购物车
  • 全部删除
  • TargetMol
    您的购物车当前为空

Anti-PSMB8 Antibody (3I410)

Rating icon 还可以
产品编号 TMAC-03441
别名 Y2, RING10, Really interesting new gene 10 protein, PSMB8, PSMB5i, Proteasome subunit beta-5i, Proteasome subunit beta type-8, Proteasome component C13, Multicatalytic endopeptidase complex subunit C13, Macropain subunit C13, Low molecular mass protein 7, LMP7

Anti-PSMB8 Antibody (3I410) 是一种 Rabbit 抗体,靶向 PSMB8。Anti-PSMB8 Antibody (3I410) 可用于 FCM,ICC,IF,IHC,WB。

Anti-PSMB8 Antibody (3I410)

Anti-PSMB8 Antibody (3I410)

一键复制产品信息
Rating icon 还可以
产品编号 TMAC-03441 别名 Y2, RING10, Really interesting new gene 10 protein, PSMB8, PSMB5i, Proteasome subunit beta-5i, Proteasome subunit beta type-8, Proteasome component C13, Multicatalytic endopeptidase complex subunit C13, Macropain subunit C13, Low molecular mass protein 7, LMP7

Anti-PSMB8 Antibody (3I410) 是一种 Rabbit 抗体,靶向 PSMB8。Anti-PSMB8 Antibody (3I410) 可用于 FCM,ICC,IF,IHC,WB。

规格价格库存数量
50 μL
¥ 1,495
5日内发货
100 μL
¥ 2,490
5日内发货
大包装 & 定制
加入购物车
TargetMol 的所有产品仅用作科学研究或药证申报,不能被用于人体,我们不向个人提供产品和服务。请您遵守承诺用途,不得违反法律法规规定用于任何其他用途。
实验操作小课堂
常见问题解答
查看更多
联系我们获取更多批次信息
资源下载

产品介绍

生物活性
产品描述
Anti-PSMB8 Antibody (3I410) is a Rabbit antibody targeting PSMB8. Anti-PSMB8 Antibody (3I410) can be used in FCM,ICC,IF,IHC,WB.
别名Y2, RING10, Really interesting new gene 10 protein, PSMB8, PSMB5i, Proteasome subunit beta-5i, Proteasome subunit beta type-8, Proteasome component C13, Multicatalytic endopeptidase complex subunit C13, Macropain subunit C13, Low molecular mass protein 7, LMP7
Ig Type
IgG
克隆号
3I410
交叉反应
Human,Mouse,Rat
验证活性
1. Western blot analysis of Proteasome 20S LMP7 on U937 (1) and A431 (2) cell lysate using anti-Proteasome 20S LMP7 antibody at 1/500 dilution.
2. Immunohistochemical analysis of paraffin-embedded mouse small intestine tissue using anti-Proteasome 20S LMP7 antibody. Counter stained with hematoxylin.
3. Immunohistochemical analysis of paraffin-embedded human kidney tissue using anti-Proteasome 20S LMP7 antibody. Counter stained with hematoxylin.
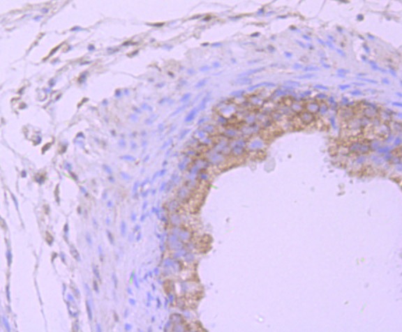
4. Immunohistochemical analysis of paraffin-embedded rat epididymis tissue using anti-Proteasome 20S LMP7 antibody. Counter stained with hematoxylin.
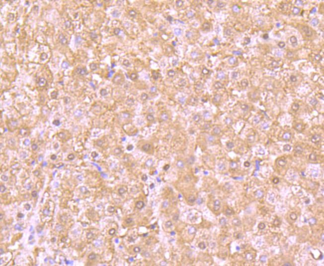
5. Immunohistochemical analysis of paraffin-embedded human liver tissue using anti-Proteasome 20S LMP7 antibody. Counter stained with hematoxylin.
6. ICC staining Proteasome 20S LMP7 in HUVEC cells (green). The nuclear counter stain is DAPI (blue). Cells were fixed in paraformaldehyde, permeabilised with 0.25% Triton X100/PBS.
7. ICC staining Proteasome 20S LMP7 in A431 cells (green). The nuclear counter stain is DAPI (blue). Cells were fixed in paraformaldehyde, permeabilised with 0.25% Triton X100/PBS.
8. Flow cytometric analysis of Daudi cells with Proteasome 20S LMP7 antibody at 1/100 dilution (red) compared with an unlabelled control (cells without incubation with primary antibody; black). Alexa Fluor 488-conjugated goat anti-rabbit IgG was used as the secondary antibody.
verifiedActivityverifiedActivityverifiedActivityverifiedActivityverifiedActivityverifiedActivityverifiedActivityverifiedActivity
应用FCMICCIFIHCWB
推荐剂量
WB: 1:500-1000; IHC: 1:50-200; ICC: 1:50-200; FCM: 1:50-100
抗体种类
Monoclonal
宿主来源Rabbit
构建方式Recombinant Antibody
纯化方式ProA affinity purified
性状Liquid
缓冲液1*TBS (pH7.4), 1%BSA, 40%Glycerol. Preservative: 0.05% Sodium Azide.
研究背景The eukaryotic multi-catalytic proteinase complex, otherwise known as the proteasome, is present in both the nucleus and cytoplasm of cells and contains at least 15 nonidentical subunits, which form a highly ordered ring-shaped structure. The proteasome is involved in an ATP/Ubiquitin-dependent proteolytic pathway and expresses at least five distinct proteolytic activities, including the cleavage of peptides after branched-chain amino acids or bulky hydrophobic amino acids. Two components of the proteasome are the low molecular mass proteins LMP2 and LMP7, which are thought to connect the proteasome to the MHC class-I antigen-processing pathway. Upon stimulation with IFN-γ, LMP2 and LMP7 displace housekeeping subunits in the proteasome and activate cytotoxic T cells (CTLs). LMP2 and LMP7 are produced as precursor proteins, which are processed to subunits that have the ability to complex with the proteasome. LMP2 is expressed as two alternatively spliced forms, LMP2.l and LMP2.s, in lymphoblastoid cell lines and in fibroblasts after IFN-γ stimulation. LMP7 is also expressed as two forms, LMP7A and LMP7B, also designated LMP7-E1 and E2, in several tissues.
偶联与修饰
偶联
Unconjugated
抗原信息
免疫原
Recombinant Protein
Uniprot ID
化学信息
分子量Theoretical: 25 kDa.
存储&运输
储存方式Store at -20°C or -80°C for 12 months. Avoid repeated freeze-thaw cycles.
运输方式Shipping with blue ice.

计算器

  • 稀释 计算器

关键词

评论列表

4个月前
5.0
Rating icon 很棒

评论内容

Related Tags: buy Anti-PSMB8 Antibody (3I410) | purchase Anti-PSMB8 Antibody (3I410) | Anti-PSMB8 Antibody (3I410) cost | order Anti-PSMB8 Antibody (3I410) | Anti-PSMB8 Antibody (3I410) molecular weight