购物车
  • TargetMol
    您的购物车当前为空

Anti-PTK2 Antibody (4L758)

Synonyms: PTK 2, Protein-tyrosine kinase 2, Protein phosphatase 1 regulatory subunit 71, PPP1R71, pp125FAK, p125FAK, FRNK, Focal adhesion kinase-related nonkinase, Focal adhesion kinase 1, FAK1, FAK, FADK 1, EC 2.7.10.2
货号 TMAC-01432 一键复制产品信息
Rating icon 还可以

Anti-PTK2 Antibody (4L758) 是一种 Rabbit 抗体,靶向 PTK2。Anti-PTK2 Antibody (4L758) 可用于 FCM,ICC/IF,IHC,IP,WB。

Anti-PTK2 Antibody (4L758)

一键复制产品信息
Rating icon 还可以
货号 TMAC-01432

别名 PTK 2, Protein-tyrosine kinase 2, Protein phosphatase 1 regulatory subunit 71, PPP1R71, pp125FAK, p125FAK, FRNK, Focal adhesion kinase-related nonkinase, Focal adhesion kinase 1, FAK1, FAK, FADK 1, EC 2.7.10.2

Anti-PTK2 Antibody (4L758) 是一种 Rabbit 抗体,靶向 PTK2。Anti-PTK2 Antibody (4L758) 可用于 FCM,ICC/IF,IHC,IP,WB。

Anti-PTK2 Antibody (4L758)
规格价格库存数量
50 μL
¥ 1,490
5日内发货
100 μL
¥ 2,495
5日内发货
库存状态实时更新,以官网显示为准,现货产品可直接加购物车下单
大包装 & 定制
加入购物车

TargetMol的所有产品仅用作科学研究或药证申报,不能被用于人体,我们不向个人提供产品和服务。请您遵守承诺用途,不得违反法律法规规定用于任何其他用途。

实验操作小课堂
常见问题解答
查看更多

资源下载:产品操作手册

产品介绍


生物活性
产品描述
Anti-PTK2 Antibody (4L758) is a Rabbit antibody targeting PTK2. Anti-PTK2 Antibody (4L758) can be used in FCM,ICC/IF,IHC,IP,WB.
别名
PTK 2, Protein-tyrosine kinase 2, Protein phosphatase 1 regulatory subunit 71, PPP1R71, pp125FAK, p125FAK, FRNK, Focal adhesion kinase-related nonkinase, Focal adhesion kinase 1, FAK1, FAK, FADK 1, EC 2.7.10.2
Ig Type
IgG
克隆号
4L758
反应种属
Human,Mouse,Rat
验证活性
1. Western blot analysis of FAK on different lysates using anti-FAK antibody at 1/1,000 dilution. Positive control: Lane 1: Hela, Lane 2: Mouse spleen.
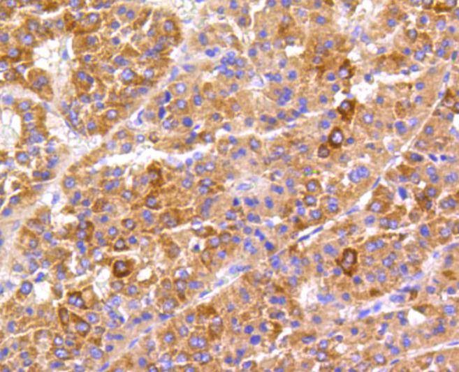
2. Immunohistochemical analysis of paraffin-embedded huamn liver cancer tissue using anti-FAK antibody. Counter stained with hematoxylin.
3. Immunohistochemical analysis of paraffin-embedded human spleen tissue using anti-FAK antibody. Counter stained with hematoxylin.
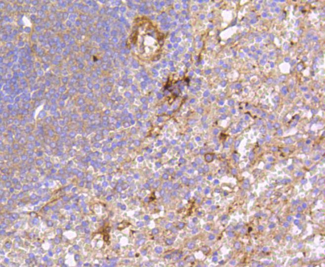
4. Immunohistochemical analysis of paraffin-embedded mouse brain tissue using anti-FAK antibody. Counter stained with hematoxylin.
5. Immunohistochemical analysis of paraffin-embedded mouse spleen tissue using anti-FAK antibody. Counter stained with hematoxylin.
6. ICC staining FAK in PANC-1 cells (green). The nuclear counter stain is DAPI (blue). Cells were fixed in paraformaldehyde, permeabilised with 0.25% Triton X100/PBS.
7. ICC staining FAK in SH-SY-5Y cells (green). The nuclear counter stain is DAPI (blue). Cells were fixed in paraformaldehyde, permeabilised with 0.25% Triton X100/PBS.
8. Flow cytometric analysis of Hela cells with FAK antibody at 1/50 dilution (blue) compared with an unlabelled control (cells without incubation with primary antibody; red). Alexa Fluor 488-conjugated goat anti rabbit IgG was used as the secondary antibody.
verifiedActivityverifiedActivityverifiedActivityverifiedActivityverifiedActivityverifiedActivityverifiedActivityverifiedActivity
应用FCMICC/IFIHCIPWB
推荐剂量
WB: 1:1000-2000; IHC: 1:50-200; ICC/IF: 1:50-200; FCM: 1:50-100
抗体种类
Monoclonal
宿主来源Rabbit
构建方式Recombinant Antibody
纯化方式ProA affinity purified
性状Liquid
缓冲液1*TBS (pH7.4), 1%BSA, 40%Glycerol. Preservative: 0.05% Sodium Azide.
研究背景Focal adhesion kinase was initially identified as a major substrate for the intrinsic protein tyrosine kinase activity of Src encoded pp60. The deduced amino acid sequence of FAK p125 has shown it to be a cytoplasmic protein tyrosine kinase whose sequence and structural organization are unique as compared to other proteins described to date. Localization of p125 by immunofluorescence suggests that it is primarily found in cellular focal adhesions leading to its designation as focal adhesion kinase (FAK). FAK is concentrated at the basal edge of only those basal keratinocytes that are actively migrating and rapidly proliferating in repairing burn wounds and is activated and localized to the focal adhesions of spreading keratinocytes in culture. Thus, it has been postulated that FAK may have an important in vivo role in the reepithelialization of human wounds. FAK protein tyrosine kinase activity has also been shown to increase in cells stimulated to grow by use of mitogenic neuropeptides or neurotransmitters acting through G protein coupled receptors.
偶联与修饰
偶联
Unconjugated
抗原信息
免疫原
Recombinant Protein
Uniprot ID
化学信息
分子量Theoretical: 119 kDa.
储存&溶解度
储存方式Store at -20°C or -80°C for 12 months. Avoid repeated freeze-thaw cycles.
运输方式Shipping with blue ice.

计算器

  • 稀释 计算器
  • 配液 计算器
Related Tags: buy Anti-PTK2 Antibody (4L758) | purchase Anti-PTK2 Antibody (4L758) | Anti-PTK2 Antibody (4L758) cost | order Anti-PTK2 Antibody (4L758) | Anti-PTK2 Antibody (4L758) molecular weight