购物车
  • TargetMol
    您的购物车当前为空

Anti-PRP19 Antibody (7U313)

Synonyms: UBOX4, SNEV, Senescence evasion factor, psoralen 4, PSO4, PRPF19, PRP19_HUMAN, PRP19/PSO4 pre-mRNA processing factor 19 homolog (S. cerevisiae), PRP19/PSO4 homolog, PRP 19, Pre-mRNA-processing factor 19, pre mRNA processing factor 19, Nuclear matrix protein NMP200 related to splicing factor PRP19, Nuclear matrix protein 200, NMP200, hPso4
货号 TMAC-03446Cas号 一键复制产品信息纯度:
Rating icon 还可以

Anti-PRP19 Antibody (7U313) 是一种 Rabbit 抗体,靶向 PRP19。Anti-PRP19 Antibody (7U313) 可用于 FCM,ICC,IHC,WB。

Anti-PRP19 Antibody (7U313)

一键复制产品信息
Rating icon 还可以
货号 TMAC-03446

别名 UBOX4, SNEV, Senescence evasion factor, psoralen 4, PSO4, PRPF19, PRP19_HUMAN, PRP19/PSO4 pre-mRNA processing factor 19 homolog (S. cerevisiae), PRP19/PSO4 homolog, PRP 19, Pre-mRNA-processing factor 19, pre mRNA processing factor 19, Nuclear matrix protein NMP200 related to splicing factor PRP19, Nuclear matrix protein 200, NMP200, hPso4

Anti-PRP19 Antibody (7U313) 是一种 Rabbit 抗体,靶向 PRP19。Anti-PRP19 Antibody (7U313) 可用于 FCM,ICC,IHC,WB。

Anti-PRP19 Antibody (7U313)
规格价格库存数量
50 μL
¥ 1,485
5日内发货
100 μL
¥ 2,490
5日内发货
库存状态实时更新,以官网显示为准,现货产品可直接加购物车下单
大包装 & 定制
加入购物车

TargetMol的所有产品仅用作科学研究或药证申报,不能被用于人体,我们不向个人提供产品和服务。请您遵守承诺用途,不得违反法律法规规定用于任何其他用途。

实验操作小课堂
常见问题解答
查看更多

资源下载:产品操作手册

产品介绍


生物活性
产品描述
Anti-PRP19 Antibody (7U313) is a Rabbit antibody targeting PRP19. Anti-PRP19 Antibody (7U313) can be used in FCM,ICC,IHC,WB.
别名
UBOX4, SNEV, Senescence evasion factor, psoralen 4, PSO4, PRPF19, PRP19_HUMAN, PRP19/PSO4 pre-mRNA processing factor 19 homolog (S. cerevisiae), PRP19/PSO4 homolog, PRP 19, Pre-mRNA-processing factor 19, pre mRNA processing factor 19, Nuclear matrix protein NMP200 related to splicing factor PRP19, Nuclear matrix protein 200, NMP200, hPso4
Ig Type
IgG
克隆号
7U313
反应种属
Human,Mouse,Rat
验证活性
1. Western blot analysis of PRP19 on Jurkat cells lysates using anti-PRP19 antibody at 1/1,000 dilution.
2. Immunohistochemical analysis of paraffin-embedded human lung cancer tissue using anti-PRP19 antibody. Counter stained with hematoxylin.
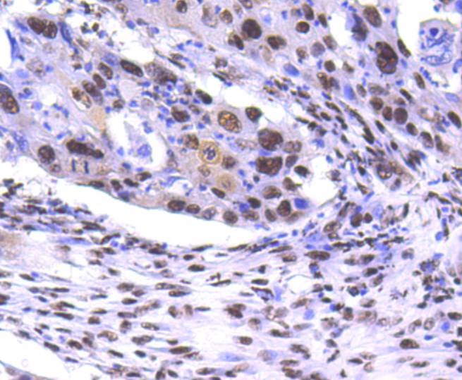
3. Immunohistochemical analysis of paraffin-embedded human breast carcinoma tissue using anti-PRP19 antibody. Counter stained with hematoxylin.
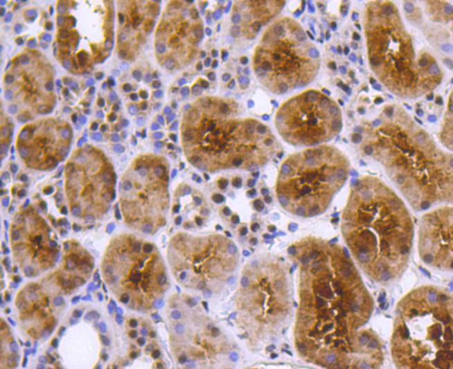
4. Immunohistochemical analysis of paraffin-embedded human kidney tissue using anti-PRP19 antibody. Counter stained with hematoxylin.
5. Immunohistochemical analysis of paraffin-embedded mouse brain tissue using anti-PRP19 antibody. Counter stained with hematoxylin.
6. Immunohistochemical analysis of paraffin-embedded mouse kidney tissue using anti-PRP19 antibody. Counter stained with hematoxylin.
7. ICC staining PRP19 in Hela cells (green). The nuclear counter stain is DAPI (blue). Cells were fixed in paraformaldehyde, permeabilised with 0.25% Triton X100/PBS.
8. ICC staining PRP19 in B16-F1 cells (green). The nuclear counter stain is DAPI (blue). Cells were fixed in paraformaldehyde, permeabilised with 0.25% Triton X100/PBS.
9. ICC staining PRP19 in MCF-7 cells (green). The nuclear counter stain is DAPI (blue). Cells were fixed in paraformaldehyde, permeabilised with 0.25% Triton X100/PBS.
10. Flow cytometric analysis of Hela cells with PRP19 antibody at 1/50 dilution (red) compared with an unlabelled control (cells without incubation with primary antibody; black). Alexa Fluor 488-conjugated goat anti rabbit IgG was used as the secondary antibody.
verifiedActivityverifiedActivityverifiedActivityverifiedActivityverifiedActivityverifiedActivityverifiedActivityverifiedActivityverifiedActivityverifiedActivity
应用FCMICCIHCWB
推荐剂量
WB: 1:1000-2000; IHC: 1:50-200; ICC: 1:50-200; FCM: 1:50-100
抗体种类
Monoclonal
宿主来源Rabbit
构建方式Recombinant Antibody
纯化方式ProA affinity purified
性状Liquid
缓冲液1*TBS (pH7.4), 1%BSA, 40%Glycerol. Preservative: 0.05% Sodium Azide.
研究背景The spliceosome, the 0gigantic molecular machine that performs pre-mRNA splicing in eukaryotes, contains over 200 different proteins and five RNA molecules (U1, U2, U4, U5 and U6). Pre-mRNA splicing is essential to remove internal non-coding regions of pre-mRNA (introns) and to join the remaining segments (exons) into mRNA before translation. The PRP19-associated complex is required for stable association of U5 and U6 with the spliceosome after U4 is released. Changes within the spliceosome upon binding of the PRP19-associated complex include remodeling of the U6/5' splice site interaction and destabilization of Lsm proteins to allow further interaction of U6 with the intron sequence.
偶联与修饰
偶联
Unconjugated
抗原信息
免疫原
Recombinant Protein
Uniprot ID
化学信息
分子量Theoretical: 55 kDa.
储存&溶解度
储存方式Store at -20°C or -80°C for 12 months. Avoid repeated freeze-thaw cycles.
运输方式Shipping with blue ice.

计算器

  • 稀释 计算器
  • 配液 计算器
Related Tags: buy Anti-PRP19 Antibody (7U313) | purchase Anti-PRP19 Antibody (7U313) | Anti-PRP19 Antibody (7U313) cost | order Anti-PRP19 Antibody (7U313) | Anti-PRP19 Antibody (7U313) molecular weight