购物车
  • TargetMol
    您的购物车当前为空

Anti-S100A9 Antibody (9D154)

Synonyms: S100 calcium binding protein A9, P14, NIF, MRP-14, MRP14, MIF, MAC387, LIAG, L1AG, CGLB, CFAG, CAGB, 60B8AG
货号 TMAC-03675 一键复制产品信息
Rating icon 还可以
202603开学季活动

Anti-S100A9 Antibody (9D154) 是一种 Rabbit 抗体,靶向 S100A9。Anti-S100A9 Antibody (9D154) 可用于 ICC/IF,IHC,WB。

Anti-S100A9 Antibody (9D154)

一键复制产品信息
Rating icon 还可以
202603开学季活动
货号 TMAC-03675

别名 S100 calcium binding protein A9, P14, NIF, MRP-14, MRP14, MIF, MAC387, LIAG, L1AG, CGLB, CFAG, CAGB, 60B8AG

Anti-S100A9 Antibody (9D154) 是一种 Rabbit 抗体,靶向 S100A9。Anti-S100A9 Antibody (9D154) 可用于 ICC/IF,IHC,WB。

Anti-S100A9 Antibody (9D154)
规格价格库存数量
50 μL
¥ 1,480
5日内发货
100 μL
¥ 2,480
5日内发货
库存状态实时更新,以官网显示为准,现货产品可直接加购物车下单
大包装 & 定制
加入购物车

TargetMol的所有产品仅用作科学研究或药证申报,不能被用于人体,我们不向个人提供产品和服务。请您遵守承诺用途,不得违反法律法规规定用于任何其他用途。

实验操作小课堂
常见问题解答
查看更多

资源下载:产品操作手册

产品介绍


生物活性
产品描述
Anti-S100A9 Antibody (9D154) is a Rabbit antibody targeting S100A9. Anti-S100A9 Antibody (9D154) can be used in ICC/IF,IHC,WB.
别名
S100 calcium binding protein A9, P14, NIF, MRP-14, MRP14, MIF, MAC387, LIAG, L1AG, CGLB, CFAG, CAGB, 60B8AG
Ig Type
IgG
克隆号
9D154
反应种属
Human
验证活性
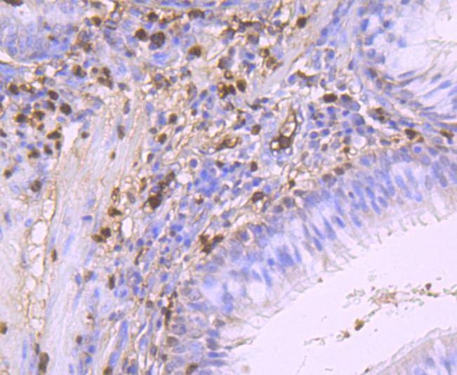
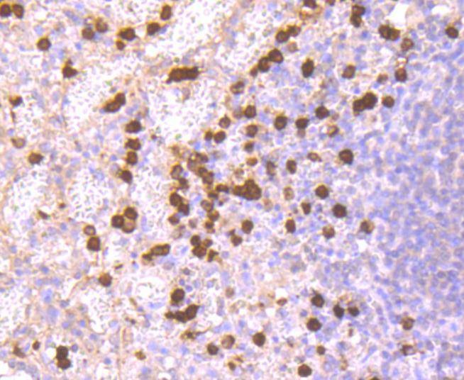
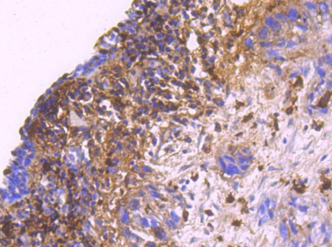
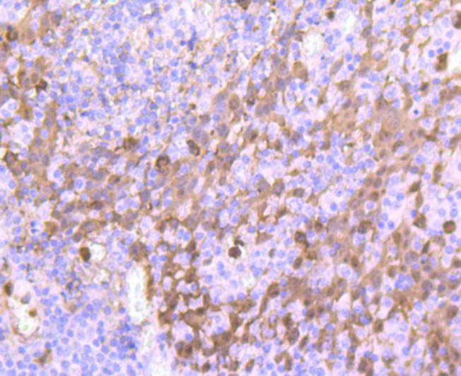
1. Immunohistochemical analysis of paraffin-embedded human tonsil tissue using anti-S100A9 antibody. Counter stained with hematoxylin.
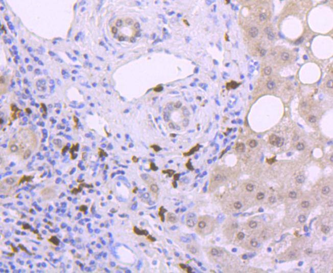
2. Immunohistochemical analysis of paraffin-embedded human liver cancer tissue using anti-S100A9 antibody. Counter stained with hematoxylin.
3. Immunohistochemical analysis of paraffin-embedded human breast carcinoma tissue using anti-S100A9 antibody. Counter stained with hematoxylin.
4. Immunohistochemical analysis of paraffin-embedded human lung cancer tissue using anti-S100A9 antibody. Counter stained with hematoxylin.
5. Immunohistochemical analysis of paraffin-embedded human spleen tissue using anti-S100A9 antibody. Counter stained with hematoxylin.
6. ICC staining S100A9 in A549 cells (red). The nuclear counter stain is DAPI (blue). Cells were fixed in paraformaldehyde, permeabilised with 0.25% Triton X100/PBS.
7. ICC staining S100A9 in Hela cells (red). The nuclear counter stain is DAPI (blue). Cells were fixed in paraformaldehyde, permeabilised with 0.25% Triton X100/PBS.
8. ICC staining S100A9 in HepG2 cells (red). The nuclear counter stain is DAPI (blue). Cells were fixed in paraformaldehyde, permeabilised with 0.25% Triton X100/PBS.
verifiedActivityverifiedActivityverifiedActivityverifiedActivityverifiedActivityverifiedActivityverifiedActivityverifiedActivity
应用ICC/IFIHCWB
推荐剂量
WB: 1:1000; IHC: 1:50-200; ICC/IF: 1:50-200
抗体种类
Monoclonal
宿主来源Rabbit
构建方式Recombinant Antibody
纯化方式ProA affinity purified
性状Liquid
缓冲液1*TBS (pH7.4), 1%BSA, 40%Glycerol. Preservative: 0.05% Sodium Azide.
研究背景The family of EF-hand type Ca2+-binding proteins includes Calbindin (previously designated vitamin D-dependent Ca2+-binding protein), S-100α and β, Calgranulin A (also designated MRP8), Calgranulin B (also designated MRP14) and Calgranulin C (S-100 like protein), and the parvalbumin family members, including parvalbumin α and parvalbumin β (also designated oncomodulin). Calbindin, S-100 proteins and parvalbumin proteins are each expressed in neural tissues. In addition, S-100α and β are present in a variety of other tissues, and Calbindin is present in intestine and kidney. Parvalbumin α is also found in fast-contracting/relaxing skeletal muscle fibers and parvalbumin β is found in many tumor tissues as well as in the organ of Corti. Calbindin, S-100 proteins and parvalbulmins have all been detected in leydig cells and testis. These proteins are thought to play a role in hormone production and spermatogenesis. Calgranulin is expressed in macrophages and epithelial cells.
偶联与修饰
偶联
Unconjugated
抗原信息
免疫原
Recombinant Protein
Uniprot ID
化学信息
分子量Theoretical: 14 kDa.
储存&溶解度
储存方式Store at -20°C or -80°C for 12 months. Avoid repeated freeze-thaw cycles.
运输方式Shipping with blue ice.

计算器

  • 稀释 计算器
  • 配液 计算器
Related Tags: buy Anti-S100A9 Antibody (9D154) | purchase Anti-S100A9 Antibody (9D154) | Anti-S100A9 Antibody (9D154) cost | order Anti-S100A9 Antibody (9D154) | Anti-S100A9 Antibody (9D154) molecular weight