购物车
  • 全部删除
  • TargetMol
    您的购物车当前为空

Anti-SHP-1 Antibody (7A74)

Rating icon 还可以
产品编号 TMAC-03746
别名 SH-PTP1, SHP-1, PTPTY-42, Ptp1C, protein tyrosine phosphatase, non-receptor type 6, me, Hcph, hcp, 70Z-SHP

Anti-SHP-1 Antibody (7A74) 是一种 Rabbit 抗体,靶向 SHP-1。Anti-SHP-1 Antibody (7A74) 可用于 FCM,ICC/IF,IHC,IP,WB。

Anti-SHP-1 Antibody (7A74)

Anti-SHP-1 Antibody (7A74)

一键复制产品信息
Rating icon 还可以
产品编号 TMAC-03746 别名 SH-PTP1, SHP-1, PTPTY-42, Ptp1C, protein tyrosine phosphatase, non-receptor type 6, me, Hcph, hcp, 70Z-SHP

Anti-SHP-1 Antibody (7A74) 是一种 Rabbit 抗体,靶向 SHP-1。Anti-SHP-1 Antibody (7A74) 可用于 FCM,ICC/IF,IHC,IP,WB。

规格价格库存数量
50 μL
¥ 1,480
5日内发货
100 μL
¥ 2,485
5日内发货
大包装 & 定制
加入购物车
TargetMol 的所有产品仅用作科学研究或药证申报,不能被用于人体,我们不向个人提供产品和服务。请您遵守承诺用途,不得违反法律法规规定用于任何其他用途。
实验操作小课堂
常见问题解答
查看更多
联系我们获取更多批次信息
资源下载

产品介绍

生物活性
产品描述
Anti-SHP-1 Antibody (7A74) is a Rabbit antibody targeting SHP-1. Anti-SHP-1 Antibody (7A74) can be used in FCM,ICC/IF,IHC,IP,WB.
别名SH-PTP1, SHP-1, PTPTY-42, Ptp1C, protein tyrosine phosphatase, non-receptor type 6, me, Hcph, hcp, 70Z-SHP
Ig Type
IgG
克隆号
7A74
交叉反应
Human,Mouse,Rat
验证活性
1. Western blot analysis of SHP1 on Raji cell lysates using anti-SHP1 antibody at 1/500 dilution.
2. Immunohistochemical analysis of paraffin-embedded rat brain tissue using anti-SHP1 antibody. Counter stained with hematoxylin.
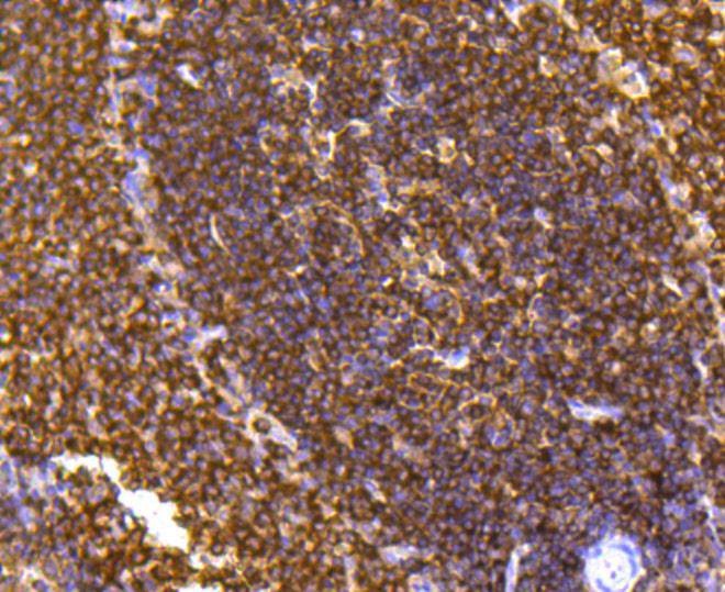
3. Immunohistochemical analysis of paraffin-embedded rat spleen tissue using anti-SHP1 antibody. Counter stained with hematoxylin.
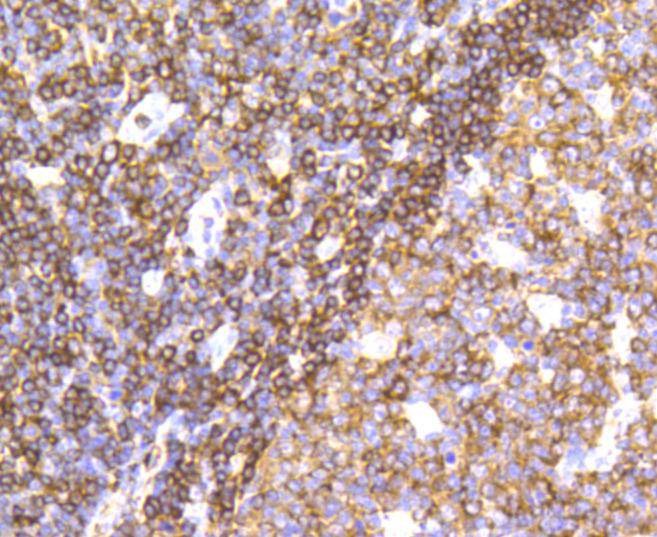
4. Immunohistochemical analysis of paraffin-embedded human tonsil tissue using anti-SHP1 antibody. Counter stained with hematoxylin.
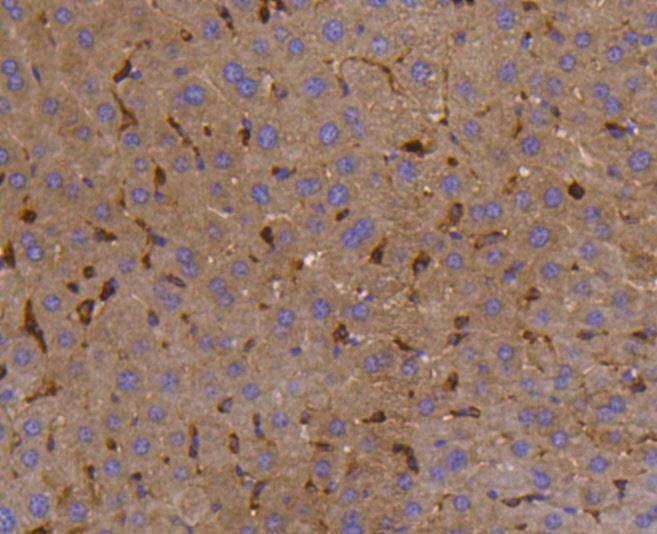
5. Immunohistochemical analysis of paraffin-embedded mouse liver tissue using anti-SHP1 antibody. Counter stained with hematoxylin.
6. Immunohistochemical analysis of paraffin-embedded mouse brain tissue using anti-SHP1 antibody. Counter stained with hematoxylin.
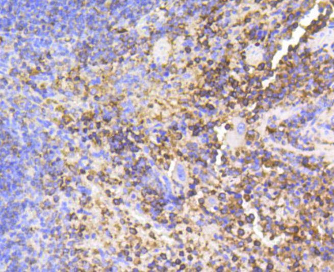
7. Immunohistochemical analysis of paraffin-embedded mouse spleen tissue using anti-SHP1 antibody. Counter stained with hematoxylin.
8. ICC staining SHP1 in Hela cells (green). The nuclear counter stain is DAPI (blue). Cells were fixed in paraformaldehyde, permeabilised with 0.25% Triton X100/PBS.
9. ICC staining SHP1 in HepG2 cells (green). The nuclear counter stain is DAPI (blue). Cells were fixed in paraformaldehyde, permeabilised with 0.25% Triton X100/PBS.
10. Flow cytometric analysis of Hela cells with SHP1 antibody at 1/50 dilution (blue) compared with an unlabelled control (cells without incubation with primary antibody; red). Alexa Fluor 488-conjugated goat anti rabbit IgG was used as the secondary antibody.
verifiedActivityverifiedActivityverifiedActivityverifiedActivityverifiedActivityverifiedActivityverifiedActivityverifiedActivityverifiedActivityverifiedActivity
应用FCMICC/IFIHCIPWB
推荐剂量
WB: 1:500-1000; IHC: 1:50-200; ICC/IF: 1:50-200; FCM: 1:50-100
抗体种类
Monoclonal
宿主来源Rabbit
构建方式Recombinant Antibody
纯化方式ProA affinity purified
性状Liquid
缓冲液1*TBS (pH7.4), 1%BSA, 40%Glycerol. Preservative: 0.05% Sodium Azide.
研究背景The steady state of protein tyrosyl phosphorylation in cells is regulated by the opposing action of tyrosine kinases and protein tyrosine phosphatases (PTPs). Several groups have independently identified a non-transmembrane PTP, designated SH-PTP1 (also known as PTP1C, HCP and SHP), which is primarily expressed in hematopoietic cells and characterized by the presence of two SH2 domains N-terminal to the PTP domain. SH2 domains generally mediate the association of regulatory molecules with specific phosphotyrosine-containing sites on autophosphorylated receptors, thereby controlling the initial interaction of receptors with these substrates. A second and much more widely expressed PTP with SH2 domains, SH-PTP2 (also designated PTP1D and Syp), has been identified. Strong sequence similarity between SH-PTP2 and the Drosophila gene corkscrew (CSW) and their similar patterns of expression suggest that SH-PTP2 is the human corkscrew homolog.
偶联与修饰
偶联
Unconjugated
抗原信息
免疫原
Recombinant Protein
Uniprot ID
化学信息
分子量Theoretical: 68 kDa.
存储&运输
储存方式Store at -20°C or -80°C for 12 months. Avoid repeated freeze-thaw cycles.
运输方式Shipping with blue ice.

计算器

  • 稀释 计算器

关键词

评论列表

4个月前
5.0
Rating icon 很棒

评论内容

Related Tags: buy Anti-SHP-1 Antibody (7A74) | purchase Anti-SHP-1 Antibody (7A74) | Anti-SHP-1 Antibody (7A74) cost | order Anti-SHP-1 Antibody (7A74) | Anti-SHP-1 Antibody (7A74) molecular weight