购物车
  • TargetMol
    您的购物车当前为空

Anti-RUNX1/RUNX2/RUNX3/RUNX2/RUNX3 Antibody (4N296)

Synonyms: Runx 1, Runt-related transcription factor 1, Polyomavirus enhancer-binding protein 2 alpha B subunit (PEA2-alpha B, PEBP2-α B), PEA2-alpha B, Oncogene AML-1, Core-binding factor subunit α-2 (CBF-α-2), Core-binding factor subunit alpha-2 (CBF-alpha-2), Core-binding factor subunit a-2 (CBF-a-2), Cbfa 2, Acute myeloid leukemia 1 protein
货号 TMAC-03660 一键复制产品信息
Rating icon 还可以
202603开学季活动

Anti-RUNX1/RUNX2/RUNX3 Antibody (4N296) 是一种 Rabbit 抗体,靶向 RUNX1/RUNX2/RUNX3。Anti-RUNX1/RUNX2/RUNX3 Antibody (4N296) 可用于 FCM,ICC/IF,IHC,IP,WB。

Anti-RUNX1/RUNX2/RUNX3/RUNX2/RUNX3 Antibody (4N296)

一键复制产品信息
Rating icon 还可以
202603开学季活动
货号 TMAC-03660

别名 Runx 1, Runt-related transcription factor 1, Polyomavirus enhancer-binding protein 2 alpha B subunit (PEA2-alpha B, PEBP2-α B), PEA2-alpha B, Oncogene AML-1, Core-binding factor subunit α-2 (CBF-α-2), Core-binding factor subunit alpha-2 (CBF-alpha-2), Core-binding factor subunit a-2 (CBF-a-2), Cbfa 2, Acute myeloid leukemia 1 protein

Anti-RUNX1/RUNX2/RUNX3 Antibody (4N296) 是一种 Rabbit 抗体,靶向 RUNX1/RUNX2/RUNX3。Anti-RUNX1/RUNX2/RUNX3 Antibody (4N296) 可用于 FCM,ICC/IF,IHC,IP,WB。

Anti-RUNX1/RUNX2/RUNX3/RUNX2/RUNX3 Antibody (4N296)
规格价格库存数量
50 μL
¥ 1,490
5日内发货
100 μL
¥ 2,490
5日内发货
库存状态实时更新,以官网显示为准,现货产品可直接加购物车下单
大包装 & 定制
加入购物车

TargetMol的所有产品仅用作科学研究或药证申报,不能被用于人体,我们不向个人提供产品和服务。请您遵守承诺用途,不得违反法律法规规定用于任何其他用途。

实验操作小课堂
常见问题解答
查看更多

资源下载:产品操作手册

产品介绍


生物活性
产品描述
Anti-RUNX1/RUNX2/RUNX3 Antibody (4N296) is a Rabbit antibody targeting RUNX1/RUNX2/RUNX3. Anti-RUNX1/RUNX2/RUNX3 Antibody (4N296) can be used in FCM,ICC/IF,IHC,IP,WB.
别名
Runx 1, Runt-related transcription factor 1, Polyomavirus enhancer-binding protein 2 alpha B subunit (PEA2-alpha B, PEBP2-α B), PEA2-alpha B, Oncogene AML-1, Core-binding factor subunit α-2 (CBF-α-2), Core-binding factor subunit alpha-2 (CBF-alpha-2), Core-binding factor subunit a-2 (CBF-a-2), Cbfa 2, Acute myeloid leukemia 1 protein
Ig Type
IgG
克隆号
4N296
反应种属
Human,Mouse,Rat
验证活性
1. Western blot analysis of RUNX1+RUNX2+RUNX3 on Jurkat cells lysates using anti-RUNX1+RUNX2+RUNX3 antibody at 1/1,000 dilution.
2. Immunohistochemical analysis of paraffin-embedded mouse testis tissue using anti-RUNX1+RUNX2+RUNX3 antibody. Counter stained with hematoxylin.
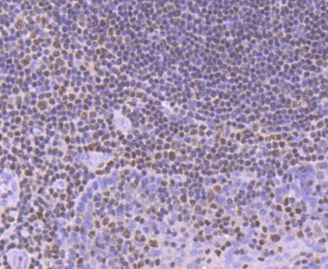
3. Immunohistochemical analysis of paraffin-embedded human tonsil tissue using anti-RUNX1+RUNX2+RUNX3 antibody. Counter stained with hematoxylin.
4. ICC staining RUNX1+RUNX2+RUNX3 in N2A cells (green). The nuclear counter stain is DAPI (blue). Cells were fixed in paraformaldehyde, permeabilised with 0.25% Triton X100/PBS.
5. ICC staining RUNX1+RUNX2+RUNX3 in MCF-7 cells (green). The nuclear counter stain is DAPI (blue). Cells were fixed in paraformaldehyde, permeabilised with 0.25% Triton X100/PBS.
6. ICC staining RUNX1+RUNX2+RUNX3 in SHG-44 cells (green). The nuclear counter stain is DAPI (blue). Cells were fixed in paraformaldehyde, permeabilised with 0.25% Triton X100/PBS.
7. Flow cytometric analysis of Jurkat cells with RUNX1+RUNX2+RUNX3 antibody at 1/50 dilution (red) compared with an unlabelled control (cells without incubation with primary antibody; black). Alexa Fluor 488-conjugated goat anti rabbit IgG was used as the secondary antibody.
verifiedActivityverifiedActivityverifiedActivityverifiedActivityverifiedActivityverifiedActivityverifiedActivity
应用FCMICC/IFIHCIPWB
推荐剂量
WB: 1:1000-2000; IHC: 1:50-200; ICC/IF: 1:50-200; FCM: 1:50-100
抗体种类
Monoclonal
宿主来源Rabbit
构建方式Recombinant Antibody
纯化方式ProA affinity purified
性状Liquid
缓冲液1*TBS (pH7.4), 1%BSA, 40%Glycerol. Preservative: 0.05% Sodium Azide.
研究背景The mammalian Runt-related transcription factor (RUNX) family comprises three members, RUNX1 (also designated AML-1, PEBP2αB, CBFA2), RUNX2 (also designated AML-3, PEBP2αA, CBFA1, Osf2) and RUNX3 (also designated AML-2, PEBPαC, CBFA3). RUNX family members are DNA-binding proteins that regulate the expression of genes involved in cellular differentiation and cell cycle progression. RUNX1 is involved in hematopoiesis and is frequently targeted in human leukemia by chromosomal translocations that fuse the DNA-binding domain of RUNX1 to other transcription factors and corepressor molecules. In addition to its role in leukemogenesis, RUNX1 is also involved in sensory neuron diversification. RUNX1 promotes axonal growth, is selectively expressed in neural crest-derived TrkA+ sensory neurons and mediates TrkA transactivation in migratory neural crest cells. RUNX2 is essential for skeletal mineralization in that it stimulates osteoblast differentiation of mesenchymal stem cells, promotes chondrocyte hypertrophy and contributes to endothelial cell migration and vascular invasion of developing bones. Regulating RUNX2 expression may be a useful therapeutic tool for promoting bone formation. Mutations in the C-terminus of RUNX2 are associated with cleidocranial dysplasia syndrome, an autosomal-dominant skeletal dysplasia syndrome that is characterized by widely patent calvarial sutures, clavicular hypoplasia, supernumerary teeth, and short stature. RUNX3 is expressed in cells of hematopoietic origin, including myeloid and B-cell lines and spleen. By playing a role in controlling the growth and differentiation of gastric epithelial cells, RUNX3 is a strong candidate as a gastric cancer tumor suppressor. Specifically, hypermethylation inactivates the gene encoding RUNX3. The detection of hypermethylation at multiple regions within the RUNX3 CpG island may aid in the diagnosis and risk assessment of gastric cancer.
偶联与修饰
偶联
Unconjugated
抗原信息
免疫原
Recombinant Protein
Uniprot ID
化学信息
分子量Theoretical: 49 kDa.
储存&溶解度
储存方式Store at -20°C or -80°C for 12 months. Avoid repeated freeze-thaw cycles.
运输方式Shipping with blue ice.

计算器

  • 稀释 计算器
  • 配液 计算器
Related Tags: buy Anti-RUNX1/RUNX2/RUNX3/RUNX2/RUNX3 Antibody (4N296) | purchase Anti-RUNX1/RUNX2/RUNX3/RUNX2/RUNX3 Antibody (4N296) | Anti-RUNX1/RUNX2/RUNX3/RUNX2/RUNX3 Antibody (4N296) cost | order Anti-RUNX1/RUNX2/RUNX3/RUNX2/RUNX3 Antibody (4N296) | Anti-RUNX1/RUNX2/RUNX3/RUNX2/RUNX3 Antibody (4N296) molecular weight