anti-SLC1A3 Polyclonal Antibody

Synonyms: Solute carrier family 1 member 3, Sodium-dependent glutamate/aspartate transporter 1 (GLAST-1), SLC1A3, GLAST1, GLAST, Excitatory amino acid transporter 1, EAAT1
货号 TMAB-01705 一键复制产品信息
Rating icon 还可以
202603开学季活动

Anti-SLC1A3 Polyclonal Antibody 是一种 Rabbit 抗体,靶向 SLC1A3。Anti-SLC1A3 Polyclonal Antibody 可用于 FCM,IF,IHC-Fr,IHC-P,WB。

Anti-SLC1A3 Polyclonal Antibody

一键复制产品信息
Rating icon 还可以
202603开学季活动
货号 TMAB-01705

别名 Solute carrier family 1 member 3, Sodium-dependent glutamate/aspartate transporter 1 (GLAST-1), SLC1A3, GLAST1, GLAST, Excitatory amino acid transporter 1, EAAT1

Anti-SLC1A3 Polyclonal Antibody 是一种 Rabbit 抗体,靶向 SLC1A3。Anti-SLC1A3 Polyclonal Antibody 可用于 FCM,IF,IHC-Fr,IHC-P,WB。

Anti-SLC1A3 Polyclonal Antibody
规格价格库存数量
50 μL
¥ 1,160
5日内发货
100 μL
¥ 1,975
5日内发货
200 μL
¥ 2,785
5日内发货
库存状态实时更新,以官网显示为准,现货产品可直接加购物车下单
大包装 & 定制
加入购物车

TargetMol的所有产品仅用作科学研究或药证申报,不能被用于人体,我们不向个人提供产品和服务。请您遵守承诺用途,不得违反法律法规规定用于任何其他用途。

实验操作小课堂
常见问题解答
查看更多

资源下载:产品操作手册

产品介绍


生物活性
产品描述
Anti-SLC1A3 Polyclonal Antibody is a Rabbit antibody targeting SLC1A3. Anti-SLC1A3 Polyclonal Antibody can be used in FCM,IF,IHC-Fr,IHC-P,WB.
别名
Solute carrier family 1 member 3, Sodium-dependent glutamate/aspartate transporter 1 (GLAST-1), SLC1A3, GLAST1, GLAST, Excitatory amino acid transporter 1, EAAT1
Ig Type
IgG
反应种属
Human,Mouse,Rat
验证活性
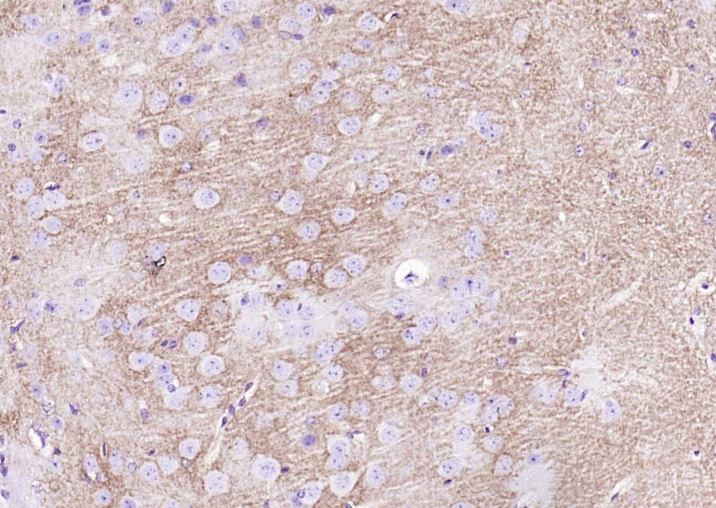
1. Paraformaldehyde-fixed, paraffin embedded (mouse brain); Antigen retrieval by boiling in sodium citrate buffer (pH6.0) for 15 min; Block endogenous peroxidase by 3% hydrogen peroxide for 20 min; Blocking buffer (normal goat serum) at 37°C for 30 min; Antibody incubation with (EAAT1) Polyclonal Antibody, Unconjugated (TMAB-01705) at 1:200 overnight at 4°C, followed by operating according to SP Kit (Rabbit) instructionsand DAB staining.
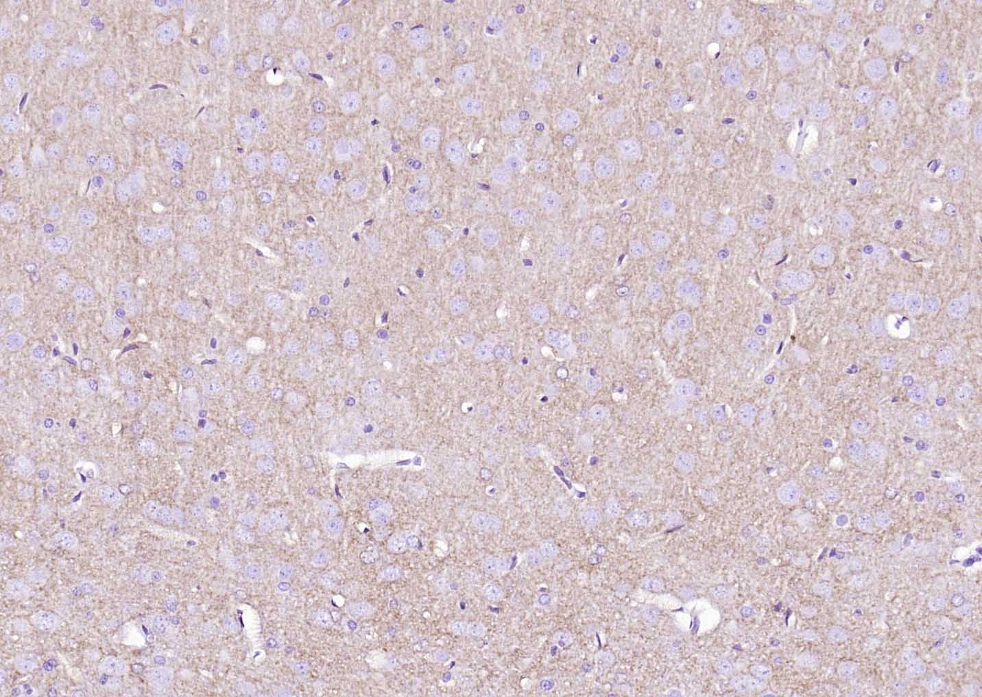
2. Paraformaldehyde-fixed, paraffin embedded (rat brain); Antigen retrieval by boiling in sodium citrate buffer (pH6.0) for 15 min; Block endogenous peroxidase by 3% hydrogen peroxide for 20 min; Blocking buffer (normal goat serum) at 37°C for 30 min; Antibody incubation with (EAAT1) Polyclonal Antibody, Unconjugated (TMAB-01705) at 1:200 overnight at 4°C, followed by operating according to SP Kit (Rabbit) instructionsand DAB staining.
3. Sample:
Lane 1: U87MG (Human) Cell Lysate at 30 μg
Lane 2: U251 (Human) Cell Lysate at 30 μg
Primary: Anti-EAAT1 (TMAB-01705) at 1/1000 dilution
Secondary: IRDye800CW Goat Anti-Rabbit IgG at 1/20000 dilution
Predicted band size: 60 kDa
Observed band size: 60 kDa
4. Blank control: U87MG.
Primary Antibody (green line): Rabbit Anti-EAAT1 antibody (TMAB-01705)
Dilution: 1 μg/10^6 cells;
Isotype Control Antibody (orange line): Rabbit IgG.
Secondary Antibody: Goat anti-rabbit IgG-PE
Dilution: 1 μg/test.
The cells were incubated in 5% BSA to block non-specific protein-protein interactions for 30 min at at room temperature. Cells stained with Primary Antibody for 30 min at room temperature. The secondary antibody used for 40 min at room temperature.
verifiedActivityverifiedActivityverifiedActivityverifiedActivity
应用FCMIFIHC-FrIHC-PWB
推荐剂量
WB: 1:500-2000; IHC-P: 1:100-500; IHC-Fr: 1:100-500; IF: 1:100-500; FCM: 1μg/Test
抗体种类
Polyclonal
宿主来源Rabbit
亚细胞定位Membrane; Multi-pass membrane protein
组织特异性Highly expressed in cerebellum, but also found in frontal cortex, hippocampus and basal ganglia.
构建方式Polyclonal Antibody
纯化方式Protein A purified
性状Liquid
缓冲液0.01M TBS (pH7.4) with 1% BSA, 0.02% Proclin300 and 50% Glycerol.
浓度1 mg/mL
研究背景This gene encodes a member of a member of a high affinity glutamate transporter family. This gene functions in the termination of excitatory neurotransmission in central nervous system. Mutations are associated with episodic ataxia, Type 6. Alternative splicing results in multiple transcript variants.[provided by RefSeq, Feb 2014]
抗原信息
免疫原
KLH conjugated synthetic peptide: human EAAT1
抗原种属
Human
基因名称
SLC1A3
基因ID
蛋白名称
Excitatory amino acid transporter 1
Uniprot ID
研究领域
Aspartate,Glutamate,Glutamate
功能
Transports L-glutamate and also L- and D-aspartate. Essential for terminating the postsynaptic action of glutamate by rapidly removing released glutamate from the synaptic cleft. Acts as a symport by cotransporting sodium.
化学信息
分子量Theoretical: 60 kDa. Actual: 60 kDa.
储存&溶解度
储存方式Store at -20°C or -80°C for 12 months. Avoid repeated freeze-thaw cycles.
运输方式Shipping with blue ice.

计算器

  • 稀释 计算器
  • 配液 计算器
Related Tags: buy Anti-SLC1A3 Polyclonal Antibody | purchase Anti-SLC1A3 Polyclonal Antibody | Anti-SLC1A3 Polyclonal Antibody cost | order Anti-SLC1A3 Polyclonal Antibody | Anti-SLC1A3 Polyclonal Antibody molecular weight