购物车
  • TargetMol
    您的购物车当前为空

Anti-SATB2 Antibody (4X996)

Synonyms: Special AT-rich sequence-binding protein 2, SATB 2, KIAA1034, DNA-binding protein SATB2
货号 TMAC-03688 一键复制产品信息
Rating icon 还可以

Anti-SATB2 Antibody (4X996) 是一种 Rabbit 抗体,靶向 SATB2。Anti-SATB2 Antibody (4X996) 可用于 FCM,ICC/IF,IHC,WB。

Anti-SATB2 Antibody (4X996)

一键复制产品信息
Rating icon 还可以
货号 TMAC-03688

别名 Special AT-rich sequence-binding protein 2, SATB 2, KIAA1034, DNA-binding protein SATB2

Anti-SATB2 Antibody (4X996) 是一种 Rabbit 抗体,靶向 SATB2。Anti-SATB2 Antibody (4X996) 可用于 FCM,ICC/IF,IHC,WB。

Anti-SATB2 Antibody (4X996)
规格价格库存数量
50 μL
¥ 1,490
5日内发货
100 μL
¥ 2,485
5日内发货
库存状态实时更新,以官网显示为准,现货产品可直接加购物车下单
大包装 & 定制
加入购物车

TargetMol的所有产品仅用作科学研究或药证申报,不能被用于人体,我们不向个人提供产品和服务。请您遵守承诺用途,不得违反法律法规规定用于任何其他用途。

实验操作小课堂
常见问题解答
查看更多

资源下载:产品操作手册

产品介绍


生物活性
产品描述
Anti-SATB2 Antibody (4X996) is a Rabbit antibody targeting SATB2. Anti-SATB2 Antibody (4X996) can be used in FCM,ICC/IF,IHC,WB.
别名
Special AT-rich sequence-binding protein 2, SATB 2, KIAA1034, DNA-binding protein SATB2
Ig Type
IgG
克隆号
4X996
反应种属
Human,Mouse,Rat
验证活性
1. Western blot analysis of SATB2 on THP-1 cell using anti-SATB2 antibody at 1/500 dilution.
2. Immunohistochemical analysis of paraffin-embedded rat brain tissue using anti-SATB2 antibody. Counter stained with hematoxylin.
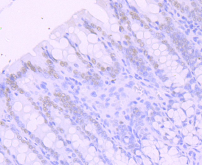
3. Immunohistochemical analysis of paraffin-embedded rat large intestine tissue using anti-SATB2 antibody. Counter stained with hematoxylin.
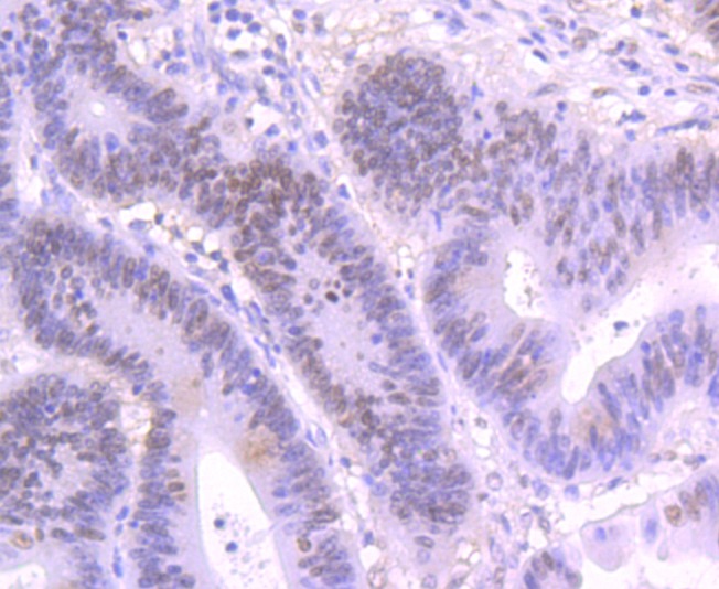
4. Immunohistochemical analysis of paraffin-embedded human colon cancer tissue using anti-SATB2 antibody. Counter stained with hematoxylin.
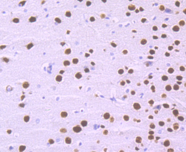
5. Immunohistochemical analysis of paraffin-embedded mouse brain tissue using anti-SATB2 antibody. Counter stained with hematoxylin.
6. ICC staining SATB2 in PC-12 cells (green). The nuclear counter stain is DAPI (blue). Cells were fixed in paraformaldehyde, permeabilised with 0.25% Triton X100/PBS.
7. ICC staining SATB2 in SH-SY5Y cells (green). The nuclear counter stain is DAPI (blue). Cells were fixed in paraformaldehyde, permeabilised with 0.25% Triton X100/PBS.
8. ICC staining SATB2 in LOVO cells (green). The nuclear counter stain is DAPI (blue). Cells were fixed in paraformaldehyde, permeabilised with 0.25% Triton X100/PBS.
9. Flow cytometric analysis of SH-SY5Y cells with SATB2 antibody at 1/100 dilution (red) compared with an unlabelled control (cells without incubation with primary antibody; black).
verifiedActivityverifiedActivityverifiedActivityverifiedActivityverifiedActivityverifiedActivityverifiedActivityverifiedActivityverifiedActivity
应用FCMICC/IFIHCWB
推荐剂量
WB: 1:500-1000; IHC: 1:50-200; ICC/IF: 1:50-100; FCM: 1:50-100
抗体种类
Monoclonal
宿主来源Rabbit
构建方式Recombinant Antibody
纯化方式ProA affinity purified
性状Liquid
缓冲液1*TBS (pH7.4), 1%BSA, 40%Glycerol. Preservative: 0.05% Sodium Azide.
研究背景SATB2 (Special AT-rich sequence-binding protein 2) is a nuclear matrix protein that influences craniofacial formation mechanisms, such as jaw and palate development, and is part of a transcriptional network regulating skeletal development and osteoblast differentiation. Highly expressed in adult and fetal brain, SATB2 contains two CUT DNA-binding domains and one homeobox domain and is closely related to SATB1, a transcriptional repressor. SATB2 is thought to bind to matrix-attachment regions (MARs) and regulate MAR-dependent transcription of various genes, including HoxA2 and ATF4 (CREB-2), involved in skeletal development. Functioning as both a transcriptional activator and repressor, SATB2 can also act as a protein scaffold that can enhance the activity of other DNA-binding proteins. Defects in the gene encoding SATB2 are the cause of cleft palate manifested in conjunction with severe mental retardation.
偶联与修饰
偶联
Unconjugated
抗原信息
免疫原
Recombinant Protein
Uniprot ID
储存&溶解度
储存方式Store at -20°C or -80°C for 12 months. Avoid repeated freeze-thaw cycles.
运输方式Shipping with blue ice.

计算器

  • 稀释 计算器
  • 配液 计算器
Related Tags: buy Anti-SATB2 Antibody (4X996) | purchase Anti-SATB2 Antibody (4X996) | Anti-SATB2 Antibody (4X996) cost | order Anti-SATB2 Antibody (4X996)