购物车
  • TargetMol
    您的购物车当前为空

Anti-S100A4 Polyclonal Antibody

Synonyms: S100 calcium binding protein A4, PEL98, P9KA, MTS1, CAPL, 42A, 18A2
货号 TMAB-01643 一键复制产品信息
Rating icon 还可以
202603开学季活动

Anti-S100A4 Polyclonal Antibody 是一种 Rabbit 抗体,靶向 S100A4。Anti-S100A4 Polyclonal Antibody 可用于 FCM,IF,IHC-Fr,IHC-P。

Anti-S100A4 Polyclonal Antibody

一键复制产品信息
Rating icon 还可以
202603开学季活动
货号 TMAB-01643

别名 S100 calcium binding protein A4, PEL98, P9KA, MTS1, CAPL, 42A, 18A2

Anti-S100A4 Polyclonal Antibody 是一种 Rabbit 抗体,靶向 S100A4。Anti-S100A4 Polyclonal Antibody 可用于 FCM,IF,IHC-Fr,IHC-P。

Anti-S100A4 Polyclonal Antibody
规格价格库存数量
50 μL
¥ 1,170
5日内发货
100 μL
¥ 1,960
5日内发货
200 μL
¥ 2,790
5日内发货
库存状态实时更新,以官网显示为准,现货产品可直接加购物车下单
大包装 & 定制
加入购物车

TargetMol的所有产品仅用作科学研究或药证申报,不能被用于人体,我们不向个人提供产品和服务。请您遵守承诺用途,不得违反法律法规规定用于任何其他用途。

实验操作小课堂
常见问题解答
查看更多

资源下载:产品操作手册

产品介绍


生物活性
产品描述
Anti-S100A4 Polyclonal Antibody is a Rabbit antibody targeting S100A4. Anti-S100A4 Polyclonal Antibody can be used in FCM,IF,IHC-Fr,IHC-P.
别名
S100 calcium binding protein A4, PEL98, P9KA, MTS1, CAPL, 42A, 18A2
Ig Type
IgG
反应种属
Human,Mouse,Rat (predicted:Dog,Pig,Cow,Horse,Rabbit,GuineaPig)
验证活性
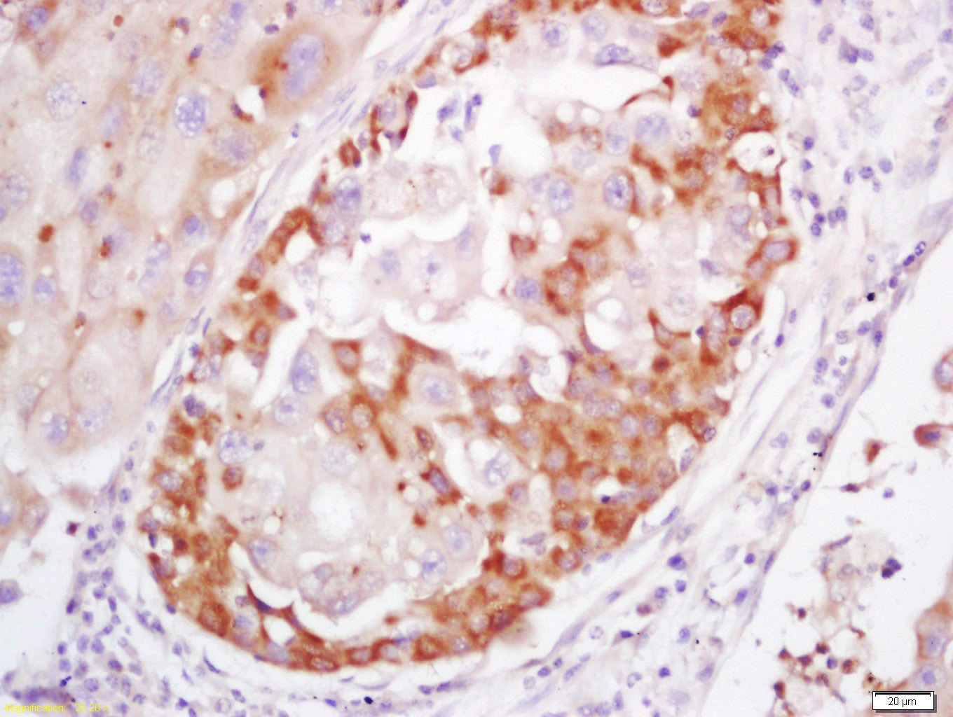
1. Paraformaldehyde-fixed, paraffin embedded (Human breast carcinoma); Antigen retrieval by boiling in sodium citrate buffer (pH6.0) for 15 min; Block endogenous peroxidase by 3% hydrogen peroxide for 20 min; Blocking buffer (normal goat serum) at 37°C for 30 min; Antibody incubation with (S100A4) Polyclonal Antibody, Unconjugated (TMAB-01643) at 1:400 overnight at 4°C, followed by operating according to SP Kit (Rabbit) instructionsand DAB staining.
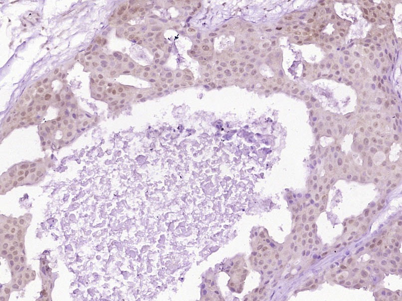
2. Tissue/cell: human lung cancer; 4% Paraformaldehyde-fixed and paraffin-embedded;
Antigen retrieval: citrate buffer (0.01M, pH6.0), Boiling bathing for 15 min; Block endogenous peroxidase by 3% Hydrogen peroxide for 30 min; Blocking buffer (normal goat serum) at 37°C for 20 min;
Incubation: Anti-S100A4 Polyclonal Antibody, Unconjugated (TMAB-01643) 1:200, overnight at 4°C, followed by conjugation to the secondary antibody and DAb staining.
3. Paraformaldehyde-fixed, paraffin embedded (Rat bladder); Antigen retrieval by boiling in sodium citrate buffer (pH6.0) for 15 min; Block endogenous peroxidase by 3% hydrogen peroxide for 20 min; Blocking buffer (normal goat serum) at 37°C for 30 min; Antibody incubation with (S100A4) Polyclonal Antibody, Unconjugated (TMAB-01643) at 1:200 overnight at 4°C, followed by operating according to SP Kit (Rabbit) instructionsand DAB staining.
4. Paraformaldehyde-fixed, paraffin embedded (mouse bladder); Antigen retrieval by boiling in sodium citrate buffer (pH6.0) for 15 min; Block endogenous peroxidase by 3% hydrogen peroxide for 20 min; Blocking buffer (normal goat serum) at 37°C for 30 min; Antibody incubation with (S100A4) Polyclonal Antibody, Unconjugated (TMAB-01643) at 1:200 overnight at 4°C, followed by operating according to SP Kit (Rabbit) instructionsand DAB staining.
5. Blank control: THP-1. Primary Antibody (green line): Rabbit Anti-S100A4 antibody (TMAB-01643)
Dilution: 1 μg/Test;
Secondary Antibody: Goat anti-rabbit IgG-FITC
Dilution: 0.5 μg/Test.
Protocol
The cells were fixed with 4% PFA (10 min at room temperature) and then permeabilized with 90% ice-cold methanol for 20 min at-20°C. The cells were then incubated in 5% BSA to block non-specific protein-protein interactions for 30 min at room temperature. Cells stained with Primary Antibody for 30 min at room temperature. The secondary antibody used for 40 min at room temperature.
verifiedActivityverifiedActivityverifiedActivityverifiedActivityverifiedActivity
应用FCMIFIHC-FrIHC-P
推荐剂量
IHC-P: 1:100-500; IHC-Fr: 1:100-500; IF: 1:100-500; FCM: 1ug/Test
抗体种类
Polyclonal
宿主来源Rabbit
组织特异性Ubiquitously expressed.
构建方式Polyclonal Antibody
纯化方式Protein A purified
性状Liquid
缓冲液0.01M TBS (pH7.4) with 1% BSA, 0.02% Proclin300 and 50% Glycerol.
浓度1 mg/mL
研究背景The protein encoded by this gene is a member of the S100 family of proteins containing 2 EF-hand calcium-binding motifs. S100 proteins are localized in the cytoplasm and/or nucleus of a wide range of cells, and involved in the regulation of a number of cellular processes such as cell cycle progression and differentiation. S100 genes include at least 13 members which are located as a cluster on chromosome 1q21. This protein may function in motility, invasion, and tubulin polymerization. Chromosomal rearrangements and altered expression of this gene have been implicated in tumor metastasis. Multiple alternatively spliced variants, encoding the same protein, have been identified. [provided by RefSeq, Jul 2008]
抗原信息
免疫原
KLH conjugated synthetic peptide: human S100A4
抗原种属
Human
基因名称
S100A4
基因ID
蛋白名称
Protein S100-A4
Uniprot ID
研究领域
Extracellular matrix,Angiogenic Factors,Myocardial regeneration,Calcium Binding Proteins
化学信息
分子量Theoretical: 12 kDa.
储存&溶解度
储存方式Store at -20°C or -80°C for 12 months. Avoid repeated freeze-thaw cycles.
运输方式Shipping with blue ice.

计算器

  • 稀释 计算器
  • 配液 计算器
Related Tags: buy Anti-S100A4 Polyclonal Antibody | purchase Anti-S100A4 Polyclonal Antibody | Anti-S100A4 Polyclonal Antibody cost | order Anti-S100A4 Polyclonal Antibody | Anti-S100A4 Polyclonal Antibody molecular weight